Добавить в корзинуПозвонить
Найти в Дзене
Plain Explanations

БОЛИ В ПРАВОМ ПОДРЕБЕРЬЕ. ДИФФЕРЕНЦИАЛЬНАЯ ДИАГНОСТИКА ЗАБОЛЕВАНИЙ

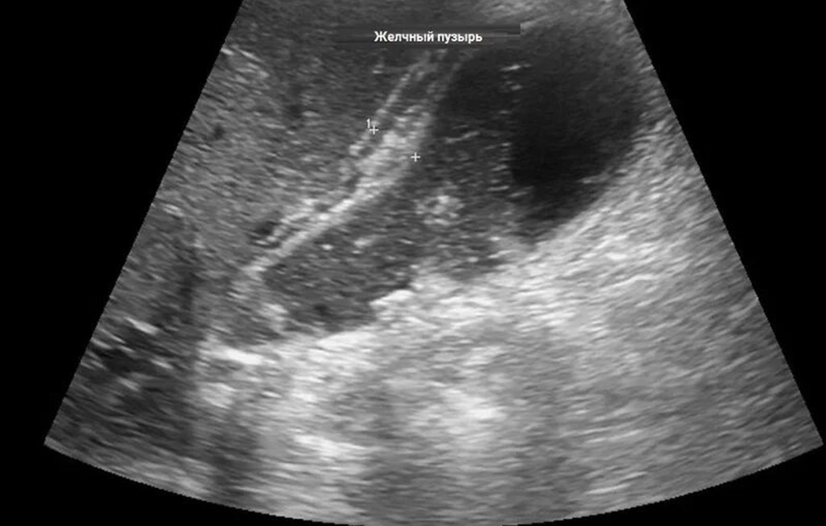
Болит в правом подреберье - причины? ОСТРЫЙ КАЛЬКУЛЁЗНЫЙ ХОЛЕЦИСТИТ - острое воспаление желчного пузыря, одно из наиболее частых осложнений желчнокаменной болезни (каждые пять лет количество пациентов в мире удваивается). Боли в точке Кера. Что необходимо запомнить пациенту. Дело в том, что если у пациента уже подтверждённая желчнокаменная болезнь и имеет место нарушение диеты питания (приём жирной, острой, солёной пищи) - желчный пузырь может сократиться с вклинением камня в пузырном протоке. Хуже если камни мигрируют дальше в общий желчный проток и ущемятся в Фатеровом сосочке. Тогда возможны сильные боли в правом подреберье, потрясающий озноб и механическая желтуха (триада Шарко - проявление ОСТРОГО ОБТУРАЦИОННОГО ХОЛАНГИТА - воспаления желчных протоков вследствие проникновения в них инфекции из желчного пузыря, кишечника, кровеносных сосудов или по лимфатическим путям). Ещё один немаловажный нюанс. Если после сильного приступа боли прошли, но при ультрасонографии определяется увел

Болит в правом подреберье - причины?

ОСТРЫЙ КАЛЬКУЛЁЗНЫЙ ХОЛЕЦИСТИТ - острое воспаление желчного пузыря, одно из наиболее частых осложнений желчнокаменной болезни (каждые пять лет количество пациентов в мире удваивается). Боли в точке Кера. Что необходимо запомнить пациенту. Дело в том, что если у пациента уже подтверждённая желчнокаменная болезнь и имеет место нарушение диеты питания (приём жирной, острой, солёной пищи) - желчный пузырь может сократиться с вклинением камня в пузырном протоке. Хуже если камни мигрируют дальше в общий желчный проток и ущемятся в Фатеровом сосочке. Тогда возможны сильные боли в правом подреберье, потрясающий озноб и механическая желтуха (триада Шарко - проявление ОСТРОГО ОБТУРАЦИОННОГО ХОЛАНГИТА - воспаления желчных протоков вследствие проникновения в них инфекции из желчного пузыря, кишечника, кровеносных сосудов или по лимфатическим путям). Ещё один немаловажный нюанс. Если после сильного приступа боли прошли, но при ультрасонографии определяется увеличенный желчный пузырь, утолщение стенки желчного пузыря более 3 мм, перивезикальный отёк и камни в желчном пузыре - значит стенка превратилась в гангренозную (поэтому и боли прошли). Тем более надо срочно оперировать, так как в последующем желчный пузырь может перфорировать (гангренозно-перфоративный холецистит) и операция усложнится значительно. Лапароскопическим способом после трёх суток приступа не всегда получается удалить желчный пузырь.

