Найти в Дзене

❓Как делают рентген суставов❓

Рентген суставов — это лучевое исследование, прошедшее призму времени и клинического опыта, позволяющее оценить состояние сустава, а также выявить наличие той или иной патологии. Такой подход традиционно используется по следующим направлениям: травматология, ортопедия, ревматология. Отличительными особенностями данного метода является простота, экономическая доступность, относительная безопасность и минимальная лучевая нагрузка. Рентген суставов целесообразно проводить при травмах суставов, боли при движениях в суставах, снижению или нарушению двигательной функции в суставе, припухлости и отечности сустава, изменению формы сустава.
На рентгенографии суставов возможно выявить следующие заболевания: -локтевой сустав (перелом, вывих, брусит);
-плечевой сустав (вывих, артрит, перелом, артроз);
-голеностопный сустав (вывих, перелом, артрит, плоскостопие и др.); -коленный сустав (травмы мениска, переломы, изменений в кости и суставе);
-тазобедренный сустав (центральные переломы, артрозы/ар

Рентген суставов — это лучевое исследование, прошедшее призму времени и клинического опыта, позволяющее оценить состояние сустава, а также выявить наличие той или иной патологии. Такой подход традиционно используется по следующим направлениям: травматология, ортопедия, ревматология. Отличительными особенностями данного метода является простота, экономическая доступность, относительная безопасность и минимальная лучевая нагрузка.

Рентген суставов целесообразно проводить при травмах суставов, боли при движениях в суставах, снижению или нарушению двигательной функции в суставе, припухлости и отечности сустава, изменению формы сустава.
На рентгенографии суставов возможно выявить следующие заболевания:

-локтевой сустав (перелом, вывих, брусит);
-плечевой сустав (вывих, артрит, перелом, артроз);
-голеностопный сустав (вывих, перелом, артрит, плоскостопие и др.);

-коленный сустав (травмы мениска, переломы, изменений в кости и суставе);
-тазобедренный сустав (центральные переломы, артрозы/артриты, травмы и др)
Специальной подготовки исследование не требует и является одним из наиболее безопасных.
Алгоритм действий от начала до конца исследования: -запись на исследование;
-приход пациента к назначенному времени;
-защита специальным фартуком с экранирующим материалом (свинцом);
-укладка на рентгеновский стол;
-фиксация области интереса в проекции рентгеновского датчика;
-проведение исследования;
-описание снимка;
-формирование заключения;
-выдача заключение, рентгеновского снимка на специальной пленке и/или электронном носителе.

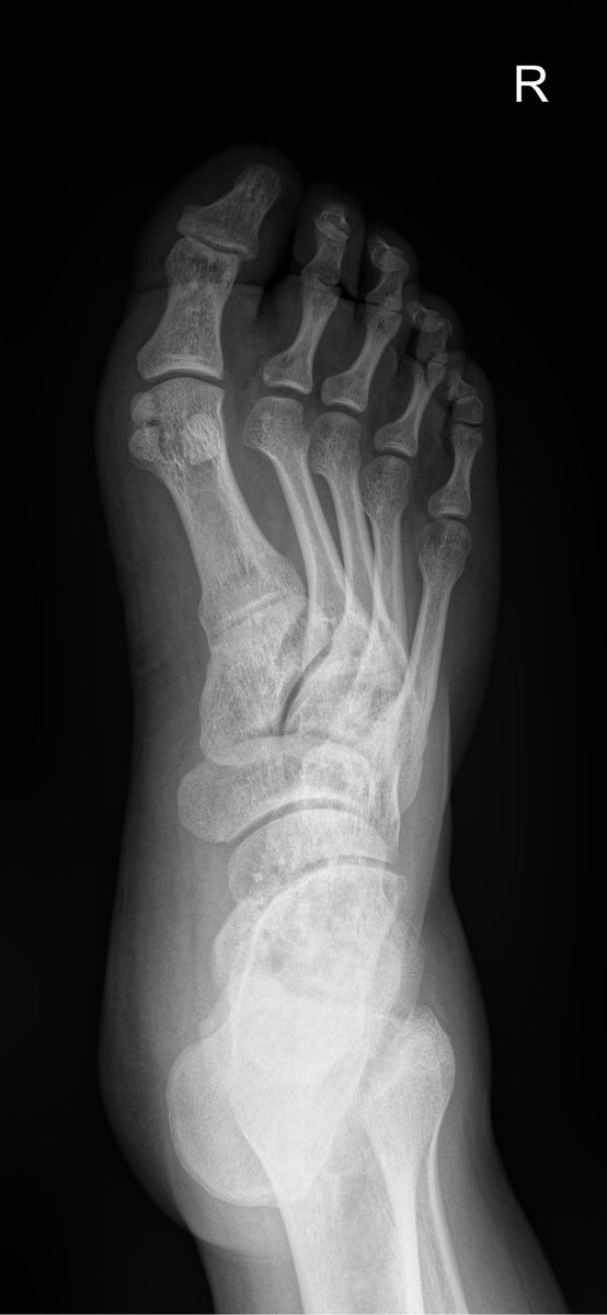
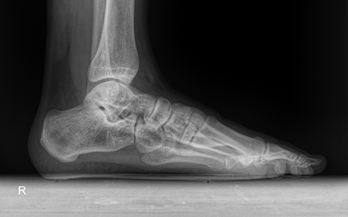
Рентген стопы
Рентген стопы


Абсолютных противопоказания такое исследование не имеет, однако присутствует 2 относительных противопоказания — беременность и определенные психические заболевания. В период беременности не рекомендуется проводить какие-либо диагностические исследования, несущие за собой лучевую нагрузку (облучающие организм), однако существует ряд случаев, когда диагностическая ценность исследования превосходит имеющиеся рекомендации (перелом шейки бедра, переломы таза и др.). При наличии психического заболевания проблематичным является убедить пациента принять неподвижное положение, так как при малейшем движении при проведении исследования снимок может быть смазан и не нести информативности.

Рентгенограмма правой стопы в двух проектциях
Рентгенограмма правой стопы в двух проектциях


При необходимости Вы можете обратиться в наш диагностический центр, где Вам будет проведена качественная рентгенография на новейшем рентгеновском оборудовании, а проведением исследования будут заниматься высококвалифицированные врачи-рентгенологи, имеющие за плечами обширный клинический опыт, и не раз подтверждающие свою компетентность на научных форумах и симпозиумах.

Удобная запись через сайт: https://domedica24.ru/

Или по телефону: 8 (812) 3808384