Найти в Дзене

ПЛОСКОСТОПИЕ И ПОХОДКА

Любой человек знает, что плоскостопие - это нехорошо. При этом далеко не все знают и понимают, почему. Ну, да, стопа плоская, и? Тут начинается интересное. Включается вариант человеческого фактора - на многое люди реагируют по-разному: один с давлением 200 живёт до старости, а у другого один раз криз, и сразу инсульт. Примерно так же и со всем остальным, когда есть большая средняя популяция, которая на что-то реагирует одинаково, и есть крайние варианты - слишком слабо/слишком сильно. Это же касается и плоскостопия. Большая часть населения Земли его имеет в том или ином виде, разной степени и т.п., и в целом, люди страдают от всего того, что плоскостопие провоцирует и вызывает. Просто одни эти проявления ощущает, другие - нет, а процессы тем временем идут. Этот пост не столько о плоскостопии, сколько об одном из вариантов «скрытого влияния» на ходьбу со Звсеми вытекающими. Есть такая штука - артроз первого плюснефалангового сустава на стопе, то есть - сустава большого пальца. Там ж

Любой человек знает, что плоскостопие - это нехорошо. При этом далеко не все знают и понимают, почему. Ну, да, стопа плоская, и?

Тут начинается интересное. Включается вариант человеческого фактора - на многое люди реагируют по-разному: один с давлением 200 живёт до старости, а у другого один раз криз, и сразу инсульт. Примерно так же и со всем остальным, когда есть большая средняя популяция, которая на что-то реагирует одинаково, и есть крайние варианты - слишком слабо/слишком сильно.

Это же касается и плоскостопия. Большая часть населения Земли его имеет в том или ином виде, разной степени и т.п., и в целом, люди страдают от всего того, что плоскостопие провоцирует и вызывает. Просто одни эти проявления ощущает, другие - нет, а процессы тем временем идут.

Этот пост не столько о плоскостопии, сколько об одном из вариантов «скрытого влияния» на ходьбу со Звсеми вытекающими.

ДЕБЮТ

Есть такая штука - артроз первого плюснефалангового сустава на стопе, то есть - сустава большого пальца. Там же, где обычно появляется шишка, но больше сверху, а не сбоку. Пока артроз развивается, меняется распределение нагрузки на стопу. Перекат стопы через большой палец становится сначала болезненным, затем невозможным. Всё это время человек подсознательно старается ставить стопу в положении наружной ротации, в итоге мышцы ноги привыкают, и такая ротация становится привычной.

Со временем опускается продольный свод, и ситуация усугубляется еще больше. Интересно, что при артрозе сустава большого пальца боль есть далеко не всегда - в том числе и благодаря наружной ротации ноги. Зачастую основная жалоба - это трудности при подборе и ношении обуви, и боль именно в обуви из-за увеличения сустава в объеме.

С учетом того факта, что с возрастом запросы в отношении обуви снижаются, и многие просто переходят на ношение ботинок а ля «прощай, молодость», то до хирургического лечения частенько не доходит. А, если доходит, то в большинстве случаев, видя полностью или частично разрушенный сустав, хирурги просто делают артродез - блокируют сустав. Смысл операции состоит в удалении остатков суставных поверхностей костей, костно-хрящевых разрастаний, и соединении костей между собой. Кости постепенно срастаются, что избавляет человека от боли.

Если повезет - восстанавливается походка. А вот если за годы ходьбы с разрушенным суставом успели развиться другие проблемы, то тут уж как повезет.

