Добавить в корзинуПозвонить
Найти в Дзене
В мире медицины

Гонконгский грипп: о способах профилактики

Новости о предстоящем сезоне ОРВИ, в том числе, вспышках гонконгского гриппа периодически мелькают в моей ленте, да ещё и с устрашающими заголовками. Я не буду давать никаких прогнозов, а просто расскажу вам немного интересных фактов о данном типе гриппа и возможных способах его профилактики. Гонконгским грипп называется по месту первичной локализации инфекции. Это была третья пандемия в XX веке, случившаяся в Гонконге в 1968-1969 гг. и впоследствии распространившаяся в другие страны. В ту пандемию наибольшее количество жертв оказалось в США (около 34 тысяч человек), а тяжёлые формы гриппа преобладали у лиц пожилого возраста. Вообще, по данным ВОЗ, ежегодно от гриппа погибают до 650 тысяч человек. По антигенной структуре наиболее изученными являются три серотипа вируса: А, В и С, при этом последний считается самым "безобидным" и протекает, как правило, бессимптомно. Тип В встречается только среди людей, а первый тип (А) представляет наибольшую опасность, т.к. распространен среди люде
Оглавление
Новости о предстоящем сезоне ОРВИ, в том числе, вспышках гонконгского гриппа периодически мелькают в моей ленте, да ещё и с устрашающими заголовками.

Я не буду давать никаких прогнозов, а просто расскажу вам немного интересных фактов о данном типе гриппа и возможных способах его профилактики.

Историческая справка

Гонконгским грипп называется по месту первичной локализации инфекции. Это была третья пандемия в XX веке, случившаяся в Гонконге в 1968-1969 гг. и впоследствии распространившаяся в другие страны.

В ту пандемию наибольшее количество жертв оказалось в США (около 34 тысяч человек), а тяжёлые формы гриппа преобладали у лиц пожилого возраста.

Вообще, по данным ВОЗ, ежегодно от гриппа погибают до 650 тысяч человек.

По антигенной структуре наиболее изученными являются три серотипа вируса: А, В и С, при этом последний считается самым "безобидным" и протекает, как правило, бессимптомно.

Тип В встречается только среди людей, а первый тип (А) представляет наибольшую опасность, т.к. распространен среди людей и животных (основными природными резервуарами являются дикие птицы и летучие мыши).

Гонконгский грипп (тип А) по серотипу обозначается как H3N2. Именно вспышку гриппа, вызванного данным типом вируса, и ожидают в предстоящий эпидсезон в нашей стране.

Интересные факты о вирусе гриппа:

  • к типу А восприимчивы все виды птиц;
  • вирус способен к быстрым мутациям, в связи с чем "проскакивает" мимо иммунной системы;
  • в организме животных (например, у свиней) вирус, вызывающий грипп у человека или птицы, может поменяться участками своего генома. Это называется реассортацией, результатом чего является появление новых, более агрессивных типов вируса (так, вирус H1N1 вызвал пандемию свиного гриппа в 2009 г., а структурно он представлял из себя смешанные генетические последовательности вирусов гриппа человека, птиц и свиньи);
  • вирусом гриппа можно заболеть неоднократно за сезон (если инфицирование произошло разными подтипами).

Кто является источником инфекции и как можно заразиться гриппом?

Источником инфекции при гриппе обычно является инфицированный человек, а основные пути заражения выделяют следующие:

  • воздушно-капельный (при чихании, кашле);
  • контактный (при использовании общих предметов гигиены, столовых приборов без предварительной обработки и несоблюдении "кашлевого этикета").

Чем опасен гонконгский грипп и как проявляется?

Стремительным развитием и рядом осложнений, а основные симптомы проявляются через 1-2 дня после инфицирования (как правило, спустя 12 часов):

  • высокая температура (>39,5°C);
  • выраженная боль в мышцах и суставах;
  • катаральные явления (заложенность носа, першение в горле);
  • головная боль;
  • слабость;
  • сухой кашель.