-2

БОЛИ В ПРАВОМ ПОДРЕБЕРЬЕ, ПОТРЯСАЮЩИЕ ОЗНОБЫ И ЖЕЛТУХА. ПОЧЕМУ НУЖНА СРОЧНАЯ ГОСПИТАЛИЗАЦИЯ?

Речь идёт об осложнении ЖЕЛЧНОКАМЕННОЙ БОЛЕЗНИ - ХОЛЕДОХОЛИТИАЗЕ, ОСЛОЖНЁННОМ ОСТРЫМ ГНОЙНЫМ ХОЛАНГИТОМ (триада Шарко - проявление ОСТРОГО ХОЛАНГИТА - воспаления желчных протоков вследствие проникновения в них инфекции из желчного пузыря, кишечника, кровеносных сосудов или по лимфатическим путям). На самом деле понять суть заболевания не сложно. Желчь вырабатывается в печени, поступает по желчевыводящим протокам в двенадцатиперстную кишку через Большой дуоденальный сосочек (Фатеров). Надо помнить, что особенно опасны камни менее 4 мм - они чаще могут мигрировать через пузырный проток (проток от желчного пузыря) в общий желчный проток. И далее ущемляться в Фатеровом сосочке. При фиброгастродуоденоскопии это выглядит так:

-3

Очень важно выполнять фиброгастродуоденоскопию до операции боковой оптикой, чтобы увидеть Фатеров сосочек. Но для этого надо поставить задачу перед эндоскопическим отделением, чтобы не просто сделали ФГДС торцевой оптикой, но и Фатеров сосочек посмотрели. Уже писал об этой важной диагностике https://dzen.ru/a/ZQF3pYNbJ0OQ6brX?share_to=link

Надо постараться эндоскопическим способом удалить камни из Фатерова сосочка (оптимально - до лапароскопической холецистэктомии!).

-4

первое что нужно сделать при ОСТРОМ ГНОЙНОМ ХОЛАНГИТЕ - ЭНДОСКОПИЧЕСКИМ СПОСОБОМ РАССЕЧЬ ФАТЕРОВ СОСОЧЕК И УДАЛИТЬ КАМНИ ИЗ ОБЩЕГО ЖЕЛЧНОГО ПРОТОКА. Операция называется - ЭНДОСКОПИЧЕСКАЯ ПАПИЛЛОСФИНКТЕРОТОМИЯ (ЭПСТ) с ПОСЛЕДУЮЩЕЙ ЛИТОЭКСТРАКЦИЕЙ (ЛЭ).

-5

ВЫВОД: ПРИ БОЛЯХ В ПРАВОМ ПОДРЕБЕРЬЕ, ПОТРЯСАЮЩИХ ОЗНОБАХ И МЕХАНИЧЕСКОЙ ЖЕЛТУХЕ СЛЕДУЕТ ДУМАТЬ ОБ ОСТРОМ ГНОЙНОМ ХОЛАНГИТЕ (воспалении желчных протоков). ПРИЧИНА, КАК ПРАВИЛО, ОБТУРАЦИЯ КАМНЕМ ИЗ ЖЕЛЧНОГО ПУЗЫРЯ ОБЩЕГО ЖЕЛЧНОГО ПРОТОКА. ВЫЗЫВАЕМ СКОРУЮ МЕДИЦИНСКУЮ ПОМОЩЬ (никакого самолечения, вы себе сами не поможете, только потеряете драгоценное время!). ПЕРВЫМ ЭТАПОМ В СТАЦИОНАРНЫХ УСЛОВИЯХ ЦЕЛЕСООБРАЗНО ВЫПОЛНИТЬ ЭПСТ с ЛИТОЭКСТРАКЦИЕЙ. ВТОРЫМ - ЛАПАРОСКОПИЧЕСКУЮ ХОЛЕЦИСТЭКТОМИЮ (ЕСЛИ ТЕХНИЧЕСКИ НЕВОЗМОЖНО - ЛАПАРОТОМИЮ И ХОЛЕЦИСТЭКТОМИЮ).

КНИГА АВТОРА "ОТЛОЖЕННАЯ ЖИЗНЬ" рассказывает о том, как избавиться от повышенной тревожности и страхов / The author`s book "Postponed life" tells how to get rid of increased anxiety and fears: http://gemoroy.info/?page_id=1765

YouTube: www.youtube.com/...ons

Telegram: t.me/...tky

RUTUBE: rutube.ru/...088