Добавить в корзинуПозвонить
Найти в Дзене
Веселый Дантист

Циркониевые коронки: Космическая броня для вашей улыбки

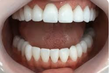
Вспомните, как раньше выглядели коронки. Часто это была металлокерамика — прочная, но с одним предательским недостатком. Со временем у десны появлялась тонкая темная полоска — просвечивающий металл. Улыбка сразу теряла свою естественность, и секрет о «неродном» зубе был раскрыт. К счастью, стоматология не стоит на месте. Она, как и космонавтика, постоянно ищет новые, более совершенные материалы. И сегодня у нас есть настоящий герой — диоксид циркония. Звучит сложно, но на деле это материал, который изменил правила игры и позволил создавать коронки, неотличимые от настоящих зубов. Если бы у прочности и красоты был ребенок, его бы звали диоксид циркония. Это не металл в чистом виде, а высокотехнологичная керамика на его основе. Его еще называют «белым золотом» стоматологии. Откуда он взялся? Из мира высоких технологий! Этот же материал из-за его невероятной прочности и износостойкости используют: В стоматологию цирконий пришел в начале 2000-х и произвел фурор. Наконец-то появился материа
Оглавление

Вспомните, как раньше выглядели коронки. Часто это была металлокерамика — прочная, но с одним предательским недостатком. Со временем у десны появлялась тонкая темная полоска — просвечивающий металл. Улыбка сразу теряла свою естественность, и секрет о «неродном» зубе был раскрыт.

К счастью, стоматология не стоит на месте. Она, как и космонавтика, постоянно ищет новые, более совершенные материалы. И сегодня у нас есть настоящий герой — диоксид циркония. Звучит сложно, но на деле это материал, который изменил правила игры и позволил создавать коронки, неотличимые от настоящих зубов.

Что за зверь этот цирконий?

-2

Если бы у прочности и красоты был ребенок, его бы звали диоксид циркония. Это не металл в чистом виде, а высокотехнологичная керамика на его основе. Его еще называют «белым золотом» стоматологии.

Откуда он взялся? Из мира высоких технологий! Этот же материал из-за его невероятной прочности и износостойкости используют:

  • В аэрокосмической отрасли для теплоизоляции шаттлов.
  • В производстве тормозных дисков для спорткаров.
  • В медицине для создания долговечных суставных протезов.

В стоматологию цирконий пришел в начале 2000-х и произвел фурор. Наконец-то появился материал, который был прочным как металл, но белым как зуб.

А изготавливают коронки из него с помощью футуристической технологии CAD/CAM. Это как 3D-принтер, только наоборот. Сначала челюсть сканируется, создается её 3D-модель, а затем высокоточный фрезерный станок-робот вытачивает идеальную коронку из цельного блока циркония. Никаких ручных погрешностей, только компьютерная точность.

Битва титанов: Цирконий против... всех остальных

-3

Чтобы понять всю мощь циркония, давайте сравним его с другими популярными материалами для коронок.

1. Противник №1: Металлокерамика (старая гвардия)

  • Что это: Металлический колпачок, покрытый слоями керамики.
  • Сила: Прочность, проверенная временем.
  • Слабость: Эстетика. Тот самый металлический каркас не пропускает свет, из-за чего зуб выглядит «мертвым», без естественной полупрозрачности. И, конечно, та самая темная полоска у десны. Плюс, у некоторых людей бывает аллергия на металлы.
  • Победа циркония: Циркониевая коронка вся белая. Она пропускает свет почти как настоящий зуб, поэтому выглядит абсолютно естественно. Никаких темных краев, никакой аллергии. Полная биосовместимость.

2. Противник №2: Керамика E-max (прекрасный художник)

  • Что это: Цельная стеклокерамика без металла.
  • Сила: Непревзойденная эстетика. E-max идеально имитирует полупрозрачность и оттенки зубной эмали. Это король реставраций для передних зубов.
  • Слабость: Хрупкость. E-max не всегда выдерживает мощную жевательную нагрузку на задних зубах и не подходит для длинных мостовидных протезов.
  • Победа циркония: Цирконий — это идеальный баланс. Он лишь немного уступает E-max в «живости» вида, но при этом в разы прочнее. Из него можно делать как одиночные коронки на любые зубы, так и целые мосты, которые выдержат любую нагрузку.

Главные суперсилы циркониевой коронки

Давайте подытожим, за что стоматологи и пациенты по всему миру так полюбили цирконий.

  1. Прочность танка, эстетика фарфора. Это главный козырь. Вы получаете коронку, которая не сколется от твердой пищи и при этом выглядит как ваш родной, здоровый зуб.
  2. Биосовместимость: Ваш организм скажет «спасибо». Цирконий абсолютно гипоаллергенен и инертен. Десна вокруг такой коронки чувствует себя прекрасно, не воспаляется и не синеет.
  3. Идеальное прилегание: Никаких шансов для кариеса. Благодаря компьютерному моделированию (CAD/CAM), коронка прилегает к зубу с микроскопической точностью. Это значит, что под нее не попадут бактерии, и зуб под коронкой будет в полной безопасности.
  4. Долговечность: Поставил и забыл. Срок службы циркониевых коронок при правильном уходе исчисляется десятилетиями. Это настоящее долгосрочное вложение в здоровье и красоту вашей улыбки.
  5. Естественный вид: Секрет, который знаете только вы и ваш стоматолог. Современные многослойные циркониевые блоки имеют градиент цвета и прозрачности — совсем как настоящий зуб, который у корня темнее, а у режущего края прозрачнее.

Есть ли минусы?

Было бы нечестно не сказать о них. По сути, он один — цена. Циркониевые коронки дороже металлокерамики из-за сложной технологии производства и стоимости самого материала.

Но здесь работает правило, как с хорошей обувью: можно купить дешевую пару на один сезон, а можно вложиться в качественную, которая будет служить годами, даря комфорт и уверенность. В долгосрочной перспективе цирконий — это экономия на будущих переделках и ваше спокойствие.

В итоге, если вы стоите перед выбором коронки, цирконий сегодня — это золотой стандарт. Это технология, которая позволила нам больше не выбирать между «красиво» и «надежно». Теперь можно получить и то, и другое в одной идеальной коронке.

-4