Добавить в корзинуПозвонить
Найти в Дзене

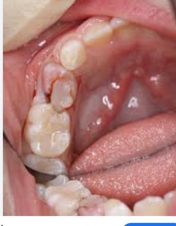
Детские зубные коронки на молочные зубы

Хочу сегодня рассказать вам про детские зубные коронки представляют собой специальные конструкции, которые устанавливаются на поврежденные или деформированные постоянные зубы у детей. Коронки используются для восстановления формы, структуры и функции зуба, предотвращения дальнейшего разрушения и укрепления зубной ткани. Детские зубные коронки могут быть изготовлены из различных материалов, таких как нержавеющая сталь, керамика или композитные материалы. Нержавеющая сталь самая распространенная материал для детских коронок, потому что она прочная, долговечная и выдерживает высокую нагрузку. Установка детских зубных коронок является важной процедурой, которая поможет сохранить здоровье и красоту улыбки вашего ребенка. Врач стоматолог подберет наиболее подходящий тип и материал коронки в зависимости от состояния зуба и потребностей пациента.

Хочу сегодня рассказать вам про детские зубные коронки представляют собой специальные конструкции, которые устанавливаются на поврежденные или деформированные постоянные зубы у детей. Коронки используются для восстановления формы, структуры и функции зуба, предотвращения дальнейшего разрушения и укрепления зубной ткани.

Детские зубные коронки могут быть изготовлены из различных материалов, таких как нержавеющая сталь, керамика или композитные материалы. Нержавеющая сталь самая распространенная материал для детских коронок, потому что она прочная, долговечная и выдерживает высокую нагрузку.

Установка детских зубных коронок является важной процедурой, которая поможет сохранить здоровье и красоту улыбки вашего ребенка. Врач стоматолог подберет наиболее подходящий тип и материал коронки в зависимости от состояния зуба и потребностей пациента.

-2