Найти в Дзене

ПРОБЛЕМЫ ГОЛЕНОСТОПА

Много и часто пишу про тазобедренный и коленный суставы, стопу - это основные точки приложения ортопедии сегодня. Других локаций тоже немало, но там проблемы очень разнообразные. Одним словом, протезирование и «шишки»/косточки - это не вся ортопедия. Когда приходит пациент с чем-нибудь этаким, честно скажу - моя ортопедическая душа радуется, ибо делать рутинные операции, конечно, интересно, но нестандартные - намного интереснее. Ситуации самые неожиданные, зачастую требующие нестандартных решений. Иной раз возникает идея, она кажется оптимальной, а через сутки-другие (мозг и во сне переваривает информацию) как бы вдруг озаряет, и понимаешь - совсем по-другому надо делать - лучше, надёжнее, удобнее, проще и т.п. Да и в процессе операции нередко план меняется. Масса вариантов. Задача, по большому счёту, одна: минимальной «кровью» получить максимальный результат. После отпуска было подряд несколько историй, все на уровне голеностопного сустава, все разные. Просто для информации кое-что р

Много и часто пишу про тазобедренный и коленный суставы, стопу - это основные точки приложения ортопедии сегодня. Других локаций тоже немало, но там проблемы очень разнообразные. Одним словом, протезирование и «шишки»/косточки - это не вся ортопедия.

Когда приходит пациент с чем-нибудь этаким, честно скажу - моя ортопедическая душа радуется, ибо делать рутинные операции, конечно, интересно, но нестандартные - намного интереснее. Ситуации самые неожиданные, зачастую требующие нестандартных решений. Иной раз возникает идея, она кажется оптимальной, а через сутки-другие (мозг и во сне переваривает информацию) как бы вдруг озаряет, и понимаешь - совсем по-другому надо делать - лучше, надёжнее, удобнее, проще и т.п. Да и в процессе операции нередко план меняется. Масса вариантов. Задача, по большому счёту, одна: минимальной «кровью» получить максимальный результат.

После отпуска было подряд несколько историй, все на уровне голеностопного сустава, все разные. Просто для информации кое-что расскажу, мало кто знает о таких наших (ортопедов) возможностях.

ПОДРЫВ

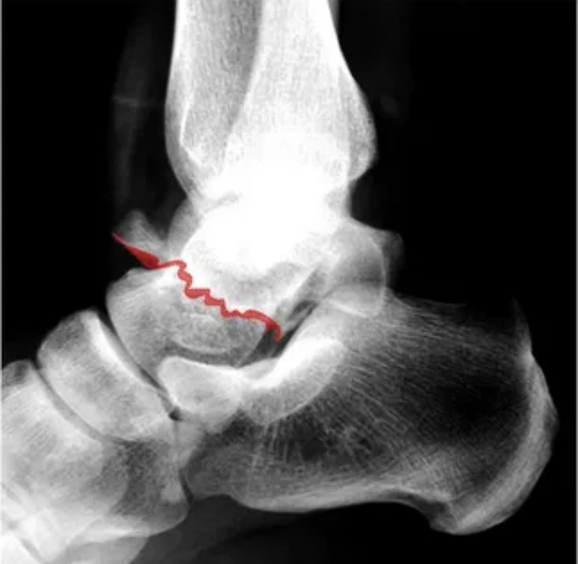
Парень-штурмовик, ехал на бронетранспортёре, наехали на мину. Подбросило в воздух, без сознания приземлился, судя по всему, на ноги. С одной стороны перелом лодыжек, с другой - перелом таранной кости. Эта кость - самая плохо кровоснабжаемая кость тела. Хуже головки бедра. Лечили в гипсе, осколки не вправили, исходно перелом был таким:

-2

но сейчас всё вот так:

-3

То есть отломанная головка таранной кости полностью ушла вверх. Там и лежит уже больше года. За это время парню каких только операций не предлагали, в итоге он потерялся, и не понимает, что же делать дальше. Пришел ко мне за последним мнением (начитался обо мне где-то).

