Добавить в корзинуПозвонить
Найти в Дзене
Екатерина Ляпина

Шикарный кейс

Шикарный кейс! Наверху - фото до. Полный перекрестный медиальный прикус. Внизу - фото на этапе лечения. Перекрест устранен, мезиального прикуса нет. Но видно, что прошло много времени. История такая: как и многим родителям, было тяжело признать наличие единственно правильного варианта лечения. Поэтому год мы потратили на ношение съемной пластинки. Потом благополучно ребенок ее потерял. Результат был, но не такой шикарный. (Вроде есть, а вроде нет, как часто бывает при компромиссах) Спустя год моего активного прогрева и убеждения родителей , мы ставим Марко-Роса и лицевую маску. Ребенок ходит в автобусе в ней и в целом очень рад. Ну и результат мы получаем за месяц 🙌🏻😎

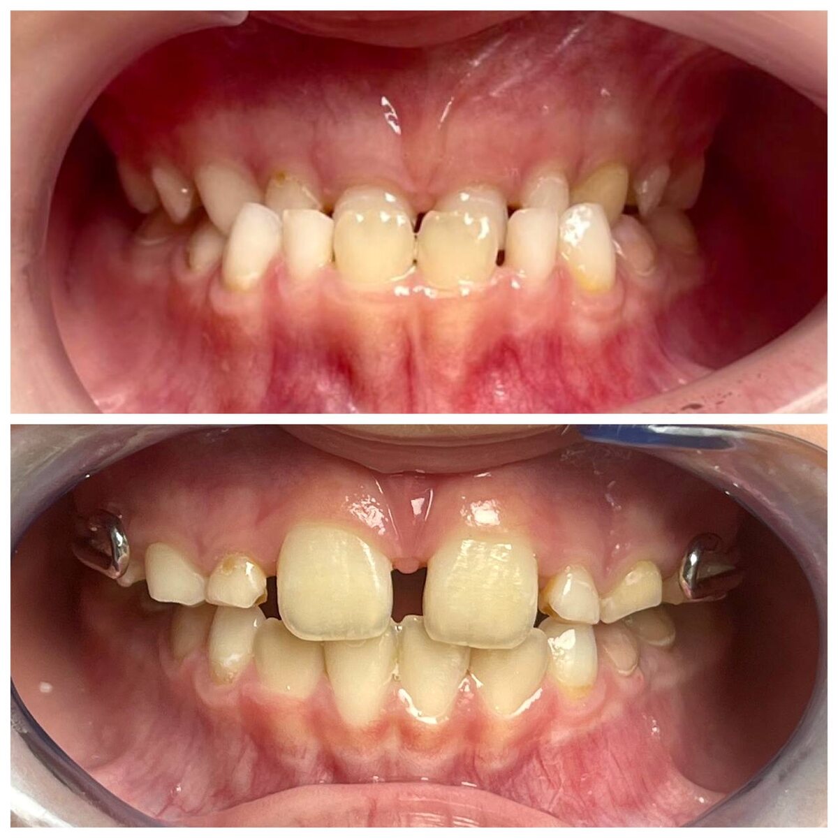
Шикарный кейс!

Наверху - фото до. Полный перекрестный медиальный прикус.

Внизу - фото на этапе лечения. Перекрест устранен, мезиального прикуса нет.

Но видно, что прошло много времени.

История такая: как и многим родителям, было тяжело признать наличие единственно правильного варианта лечения.

Поэтому год мы потратили на ношение съемной пластинки. Потом благополучно ребенок ее потерял. Результат был, но не такой шикарный. (Вроде есть, а вроде нет, как часто бывает при компромиссах)

Спустя год моего активного прогрева и убеждения родителей , мы ставим Марко-Роса и лицевую маску. Ребенок ходит в автобусе в ней и в целом очень рад. Ну и результат мы получаем за месяц 🙌🏻😎