Найти в Дзене
MY ORT

Дисколорит и вторичный кариес. Возвращаем красивую улыбку в 50+ лет

Красивая улыбка играет важную роль в нашей жизни — особенно с возрастом. Сколы старых пломб и изменение цвета зубов нередко становятся причиной неуверенности и дискомфорта. В этом клиническом случае я — врач-стоматолог, ортопед, расскажу, как мы помогли пациентке старше 50 лет вернуть красивую улыбку и восстановить жевательную функцию передних зубов. Будет интересно! Пациентка обратилась к нам с жалобами на неудовлетворительный внешний вид улыбки. Скол старых пломб передних зубов верхней челюсти и изменение цвета зубной эмали (дисколорит). Зубной дисколорит — это изменение цвета зубов, при котором они теряют естественную белизну. Причиной могут быть пищевые и табачные пигменты, травмы, приём лекарств, а также некоторые заболевания. Налёт обычно легко убирается профессиональной чисткой зубов у стоматолога-терапевта, а вот изменение цвета изнутри лечится сложнее, потому что затрагивает глубокие слои зуба. При осмотре полости рта я обнаружил наличие сколов старых пломб, изменение цвета зу
Оглавление

Красивая улыбка играет важную роль в нашей жизни — особенно с возрастом. Сколы старых пломб и изменение цвета зубов нередко становятся причиной неуверенности и дискомфорта. В этом клиническом случае я — врач-стоматолог, ортопед, расскажу, как мы помогли пациентке старше 50 лет вернуть красивую улыбку и восстановить жевательную функцию передних зубов. Будет интересно!

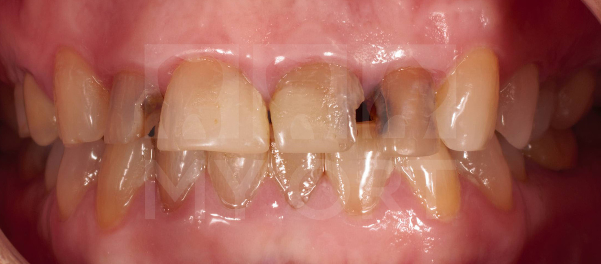
Жалобы пациента

Пациентка обратилась к нам с жалобами на неудовлетворительный внешний вид улыбки. Скол старых пломб передних зубов верхней челюсти и изменение цвета зубной эмали (дисколорит).

Зубной дисколорит — это изменение цвета зубов, при котором они теряют естественную белизну. Причиной могут быть пищевые и табачные пигменты, травмы, приём лекарств, а также некоторые заболевания.
Налёт обычно легко убирается профессиональной чисткой зубов у стоматолога-терапевта, а вот изменение цвета изнутри лечится сложнее, потому что затрагивает глубокие слои зуба.
Скол старых пломб передних зубов
Скол старых пломб передних зубов
Скол старых пломб передних зубов и дисколорит
Скол старых пломб передних зубов и дисколорит

Диагностика

При осмотре полости рта я обнаружил наличие сколов старых пломб, изменение цвета зубов, реставраций, а также нарушение целостности эмали.

Компьютерная томография (КТ) позволила оценить состояние корневых каналов и костной ткани, а также выявила очаги вторичного кариеса.

Состояние зубов на снимке КТ
Состояние зубов на снимке КТ

Дополнительно была проведена оценка прикуса и функционального состояния зубного ряда, так как пациентка жаловалась на дискомфорт при жевании.

План лечения

На основании данных диагностики был составлен план лечения:

  1. Консультация стоматолога-терапевта и эндодонтиста.
  2. Перелечивание корневых каналов и санация вторичного кариеса.
  3. Примерка прототипа будущих зубов, согласование формы с пациентом.
  4. Подготовка зубов под керамические коронки и фиксация временных коронок.
  5. Изготовление и установка постоянных керамических реставраций.
  6. Контрольный осмотр после фиксации.

Лечение

Пациентка была направлена на приём к врачу-терапевту и эндодонтисту для подготовки зубов к последующему этапу — установке коронок, с целью исключить возможные очаги инфекции.

Эндодонтический этап (перелечивание корневых каналов)

В ряде зубов были обнаружены ранее пломбированные каналы с признаками некачественного заполнения. Был удален старый пломбировочный материал и проведена механическая и медикаментозная обработка каналов с последующим пломбированием.

Пломбирование зубов
Пломбирование зубов

Терапевтический этап (лечение вторичного кариеса)

На соседних зубах были обнаружены участки вторичного кариеса вокруг старых реставраций. Стоматолог-терапевт удалил кариозные ткани и провел антисептическую обработку, после чего было проведено восстановление тканей с использованием пломбировочного материала.

Ортопедический этап

На этом этапе я предложил пациентке примерку прототипа будущей формы зубов.

Примерка прототипа формы зубов
Примерка прототипа формы зубов

После утверждения формы пациенткой была проведена обработка зубов под керамические коронки и фиксация временных конструкций на период изготовления постоянных реставраций (обычно это занимает до 14 дней).

Обработка зубов под коронки
Обработка зубов под коронки

Завершающим этапом стала замена временных коронок на постоянные керамические с последующей проверкой прикуса и фиксации.

Реабилитация

Реабилитационный период прошёл без осложнений. Пациентка быстро адаптировалась к новым реставрациям, восстановила комфорт при жевании и отметила отсутствие болезненных ощущений.

Результат

Посмотрите на готовый результат, что у нас получилось:

До лечения и после лечения
До лечения и после лечения

Восстановление позволило добиться гармоничного цвета и формы передних зубов. Улыбка пациентки стала эстетичной и естественной. Всё это положительно сказалось на её эмоциональном состоянии и уверенности в себе.

Готовый результат
Готовый результат
Как вам результат?
Напишите в комментарии, было ли у вас ортопедическое лечение, делитесь своими результатами и задавайте вопросы!

Автор статьи: Захаров Евгений Юрьевич — врач-стоматолог, ортопед.