Добавить в корзинуПозвонить
Найти в Дзене

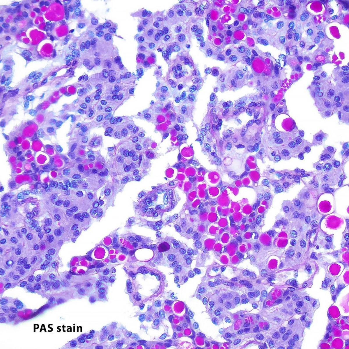
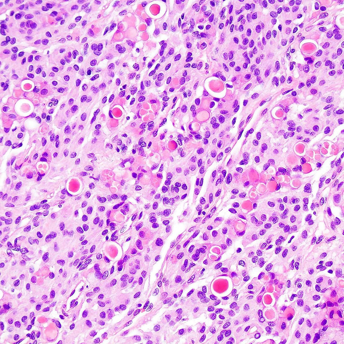
Псаммомные тельца секреторных менингиом положительно окрашиваются PAS и окружены клетками, позитивными к цитокератинам, в зонах

Псаммомные тельца секреторных менингиом положительно окрашиваются PAS и окружены клетками, позитивными к цитокератинам, в зонах псевдожелезистых пространств. Раково-эмбриональный антиген (СЕА) также проявляет положительную реакцию и может выступать в роли серологического маркера для выявления рецидивов. #гистология #менингиома

Псаммомные тельца секреторных менингиом положительно окрашиваются PAS и окружены клетками, позитивными к цитокератинам, в зонах псевдожелезистых пространств.

Раково-эмбриональный антиген (СЕА) также проявляет положительную реакцию и может выступать в роли серологического маркера для выявления рецидивов.

#гистология #менингиома

-2
-3
-4