Найти в Дзене
Рентгенозащита

Чем отличается рентген от флюорографии

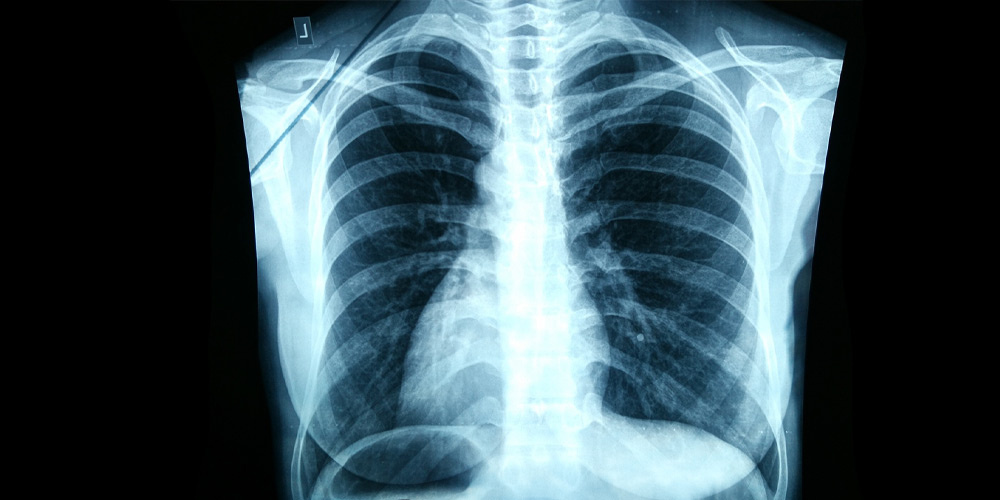
Флюорография и рентгеновское исследование – это два метода лучевой диагностики, которые применяют в медицине для обследования состояния внутренних органов и тканей. Несмотря на схожесть, эти методы все же имеют различия. Читайте больше интересных статей на сайте rentgenprotect.ru Цель проведения Рентген используют для диагностики большого количества заболеваний. В этот список входят переломы костей, опухоли, заболевания сердца и лёгких. Флюорографию применяют для массового обследования населения на предмет выявления туберкулёза и других заболеваний дыхательной системы. Поэтому с помощью флюорографии исследуют только легкие. Разрешение изображения Рентгеновские снимки обладают более высоким разрешением и детализацией, что позволяет врачам видеть даже незначительные изменения в тканях и органах. Флюорография же предоставляет общую картину состояния исследуемой области. На флюорографическом снимке видны тени размером от 5 мм, поэтому мелкие объекты такой способ диагностики распознать не п

Флюорография и рентгеновское исследование – это два метода лучевой диагностики, которые применяют в медицине для обследования состояния внутренних органов и тканей. Несмотря на схожесть, эти методы все же имеют различия.

Читайте больше интересных статей на сайте rentgenprotect.ru

Цель проведения

Рентген используют для диагностики большого количества заболеваний. В этот список входят переломы костей, опухоли, заболевания сердца и лёгких. Флюорографию применяют для массового обследования населения на предмет выявления туберкулёза и других заболеваний дыхательной системы. Поэтому с помощью флюорографии исследуют только легкие.

Разрешение изображения

Рентгеновские снимки обладают более высоким разрешением и детализацией, что позволяет врачам видеть даже незначительные изменения в тканях и органах. Флюорография же предоставляет общую картину состояния исследуемой области. На флюорографическом снимке видны тени размером от 5 мм, поэтому мелкие объекты такой способ диагностики распознать не позволит.

Частота проведения

Рентгеновские снимки рекомендуется делать только при необходимости, так как они оказывают вредное воздействие на организм. Флюорографию же можно проводить чаще, особенно для контроля состояния здоровья людей из группы риска или проживающих в районах с высокой заболеваемостью туберкулёзом.

Безопасность

При рентгеновском исследовании (в сравнении с флюорографией) пациент испытывает более высокую лучевую нагрузку на организм.

Флюорографию проводят только при достижении 16-летнего возраста.

В РФ ежегодное проведение флюорографии требуют в учебных, медицинских и других учреждениях.

Флюорография и рентгеновское исследование имеют разные цели и особенности использования. Выбор метода зависит от конкретной ситуации и потребностей пациента или общества.