Добавить в корзинуПозвонить
Найти в Дзене

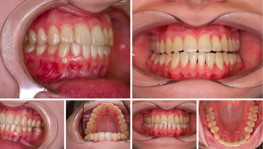
💎 Кейс: повторное ортодонтическое лечение (8 месяцев)

Пациентка обратилась после лечения в другой клинике, но ретенционные пластинки либо потерялись, либо не носились — начался релапс: некоторые зубы «разъехались». Зубы стремятся вернуться «как было». Чтобы удержать результат: Когда срочно на контроль? ✅ В короткие сроки вернули ровные дуги и зафиксировали результат ретенцией — улыбка под защитой. Если после снятия брекетов заметили сдвиги — приходите на осмотр, подберём безопасный план возврата и ретейна⤵️ 👪 С любовью и заботой о вас и ваших детях, ваш любимый ортодонт и главный врач клиники СИЛК-СМАЙЛ, Елена Лещук❣️ P.s.: Подробнее о том, почему отклеиваются ретейнеры (основные причины) читайте на нашем сайте ⬇️ 🌐 silksmile.ru 🔵 vk.com/silksmile 📩 @ortodont_smile #силксмаил #советотеленылещук #советотсилксмаил #еленалещук #силксмаилрекомендует
Оглавление

Пациентка обратилась после лечения в другой клинике, но ретенционные пластинки либо потерялись, либо не носились — начался релапс: некоторые зубы «разъехались».

Что сделали:

  • 🔹Поставили металлические брекеты.
  • 🔹Отработали верх и низ по отдельности, быстро вернув зубы в дугу.
  • 🔹Зафиксировали ретейнеры с внутренней стороны + прозрачные ретенционные капы.

⚠️ Почему так строго с ретенцией?

Зубы стремятся вернуться «как было».

Чтобы удержать результат:

  • 🔹фиксированные ретейнеры — на длительный срок,
  • 🔹капы — по индивидуальному ночному графику,
  • 🔹контроль у ортодонта каждые по плану врача.

Когда срочно на контроль?

  • 🚨 Появились щели/перехлёст, «уполз» один зуб.
  • 🚨 Капа стала сидеть иначе.
  • 🚨Потеряли или сломали ретейнер/капу.

Результат

✅ В короткие сроки вернули ровные дуги и зафиксировали результат ретенцией — улыбка под защитой.

⚠️ Совет

Если после снятия брекетов заметили сдвиги — приходите на осмотр, подберём безопасный план возврата и ретейна⤵️

👇 Запишитесь на бесплатную консультацию уже сегодня

  • 📍Малая Ордынка, 3,
  • ☎️ 8 (495) 134-50-90
  • 📞 8 (916) 000-85-53

👪 С любовью и заботой о вас и ваших детях, ваш любимый ортодонт и главный врач клиники СИЛК-СМАЙЛ, Елена Лещук❣️

P.s.: Подробнее о том, почему отклеиваются ретейнеры (основные причины) читайте на нашем сайте ⬇️

Отклеился ретейнер: что делать и как сохранить результат ортодонтического лечения

🌐 silksmile.ru

🔵 vk.com/silksmile

📩 @ortodont_smile

#силксмаил #советотеленылещук #советотсилксмаил #еленалещук #силксмаилрекомендует