Добавить в корзинуПозвонить
Найти в Дзене
Телеканал 360

Подростка с пулей в сердце спасли в медцентре Рошаля

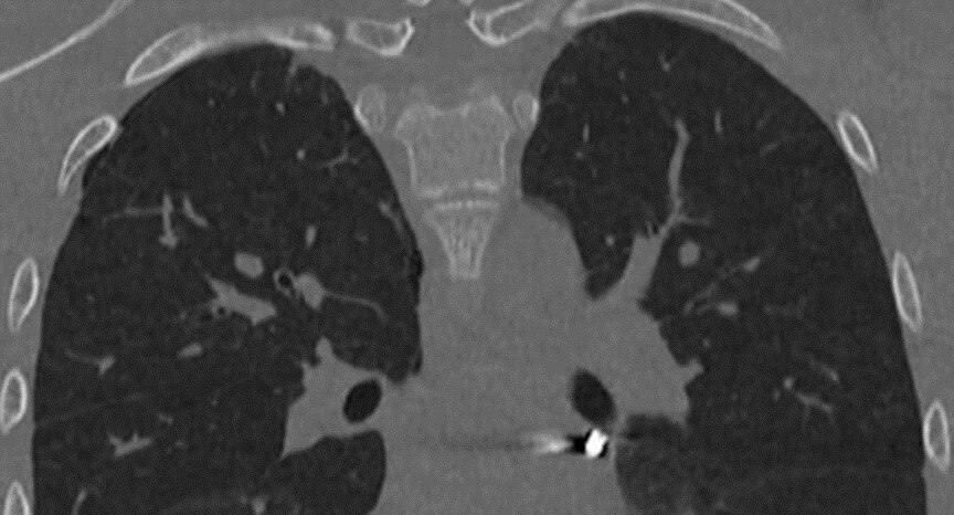
Врачи Детского клинического центра имени Л. М. Рошаля спасли 16-летнего пациента с ранением грудной клетки. Травма, полученная во время неосторожных игр с пневматическим ружьем, оказалась крайне опасной — при обследовании врачи обнаружили, что инородное тело расположилось в непосредственной близости от сердца. Врачи выполнили малоинвазивную операцию. Они вскрыли перикард и вынуждены были работать в миллиметре от важнейших для жизни структур. «Особую сложность представляла необходимость манипулировать инструментами в условиях ограниченного обзора и постоянного движения сердца. В ходе вмешательства нам удалось извлечь инородное тело без единого разреза», — поделился деталями сложнейшей операции заведующий отделением детской хирургии № 2 Никита Степаненко. Благодаря мастерству хирургов вмешательство завершилось успешно — подросток полностью восстановился, его уже выписали из медицинского учреждения. Этот случай вновь напоминает о важности ответственного отношения к выбору развлечений и не

Врачи Детского клинического центра имени Л. М. Рошаля спасли 16-летнего пациента с ранением грудной клетки. Травма, полученная во время неосторожных игр с пневматическим ружьем, оказалась крайне опасной — при обследовании врачи обнаружили, что инородное тело расположилось в непосредственной близости от сердца.

   Пресс-служба Министерства здравоохранения Московской области
Пресс-служба Министерства здравоохранения Московской области

Врачи выполнили малоинвазивную операцию. Они вскрыли перикард и вынуждены были работать в миллиметре от важнейших для жизни структур.

«Особую сложность представляла необходимость манипулировать инструментами в условиях ограниченного обзора и постоянного движения сердца. В ходе вмешательства нам удалось извлечь инородное тело без единого разреза», — поделился деталями сложнейшей операции заведующий отделением детской хирургии № 2 Никита Степаненко.

Благодаря мастерству хирургов вмешательство завершилось успешно — подросток полностью восстановился, его уже выписали из медицинского учреждения.

Этот случай вновь напоминает о важности ответственного отношения к выбору развлечений и необходимости повышения осведомленности подростков о возможных опасностях.

Врачи центра подчеркнули, что лучшая профилактика подобных происшествий — осознанный подход к организации досуга и постоянное напоминание о рисках неосторожного поведения.

Автор: Елизавета Теличенко