Найти в Дзене
Probela.net

Удаление зуба мудрости: как понять, что пора, и что будет после

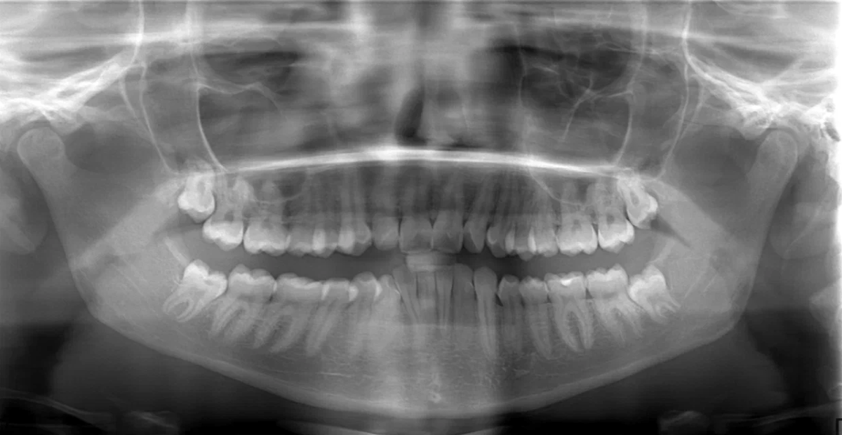
Зубы мудрости (они же — «восьмёрки») — самые последние в ряду. Часто они не успевают нормально прорезаться или растут под неправильным углом. Вот основные ситуации, когда стоматолог-хирург рекомендует удаление: Важно: если зуб мудрости растёт правильно, участвует в жевании и не доставляет проблем — удалять его необязательно. Но только после осмотра и снимка врач может сказать это точно. Процедура проводится под местной анестезией — боль вы не чувствуете. Весь процесс занимает от 15 до 45 минут, в зависимости от сложности.Процедура всегда начинается с диагностики: в клинике Probel перед удалением обязательно делают панорамный снимок. Он помогает хирургу оценить расположение корней, близость к нервам и выбрать наименее травматичную тактику.
Удаление зуба мудрости может быть:Простым — если зуб прорезался полностью и удаляется щипцами;
Сложным — если он ретинированный или дистопированный, тогда хирург аккуратно разрезает десну, при необходимости делит зуб на части и извлекает поэтапно.
Оглавление

Когда зуб мудрости нужно удалять?

Зубы мудрости (они же — «восьмёрки») — самые последние в ряду. Часто они не успевают нормально прорезаться или растут под неправильным углом. Вот основные ситуации, когда стоматолог-хирург рекомендует удаление:

  • Воспаление (перикоронит): если десна над зубом воспаляется, появляется боль, отёк, затруднение при открывании рта.
  • Ретинированный зуб: если он не прорезался полностью и «спит» под десной, но при этом влияет на соседние зубы или вызывает боль.
  • Дистопированный зуб: растёт вбок, упирается в соседний зуб, травмирует слизистую.
  • Кариес, пульпит или киста на зубе мудрости — особенно если невозможно провести качественное лечение.
  • Ортодонтическое лечение: если зубы мудрости мешают выравниванию прикуса.
  • Частые рецидивы боли или воспаления — даже если зуб периодически «затихает», это временно.
Удаление зуба мудрости в стоматологии Пробел в Москве
Удаление зуба мудрости в стоматологии Пробел в Москве

Важно: если зуб мудрости растёт правильно, участвует в жевании и не доставляет проблем — удалять его необязательно. Но только после осмотра и снимка врач может сказать это точно.

Как проходит удаление?

Процедура проводится под местной анестезией — боль вы не чувствуете. Весь процесс занимает от 15 до 45 минут, в зависимости от сложности.Процедура всегда начинается с диагностики: в клинике Probel перед удалением обязательно делают панорамный снимок. Он помогает хирургу оценить расположение корней, близость к нервам и выбрать наименее травматичную тактику.

Удаление зуба мудрости может быть:Простым — если зуб прорезался полностью и удаляется щипцами;
Сложным — если он ретинированный или дистопированный, тогда хирург аккуратно разрезает десну, при необходимости делит зуб на части и извлекает поэтапно.

A Удаление зуба мудрости в стоматологии Пробел в Москве
A Удаление зуба мудрости в стоматологии Пробел в Москве

Сколько стоит удаление зуба?


Удаление зуба мудрости в Москве может стоить по-разному — цена зависит от сложности случая, используемого оборудования, уровня клиники. В клинике Probel точная стоимость определяется на консультации, после диагностики. Вы заранее будете знать цену — никаких сюрпризов.

Удаление зуба мудрости в стоматологии Пробел в Москве
Удаление зуба мудрости в стоматологии Пробел в Москве

Что делать после удаления?


Если хирург наложил швы, их снимают обычно через 5–7 дней.

Вот базовые рекомендации, которые помогут ускорить заживление:

  • Не полощите рот в первые сутки, чтобы не вымыть защитный сгусток;
  • Регулярно прикладывайте холод (лед) к щеке на 15–20 минут;
  • Не ешьте горячее и острое в день процедуры;
  • Исключите физическую нагрузку и наклоны;
  • Не трогайте рану языком или пальцами.

Когда стоит срочно обратиться к врачу?


В таких случаях может развиться альвеолит — воспаление лунки. Оно лечится быстро, но рекомендуем не запускать это состояние. Иногда, несмотря на правильный уход, могут возникнуть осложнения.

Немедленно позвоните врачу, если:

  • Температура держится выше 38°С;
  • Возникает резкая, пульсирующая боль через неделю или позже после удаления;
  • Отёк не уменьшается или усиливается через неделю или позже после удаления.


Важно помнить


Удаление зуба мудрости — это не страшно и не мучительно, если довериться профессиональному врачу и соблюдать рекомендации. В клинике Probel удаление проводится щадяще, с точной диагностикой и контролем на каждом этапе. А значит — без боли, с предсказуемым восстановлением и вниманием к деталям.

Подробнее о подходе и ценах нашей клиники читайте на странице «Удаление зуба мудрости»

Или сразу записывайтесь на приём:
оставьте заявку на сайте — в ближайшее время мы вам перезвоним и поможем подобрать время.