Π”ΠΎΠ±Π°Π²ΠΈΡ‚ΡŒ Π² ΠΊΠΎΡ€Π·ΠΈΠ½ΡƒΠŸΠΎΠ·Π²ΠΎΠ½ΠΈΡ‚ΡŒ
Найти Π² Π”Π·Π΅Π½Π΅

🫁 ΠŸΠ΅Ρ€ΠΈΡ„Π΅Ρ€ΠΈΡ‡Π΅ΡΠΊΠΈΠΉ ΡƒΠ·Π΅Π» Π»Π΅Π³ΠΊΠΎΠ³ΠΎ

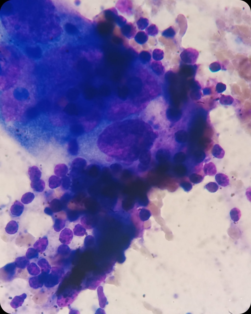
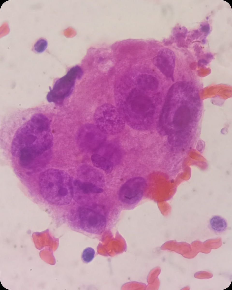
🫁 ΠŸΠ΅Ρ€ΠΈΡ„Π΅Ρ€ΠΈΡ‡Π΅ΡΠΊΠΈΠΉ ΡƒΠ·Π΅Π» Π»Π΅Π³ΠΊΠΎΠ³ΠΎ. Π£Π²Π΅Π»ΠΈΡ‡Π΅Π½Π½Ρ‹ΠΉ ΠΌΠ΅Π΄ΠΈΠ°ΡΡ‚ΠΈΠ½Π°Π»ΡŒΠ½Ρ‹ΠΉ Π»ΠΈΠΌΡ„ΠΎΡƒΠ·Π΅Π». πŸ’‰ ΠœΠ°Ρ‚Π΅Ρ€ΠΈΠ°Π» ВАБ ΠΏΠΎΠ΄ ΠΊΠΎΠ½Ρ‚Ρ€ΠΎΠ»Π΅ΠΌ эндоскопичСского ΡƒΠ»ΡŒΡ‚Ρ€Π°Π·Π²ΡƒΠΊΠ° (EUS-FNA) πŸ”¬ ΠœΠ΅Ρ‚Π°ΡΡ‚Π°Ρ‚ΠΈΡ‡Π΅ΡΠΊΠ°Ρ Π°Π΄Π΅Π½ΠΎΠΊΠ°Ρ€Ρ†ΠΈΠ½ΠΎΠΌΠ°. ΠšΠ°Ρ‚Π΅Π³ΠΎΡ€ΠΈΡ 5 ΠΏΠΎ БиднСйской классификации. #Π»Π΅Π³ΠΊΠΎΠ΅ #цитология

🫁 ΠŸΠ΅Ρ€ΠΈΡ„Π΅Ρ€ΠΈΡ‡Π΅ΡΠΊΠΈΠΉ ΡƒΠ·Π΅Π» Π»Π΅Π³ΠΊΠΎΠ³ΠΎ. Π£Π²Π΅Π»ΠΈΡ‡Π΅Π½Π½Ρ‹ΠΉ ΠΌΠ΅Π΄ΠΈΠ°ΡΡ‚ΠΈΠ½Π°Π»ΡŒΠ½Ρ‹ΠΉ Π»ΠΈΠΌΡ„ΠΎΡƒΠ·Π΅Π».

πŸ’‰ ΠœΠ°Ρ‚Π΅Ρ€ΠΈΠ°Π» ВАБ ΠΏΠΎΠ΄ ΠΊΠΎΠ½Ρ‚Ρ€ΠΎΠ»Π΅ΠΌ эндоскопичСского ΡƒΠ»ΡŒΡ‚Ρ€Π°Π·Π²ΡƒΠΊΠ° (EUS-FNA)

πŸ”¬ ΠœΠ΅Ρ‚Π°ΡΡ‚Π°Ρ‚ΠΈΡ‡Π΅ΡΠΊΠ°Ρ Π°Π΄Π΅Π½ΠΎΠΊΠ°Ρ€Ρ†ΠΈΠ½ΠΎΠΌΠ°. ΠšΠ°Ρ‚Π΅Π³ΠΎΡ€ΠΈΡ 5 ΠΏΠΎ БиднСйской классификации.

#Π»Π΅Π³ΠΊΠΎΠ΅ #цитология

-2