Найти в Дзене

Рак легких на КТ

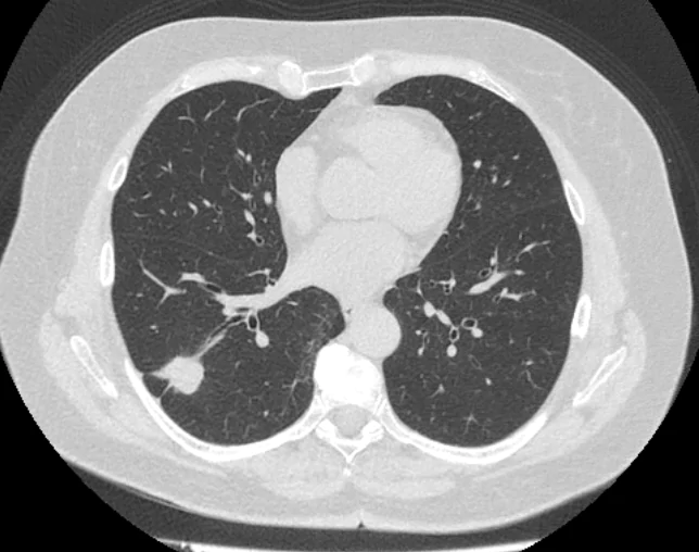
Рак легкого — злокачественное перерождение легочной паренхимы, характеризующееся поражением легочного матрикса в виду атипичного и бесконтрольного размножения опухолевых клеток и метастазированием в другие органы за счет тока лимфы/крови. Поражение легких, как правило, визуализируют сначала на рентгенограмме, а в дальнейшем для уточнения характера поражения и точной локализации визуализируются на КТ как с контрастом так и без него. С целью уточнения морфологического характера опухоли и уточнения злокачественности проводят биопсию легкого. Первичными признаками (симптомами), которые заставляют обратиться пациента к врачу-специалисту, являются: -постоянный кашель; -отхаркивание мокроты с прожилками крови; -одышка в покое; -повышенная утомляемость и неадекватная потеря в весе; -дискомфорт в грудной клетке. Что можно увидеть на КТ при раке легких? На традиционной компьютерной томографии, без введения контрастных агентов, можно увидеть характер, структуру и локализацию средних и крупных опу

Рак легкого — злокачественное перерождение легочной паренхимы, характеризующееся поражением легочного матрикса в виду атипичного и бесконтрольного размножения опухолевых клеток и метастазированием в другие органы за счет тока лимфы/крови. Поражение легких, как правило, визуализируют сначала на рентгенограмме, а в дальнейшем для уточнения характера поражения и точной локализации визуализируются на КТ как с контрастом так и без него. С целью уточнения морфологического характера опухоли и уточнения злокачественности проводят биопсию легкого.

                                                                      Раковые клетки
Раковые клетки

Первичными признаками (симптомами), которые заставляют обратиться пациента к врачу-специалисту, являются:

-постоянный кашель;

-отхаркивание мокроты с прожилками крови;

-одышка в покое;

-повышенная утомляемость и неадекватная потеря в весе;

-дискомфорт в грудной клетке.

Что можно увидеть на КТ при раке легких? На традиционной компьютерной томографии, без введения контрастных агентов, можно увидеть характер, структуру и локализацию средних и крупных опухолевых очагов. Без введения контрастных агентов на ранних стадиях, выявление метастазов и мельчайших опухолевых очагов является затруднительным. Согласно КТ легких можно установить следующее:

-изменения в размерах и форме легкого;

-размеры и точную локализацию опухолевого очага;

-количество опухолевых очагов;

-наличие крупных метастазов в близлежащих тканях и органах грудной полости;

-поражение или изменения структуры соседних тканей.

                                                         Поражение легких при раке
Поражение легких при раке

Для точного описания опухоли ассоциацией врачей-онкологов была принята классификация ТNM, где:

-Т (tumor) отражает величину опухоли и ее локализацию;

-N (nodus) отражает распространение опухоли на лимфатические узлы;

-М (metastasis) отражает наличие метастазов в других частях тела.

Каждая из этих классификаций имеет свои стадии подтипы.

Как правило дальнейшим этапом диагностики является проведение КТ с контрастом. КТ с контрастом подходит всем пациентам, не имеющим: повышения уровня креатинина в периферической крови, аллергической реакции на йод, заболеваний щитовидной железы. Также, стоит отметить, что КТ противопоказано женщинам на любом сроке беременности.

Методика проведения КТ является стандартной и проводится следующим образом:

-пациент занимает положение лежа на спине в горизонтальной плоскости;

-устанавливается катетер в локтевую вену, после чего к катетеру подключается дозатор для введения контраста;

-врач-рентгенолог запускает КТ-аппарат;

-КТ установка выполняет множественные снимки (срезы);

-томограф выстраивает трехмерную модель легкого и соседних органов;

-врач-рентгенолог описывает КТ-снимок и расшифровывает подробно все найденные патологии;

-выдача заключения.