Добавить в корзинуПозвонить
Найти в Дзене
Ильинская больница

Как сломать шею… не двигаясь

Пациент: мужчина, 61 год. Жалобы: «Упал, ударился головой — теперь шея болит, рука немеет, кисть ослабла». Особые приметы: ожирение 2 степени. КТ показала: шея будто зацементирована — все суставы срослись, связки превратились в кость (анкилоз + оссификация). МРТ подтвердила: диск С6-С7 разорван, грыжа давит на спинной мозг и нерв. Диагноз: Травматический разрыв диска с ущемлением нервов. Прогноз: Без операции — парез кисти. А может и хуже! Передняя дискэктомия + кейдж с титановой пластиной, чтобы шея не сложилась как карточный домик. Итог: Боль исчезла сразу, сила в руке вернулась — пациент спасён! Мораль:
Когда позвоночник уже «забетонирован» анкилозом, даже небольшой удар может разорвать диск и пережать нервы. Ожирение лишь усугубляет риски. Вывод:
Если шея не гнётся — берегите её как хрустальную вазу!
Оглавление

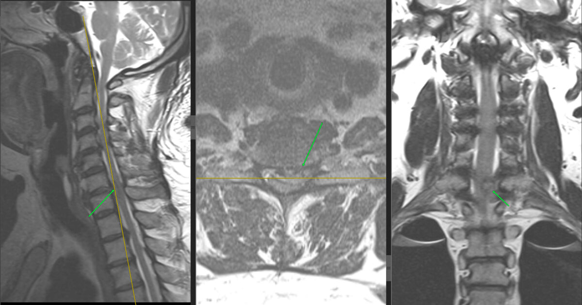
Пациент: мужчина, 61 год.

Жалобы: «Упал, ударился головой — теперь шея болит, рука немеет, кисть ослабла».

Особые приметы: ожирение 2 степени.

Что произошло?

КТ показала: шея будто зацементирована — все суставы срослись, связки превратились в кость (анкилоз + оссификация).

МРТ подтвердила: диск С6-С7 разорван, грыжа давит на спинной мозг и нерв.

Диагноз: Травматический разрыв диска с ущемлением нервов.

Прогноз: Без операции — парез кисти. А может и хуже!

Операция:

Передняя дискэктомия + кейдж с титановой пластиной, чтобы шея не сложилась как карточный домик.

Итог: Боль исчезла сразу, сила в руке вернулась — пациент спасён!

Мораль:
Когда позвоночник уже «забетонирован» анкилозом, даже небольшой удар может разорвать диск и пережать нервы. Ожирение лишь усугубляет риски.

Вывод:
Если шея не гнётся — берегите её как хрустальную вазу!

Автор: нейрохирург Елисеев Александр Сергеевич.