Смотрю, и не верю своим глазам: ходит без костылей, без хромоты и без боли!! Единственная жалоба - стопа вверх не поднимается!! Если бы сам не увидел - не поверил бы никогда.

Разумеется, в такой ситуации никаких операций делать не нужно. Бог даст, всё зарубцуется, блоку таранной кости достанет кровотока, и он еще послужит. А любую операцию сделать никогда не поздно. Главное - нога опорная, и не болит. Поразительно.

ПАДЕНИЕ

Снова военнослужащий, но - падение с высоты (горы). Опять передом таранной кости. На этот раз операцию сделали - через трое суток. Собрали хорошо, но… кость погибла. Движений в суставе почти нет:

-4

История почти аналогичная, но здесь парень рассматривает помимо стандартных вариантов (артродез, протезирование таранной кости, протезирование голеностопного сустава) еще и ампутацию! Болит так сильно, сто он готов ампутировать стопу, и жить с протезом… Ничего, говорит, парни с протезами на фронт возвращаются, и нормально воюют!!

Разумеется, это не вариант. Никто ничего ампутировать не станет. Это же, кстати, и до меня все сказали.

Здесь единственный правильный вариант - замкнуть голеностоп. Нет движений/сустава - нет и боли. А без голеностопа, как известно, можно даже бегать. Этот парнишка, кстати, решил ко мне приехать после того, как посмотрел где-то видео с моим пациентом, который после артродеза бегает и на велосипеде катается.

Здесь тоже день не зря прошел - убедил выкинуть из головы мысли об ампутации, объяснил, что никакое протезирование неуместно. Будем делать артродез.

СВЯЗКИ

Казалось бы, связки. Ерунда. Ан, нет. Дистанционно получил фото/МРТ голеностопа после ушиба и подворачивания стопы. Всё по классике - никакой иммобилизации, даже несмотря на огромный отек и гематому. В итоге через год - некроз таранной кости.

Отлично видно на МРТ. К счастью, не всей, а большого, но ограниченного участка. Подозреваю неладное, поскольку после ушиба о столбик на теннисном корте так не бывает. Смотрю МРТ еще раз - так и есть, разорвана передняя таранно-малоберцовая связка. Вероятнее всего, из-за неё и таранная кость пострадала.

При таких повреждениях тарана я делаю пересадку костно-хрящевых столбиков из колена, но, если не восстановить связку, перспектива плохая. Соответственно, будем чинить и связку, и таранную кость. Зрим в корень!

ПОЗВОНОЧНИК

История чудесного спасения, не иначе. После серьезного перелома позвоночника девчушку парализовало ниже пояса. Нейрохирурги совершили чудо - почти всё восстановилось. Кроме левой стопы (и чуть выше). То есть, нога ходит, но стопа безвольно висит, движений никаких. Неудобно, некрасиво, да еще и цепляется за всё. Икроножные мышцы сократились, что усугубило ситуацию - даже встать полноценно на подошву невозможно. По факту - инвалидизация.

В такой ситуации самое простое - сделать всё тот же артродез. Всё равно активных движений нет, голеностоп не нужен. Но с учетом возраста от этой операции лучше воздержаться. Есть шанс, что когда-нибудь что-нибудь заработает. Поэтому мой выбор - тенодез. То есть берем сухожилие одной из не работающих мышц, за него подтягиваем стопу вверх, предварительно удлинив ахиллово сухожилие, и фиксируем стопу под углом 90 градусов. В итоге и нога опорна, и по лестнице подниматься удобно, и на корточки сесть можно, и, если что-то заработает, будет возможность сгибать стопу вверх.

Сделал видео, вот ссылка, почувствуйте разницу:

Клипы Andy Kardy

Вот такие интересности вокруг голеностопа. Хотелось бы больше сложного и трудного, но это всё по большей части остаётся в городских больницах. Где, кстати, хирурги тоже отлично справляются.