Найти в Дзене

ХИРУРГИЯ ПРИ ДЦП: КОГДА И ЗАЧЕМ

Ортопедическая хирургия занимается ВТОРИЧНЫМИ осложнениями детского церебрального паралича. Это истинные ортопедические проблемы, формирующиеся в процессе роста: Цели и виды хирургии зависят от: Возраст от 0 до 5 лет В этом возрасте доминирует СПАСТИЧНОСТЬ мышц, поэтому в этот период ХИРУРГИЯ НЕ ИМЕЕТ ПОКАЗАНИЙ к применению, нет фиксированных контрактур и деформаций. от 5 до 12 лет При естественном течении заболевания в условиях спастичности мышц развивается их ретракция, возникает недостаточная длина, что ведет к фиксированным контрактурам, которые даже при полном расслаблении не позволяют движения в суставах, необходимых для двигательной активности ребенка в соответствии с его функциональным уровнем (GMFCS I-V*). Часто ретракция мышц сопровождается торсионными (скрученными) деформациями костей на уровне бедра и голени. И тогда настает момент РЕКОНСТРУКТИВНОЙ ОРТОПЕДИЧЕСКОЙ ХИРУРГИИ, направленной на УДЛИНЕНИЕ МЫШЦ и одномоментное УСТРАНЕНИЕ ДЕФОРМАЦИЙ для поддержания правильных параме

Ортопедическая хирургия занимается ВТОРИЧНЫМИ осложнениями детского церебрального паралича. Это истинные ортопедические проблемы, формирующиеся в процессе роста:

  • деформации,
  • контрактуры,
  • подвывихи, вывихами в суставах.

Цели и виды хирургии зависят от:

  • степени неврологических расстройств ребенка,
  • возраста ребенка.

Возраст от 0 до 5 лет

В этом возрасте доминирует СПАСТИЧНОСТЬ мышц, поэтому в этот период ХИРУРГИЯ НЕ ИМЕЕТ ПОКАЗАНИЙ к применению, нет фиксированных контрактур и деформаций.

от 5 до 12 лет

При естественном течении заболевания в условиях спастичности мышц развивается их ретракция, возникает недостаточная длина, что ведет к фиксированным контрактурам, которые даже при полном расслаблении не позволяют движения в суставах, необходимых для двигательной активности ребенка в соответствии с его функциональным уровнем (GMFCS I-V*). Часто ретракция мышц сопровождается торсионными (скрученными) деформациями костей на уровне бедра и голени. И тогда настает момент РЕКОНСТРУКТИВНОЙ ОРТОПЕДИЧЕСКОЙ ХИРУРГИИ, направленной на УДЛИНЕНИЕ МЫШЦ и одномоментное УСТРАНЕНИЕ ДЕФОРМАЦИЙ для поддержания правильных параметров, так называемых рычагов движения суставов, оптимального выполнения функции сокращения и движения мышцами, на СТАБИЛИЗАЦИЮ СУСТАВОВ.

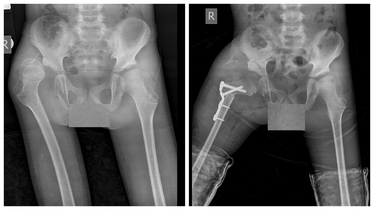
Реконструктивная операция на правом тазобедренном суставе по поводу вывиха и дисплазии вертлужной впадины: деротационно-варизирующая остеотомия в сочетании с  ацетабулопластикой по San Diego
Реконструктивная операция на правом тазобедренном суставе по поводу вывиха и дисплазии вертлужной впадины: деротационно-варизирующая остеотомия в сочетании с ацетабулопластикой по San Diego

У детей с тяжелыми формами ДЦП в этот возрастной период (оптимально до 8 лет) реконструктивные операции направлены на СТАБИЛИЗАЦИЮ ТАЗОБЕДРЕННЫХ И ГОЛЕНОСТОПНЫХ СУСТАВОВ. Например, у детей GMFCS III*, подтаранный артроэрез по Грайс в сочетании с удлинением ретграгированных мышц позволит стабилизировать стопу, облегчить ортезирование, улучшить условия проведения реабилитации.

Реконструктивная операция на стопе по методике Evans
Реконструктивная операция на стопе по методике Evans

от 12 лет и старше

В этот период к костным деформациям и контрактурам начинают присоединяться артрозные изменения в суставах (потеря суставного хряща). Полноценно восстановить анатомию и функцию суставов уже невозможно.

Как правило, такую проблему ортопеды наблюдают в двух случаях.

  • У детей с «crouch» походкой помимо торсионной деформации и высокой позиции надколенника возникают начальные артрозные изменения в суставах среднего отдела стопы и первого плюсне-фалангового сустава. УСЛОВНО-РЕКОНСТРУКТИВНАЯ ОПЕРАЦИЯ позволит добиться разгибания голени, вертикальной позы, коррекции деформации стопы, однако уже за счет частичной потери адаптации стопы к опоре на наклонной поверхности.
  • Ситуация сложнее, если разрушения происходят в тазобедренном суставе, и об условно-реконструктивной хирургии речь уже не идет. Когда головка бедра потеряла суставной хрящ и костные структуры под ним, ее форма больше не округлая, вертлужная впадина деформирована, уплощена, технически можно восстановить взаимоотношения головки бедра и вертлужной впадины, привести их в контакт, но это лишь усилит болевой синдром даже при пассивных движениях. Поэтому в данной ситуации выполняют ПАЛЛИАТИВНЫЕ ОРТОПЕДИЧЕСКИЕ ОПЕРАЦИИ. В случае, когда бедро находится в состоянии приведенного сгибательного положения, и на фоне выраженного болевого синдрома малейшие движения и минимальные гигиенические процедуры вызывают у ребенка сильные страдания, задача хирургии не восстановление правильных взаимоотношений в тазобедренном суставе, а УСТРАНЕНИЕ БОЛЕВОГО СИНДРОМА И ВОЗМОЖНОСТЬ ПАССИВНЫХ ДВИЖЕНИЙ на отведение и сгибание ноги, пассивной вертикальной позы, комфортной позы сидя.

Цель паллиативных ортопедических операций не анатомическое восстановление сустава, а создание благоприятных условий для пассивной мобилизации ребенка, снижение болевого синдрома и улучшение качества жизни ребенка с ДЦП.

ИТАК, своевременное вмешательство позволит выполнять реконструктивные ортопедические операции, а в старшем возрасте, при начальных артрозных явлениях и костных деформациях выполняется условно-реконструктивные операции и паллиативная хирургия, важно не запускать развитие осложнений до этих этапов.

«Повторим еще раз, что РАННЕЕ ВЫПОЛНЕНИЕ ХИРУРГИЧЕСКИХ ОРТОПЕДИЧЕСКИХ ОПЕРАЦИЙ ПРОТИВОПОКАЗАНО, потому что до возраста 5 лет доминирует спастичность, она маскирует слабость мышц, которые подконтрольны коре головного мозга, и в этой ситуации выполнение любых хирургических вмешательств на мышцах обернется катастрофой через несколько лет», - напоминает Дмитрий Арнольдович Попков, хирург-нейроортопед.

GMFCS* - Gross Motor Function Classification System, пять уровней развития двигательных возможностей ребенка.