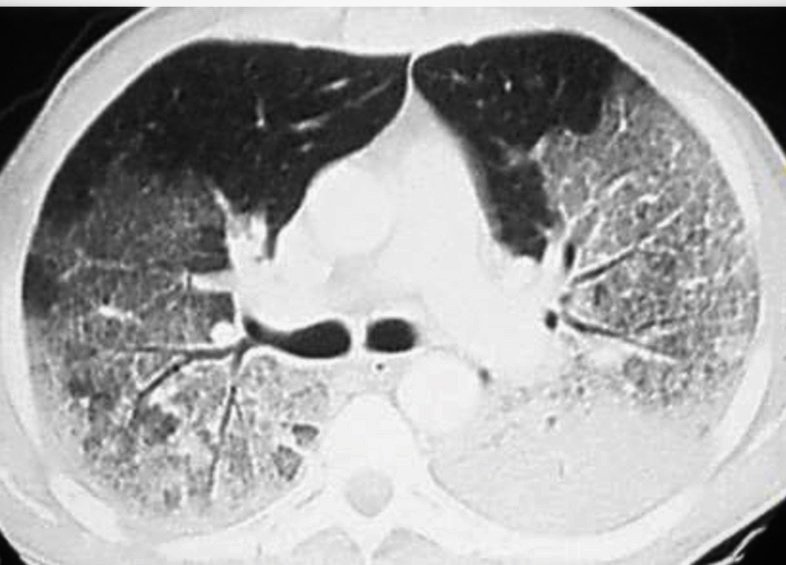
Наиболее опасным осложнением при гриппе является развитие острого респираторного дистресс-синдрома (ОРДС), являющегося крайним вариантом дыхательной недостаточности по типу некардиогенного отека лёгких с выраженным снижением парциального давления кислорода в крови. Состояние жизнеугрожающее, требует лечения в условиях ОРИТ, а на КТ выглядит вот так:

КТ ОГК на уровне бифуркации трахеи, аксиальный срез: пневматизация лёгочной ткани выраженно снижена за счёт диффузно расположенных участков "матового стекла" и консолидации, преимущественно локализующихся в дорсальных и базальных отделах лёгких (эффект градиента).
КТ ОГК на уровне бифуркации трахеи, аксиальный срез: пневматизация лёгочной ткани выраженно снижена за счёт диффузно расположенных участков "матового стекла" и консолидации, преимущественно локализующихся в дорсальных и базальных отделах лёгких (эффект градиента).
На сегодняшний день разработана вакцина против данного типа гриппа, а риск заболеваемости вполне можно снизить.
Вакцина содержит антигены четырех штаммов вируса гриппа. Не способна вызвать само заболевание, т.к. содержит неактивные компоненты вируса. Иммунитет сохраняется в течение 9-12 месяцев.
Вакцина содержит антигены четырех штаммов вируса гриппа. Не способна вызвать само заболевание, т.к. содержит неактивные компоненты вируса. Иммунитет сохраняется в течение 9-12 месяцев.

Преимущества вакцины:

  • легко переносится;
  • можно применять в разных возрастных категориях, начиная с 6 месяцев;
  • минимально выражены побочные эффекты;
  • снижает вероятность развития опасных осложнений в случае, если не удалось избежать болезни;

Недостатки:

  • противопоказана для лиц, имеющих подтвержденную аллергическую реакцию на белок куриного яйца или иные компоненты вакцины при предыдущих вакцинациях.

Оптимальным временем вакцинации является период с сентября по ноябрь.

Санбюллетень по гриппу из открытого доступа
Санбюллетень по гриппу из открытого доступа

Кому обязательно необходимо вакцинироваться?

  • Сотрудникам медицинских и образовательных учреждений, транспорта, коммунальной и социальной сфер;
  • Военнослужащим, сотрудникам правоохранительных органов или лицам иного рода профессиональной деятельности, имеющим потенциально высокий риск заболевания гриппом или заражения им других лиц;
  • Детям и лицам старше 60 лет;
  • Людям с хроническими заболеваниями, особенно со стороны дыхательной системы;
  • Беременным женщинам во II-III триместре, особенно если ПДР ожидается в осенне-зимний период.

Как вы относитесь к вакцинации: привились от гриппа? Или только планируете? А может и вовсе являетесь антипрививочником? Делитесь своим мнением в комментариях.