Добавить в корзинуПозвонить
Найти в Дзене
Хочу Ясности

Друзья, нужна срочная помощь кошке ребенка, счёт идёт на дни

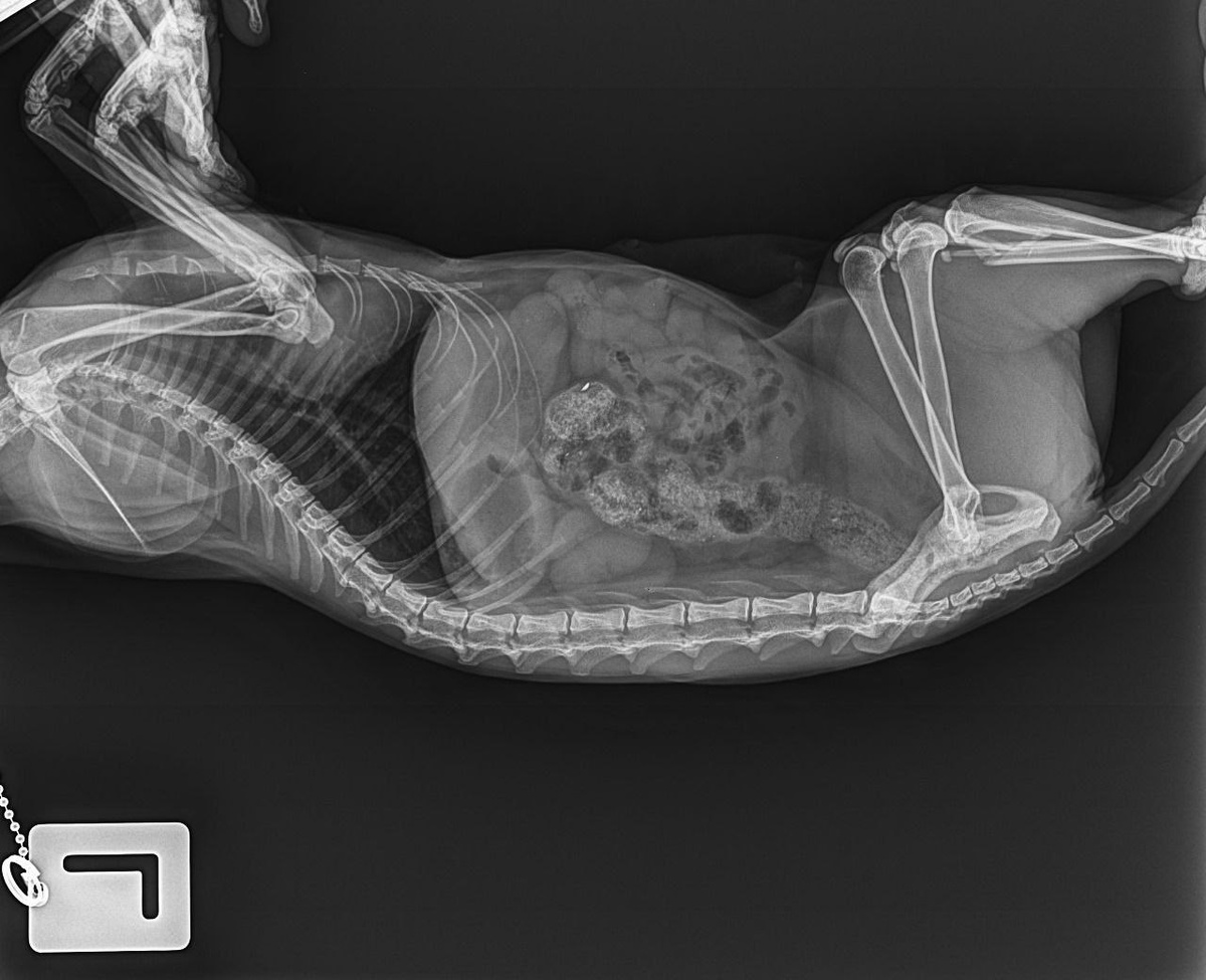
Друзья, нужна срочная помощь кошке ребенка, счёт идёт на дни.. Если бы речь не шла о ребенке, то может и не обращался бы к вам Но здесь село, бабушка против спасения кошки, а ребенок в растерянности. Страдает и кошка и ребенок. Нашелся неравнодушнй человек рядом в селе , но и ему нужна поддержка. Публикую его письмо, которое попросил написать для вас..Ник @chtgdt Друзья, обращаюсь к вам с срочной просьбой о помощи. Я не знаю, куда ещё можно обратиться. Ситуация такая: у знакомой девочки (она учится в 9 классе, сирота, живет с бабушкой) машина сбила кошку. Сегодня ездили на рентген. Диагноз: раздроблена задняя лапа, но, к счастью, всё остальное цело. Я нашла клинику, где ей готовы сделать операцию за 10 000 рублей. Врач предупредила, что дольше недели ждать нельзя — может начаться воспаление, так как осколок впивается в мышцу. Пока явного воспаления нет, температура в норме, но кошка отказывается от еды. Бабушка девочки, человек «старой закалки», отказывается оплачивать операцию пито

Друзья, нужна срочная помощь кошке ребенка, счёт идёт на дни.. Если бы речь не шла о ребенке, то может и не обращался бы к вам Но здесь село, бабушка против спасения кошки, а ребенок в растерянности. Страдает и кошка и ребенок. Нашелся неравнодушнй человек рядом в селе , но и ему нужна поддержка. Публикую его письмо, которое попросил написать для вас..Ник @chtgdt

Друзья, обращаюсь к вам с срочной просьбой о помощи. Я не знаю, куда ещё можно обратиться.

Ситуация такая: у знакомой девочки (она учится в 9 классе, сирота, живет с бабушкой) машина сбила кошку. Сегодня ездили на рентген. Диагноз: раздроблена задняя лапа, но, к счастью, всё остальное цело.

Я нашла клинику, где ей готовы сделать операцию за 10 000 рублей. Врач предупредила, что дольше недели ждать нельзя — может начаться воспаление, так как осколок впивается в мышцу. Пока явного воспаления нет, температура в норме, но кошка отказывается от еды.

Бабушка девочки, человек «старой закалки», отказывается оплачивать операцию питомцу, да и не думаю, что у неё вообще есть такая финансовая возможность. А у меня самой в этом месяце случилась беда с котом — на его лечение и обследование уже ушло около 15 тысяч, и операцию кошке я, к огромному сожалению, финансово не потяну.

Очень надеюсь на вашу поддержку и доброту. Любая помощь будет бесценна. Клиника готова принять кошку в любой день, счет идет на дни.

Заранее от всего сердца благодарю каждого, кто сможет откликнуться и помочь!

Операцию будем проводить в городе Бийске.

Реквизиты:

2204311048749734

2200700971578710

Щербакова Влада.

-2
-3
-4