Добавить в корзинуПозвонить
Найти в Дзене
Lenta.ru

Мужчина восемь лет прожил с застрявшим в груди ножом

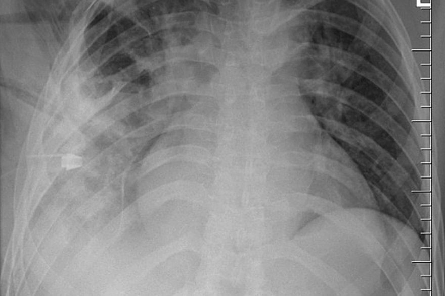
В Танзании врачи удалили из груди мужчины нож, которого он не замечал восемь лет. Об этом пишет Oddity Central. 44-летний мужчина обратился в больницу из-за гнойных выделений в районе соска. Врачи удивились, что мужчина не жаловался на боли в груди, проблемы с дыханием и кашель, и сделали ему рентген. Тогда они и обнаружили, что внутри пациента застрял нож. Лезвие вошло рядом с правой лопаткой и не задело ни одного органа, поэтому он спокойно жил с ним. По словам пациента, около восьми лет назад на него напали с ножом, после чего он попал в больницу с многочисленными ранениями. Тогда врачи не смогли провести рентгенологическое обследование и просто зашили его раны. Впоследствии мужчину ничего не беспокоило, поэтому он и не обращался за помощью. Гной стал сочиться из его тела из-за омертвевших тканей, которые образовались вокруг инородного объекта. Врачи успешно удалили нож из груди мужчины. Спустя 11 дней ему удалось восстановиться. Этот клинический случай описан в журнале National Lib
   Фото: Journal of Surgical Case Reports
Фото: Journal of Surgical Case Reports

В Танзании врачи удалили из груди мужчины нож, которого он не замечал восемь лет. Об этом пишет Oddity Central.

44-летний мужчина обратился в больницу из-за гнойных выделений в районе соска. Врачи удивились, что мужчина не жаловался на боли в груди, проблемы с дыханием и кашель, и сделали ему рентген. Тогда они и обнаружили, что внутри пациента застрял нож. Лезвие вошло рядом с правой лопаткой и не задело ни одного органа, поэтому он спокойно жил с ним.

По словам пациента, около восьми лет назад на него напали с ножом, после чего он попал в больницу с многочисленными ранениями. Тогда врачи не смогли провести рентгенологическое обследование и просто зашили его раны. Впоследствии мужчину ничего не беспокоило, поэтому он и не обращался за помощью. Гной стал сочиться из его тела из-за омертвевших тканей, которые образовались вокруг инородного объекта.

Врачи успешно удалили нож из груди мужчины. Спустя 11 дней ему удалось восстановиться. Этот клинический случай описан в журнале National Library of Medicine.

Ранее сообщалось, что врачи удалили из кишок китайца керамическую ложку, которую он проглотил, будучи пьяным. До похода в больницу мужчина полгода думал, что инцидент с ложкой ему приснился.