Найти в Дзене
ТВ Оха

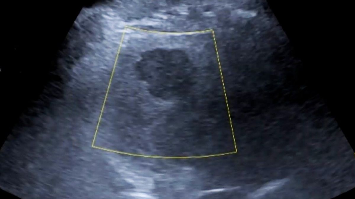
Врачи из Охи и Москвы вместе выявили образования в печени у пациентки

Врачи из Охи и Москвы вместе выявили образования в печени у пациентки В Охе врачи при помощи телеконсультации с московскими коллегами обследовали 32-летнюю пациентку, у которой впервые выявили объёмные образования в печени. Совместная работа специалистов, разделённых расстоянием более семи тысяч километров, позволила спланировать дальнейшую диагностику и лечение. 🔵 Подпишись на ТВ «ОХА» | Прислать новость ✉️ Получи денежное вознаграждение 🪙

Врачи из Охи и Москвы вместе выявили образования в печени у пациентки

В Охе врачи при помощи телеконсультации с московскими коллегами обследовали 32-летнюю пациентку, у которой впервые выявили объёмные образования в печени. Совместная работа специалистов, разделённых расстоянием более семи тысяч километров, позволила спланировать дальнейшую диагностику и лечение.

🔵 Подпишись на ТВ «ОХА» | Прислать новость ✉️ Получи денежное вознаграждение 🪙