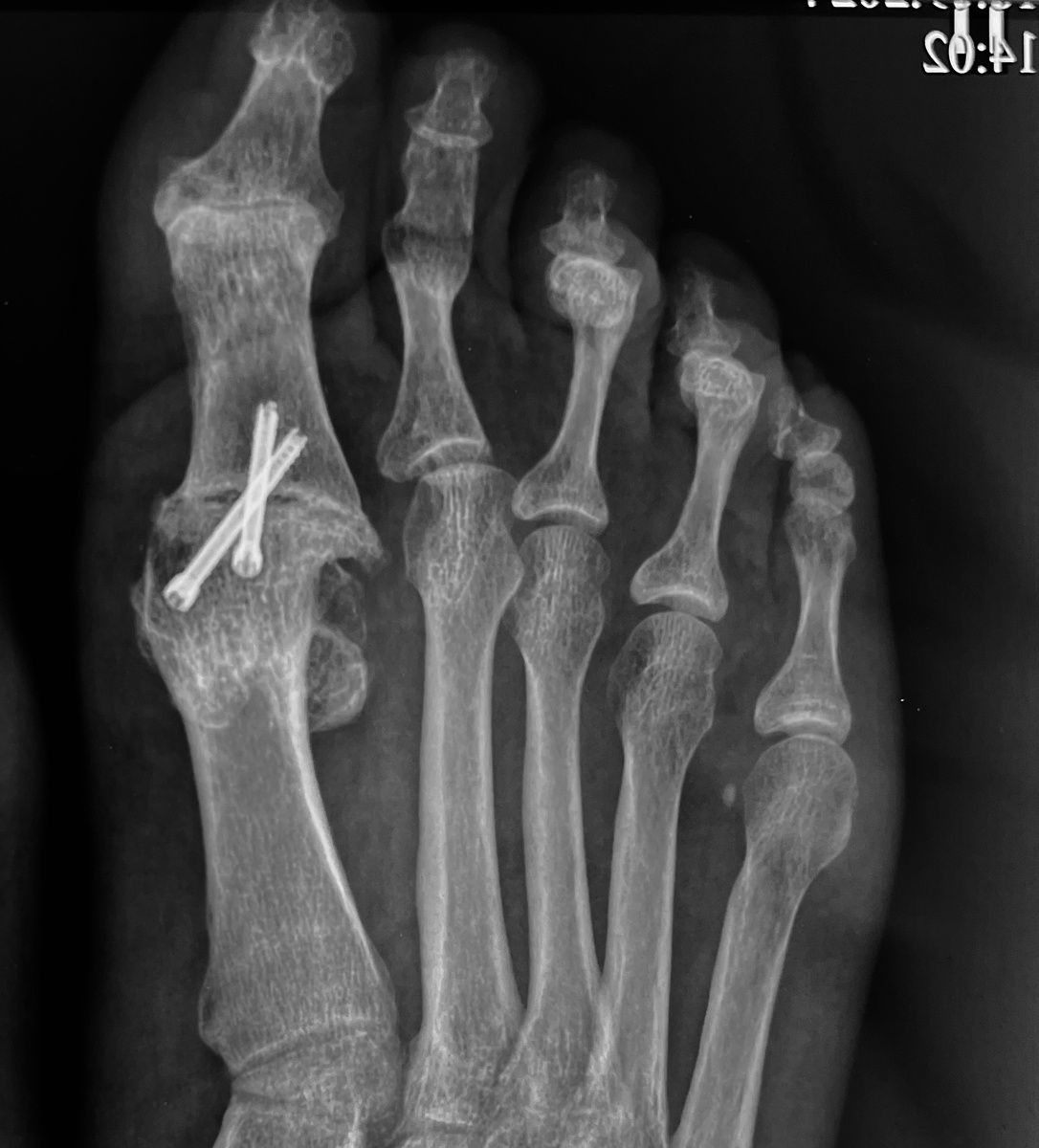
Сейчас расскажу историю пациентки, которой я в 2017 году заменил один коленный сустав в связи с артрозом. На тот момент артроз сустава большого пальца второй ноги уже был, но особо не беспокоил. Со временем он спрогрессировал (это неизбежно), поменялась походка, искривилась нога. Хирурги по месту жительства сделали артродез, заблокировали сустав. К сожалению, сделали это не совсем правильно: и не под нужным углом, и без коррекции продольного свода. Получилось вот так:

Здесь формально вроде и ничего…
Здесь формально вроде и ничего…

А вот здесь совсем плохо…
А вот здесь совсем плохо…

По-хорошему, во время этой операции нужно было скорректировать продольный свод, и стабилизировать стопу в вертикальном положении, но этого не сделали. В результате очень сильно нарушилась походка, и даже замена правого коленного сустава ситуацию не поменяла.

Левая, оперированная в 2017 году, нога стала прямой после протезирования, а правая приобрела Х-образную деформацию.

К сожалению, только фото
К сожалению, только фото

-5

Даже на фото видно, с каким перекосом женщина ходит. После операции 6,5 месяцев, никакой положительной динами. Местные хирурги устранились от решения проблемы - протез стоит хорошо, до свидания. Реабилитологи не справляются. Посоветовали ортопедические стельки (молодцы), но стельки стелькам рознь:

Это я пальцем надавил на супинатор, и он полностью лёг. Нулевая эффективность
Это я пальцем надавил на супинатор, и он полностью лёг. Нулевая эффективность

Короче говоря, все умыли руки. По старой памяти пациентка приехала ко мне, к счастью, разобрались - всё не так сложно.

Сразу же сделали каркасные стельки. Вышли в них в коридор, и занялись ходьбой. Я - не реабилитолог, но некоторые вещи совершенно очевидны даже хирургу.

Вот так уходит наружу стопа при каждом шаге. Когда под внутренним сводом лежит правильная стелька, она не даёт своду опускаться, а стопе - смещаться
Вот так уходит наружу стопа при каждом шаге. Когда под внутренним сводом лежит правильная стелька, она не даёт своду опускаться, а стопе - смещаться

При ходьбе стопа стала нагружаться правильно, но этого мало - мышцы по привычке ротируют ногу кнаружи. Заставляя принудительно мышцы выносить колено вперед и вверх, а затем ставить строго перед собой, мы за пять минут поправили походку.

Жаль, что не видео, но видно, что перекоса тела нет, нога не ротирована
Жаль, что не видео, но видно, что перекоса тела нет, нога не ротирована

Разумеется, стельки и контроль мышц - это не решение проблемы. За эти 30 минут приема стало понятно, что не так, что ситуация поддается, и что с этим делать.

Ближайшие месяцы нужно будет позаниматься мышцами -переучить их, синхронизировать. Лучшее средство - велотренажер. Строго в стельках. А потом я поправлю стопу: переделаю артродез, скорректирую свод и создам условия для вертикального положения стопы. И вот тогда только можно будет рассчитывать на нормализацию походки и хорошую выживаемость эндопротезов. Да-да, неправильная нагрузка на эндопротезы может привести к их расшатыванию, и нестабильности. Со всеми вытекающими. А всему виной - плоскостопие!