Добавить в корзину
Позвонить
Найти в Дзене
Войти
стоматология Мой Ортодонт
546 подписчиков
Подписаться
преображение улыбки, которое говорит само за себя
5 сентября 2025
5 сен 2025
~1 мин
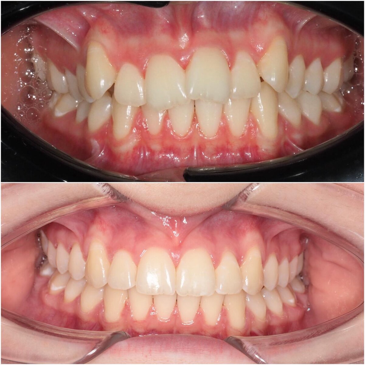
преображение улыбки, которое говорит само за себя! 🤩 врач: Андриянова (Гунько) Ольга Валерьевна 🏆🏆🏆
преображение улыбки, которое говорит само за себя! 🤩 врач: Андриянова (Гунько) Ольга Валерьевна 🏆🏆🏆
...
Читать далее
преображение улыбки, которое говорит само за себя! 🤩
врач: Андриянова (Гунько) Ольга Валерьевна 🏆🏆🏆
4250155480.997.1777303943805.94736