Добавить в корзинуПозвонить
Найти в Дзене
Probela.net

Панорамный снимок зубов: зачем он нужен и что показывает

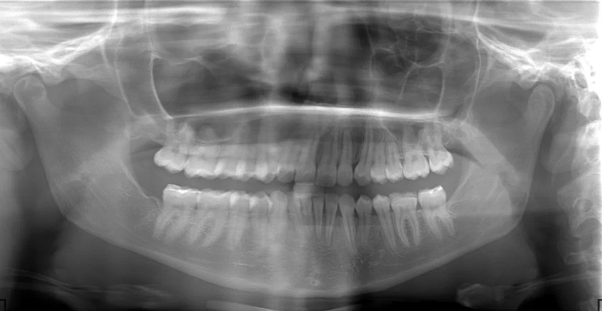
Это основной метод рентгенодиагностики в стоматологии, который помогает обнаружить даже те проблемы, о которых пациент пока не догадывается.Ортопантомограмма (ОПТГ) — это обзорный рентгеновский снимок, на котором одновременно видны обе челюсти, все зубы, корни и окружающая кость. Прицельный рентген показывает только один или два зуба — и не даёт полной картины. Пример: вас беспокоит «шестёрка», но рядом с ней может быть скрытый кариес на «пятерке», воспаление у соседнего корня или киста, не вызывающая боли.
Без ортопантомограммы врач рискует не заметить серьёзные проблемы, которые потом вернутся уже в виде боли, отёка или повторного лечения. Нет. Наоборот — панорамный снимок помогает не переплачивать, ведь он предотвращает ненужные процедуры. Он показывает, какие зубы требуют лечения, а какие — нет. То есть экономит и время, и средства.
В современной стоматологии это не «ещё одна платная услуга», а шаг к точному и спокойному лечению. В клинике Probel вы можете сделать панорамный сн
Оглавление

Что такое панорамный снимок зубов?

Это основной метод рентгенодиагностики в стоматологии, который помогает обнаружить даже те проблемы, о которых пациент пока не догадывается.Ортопантомограмма (ОПТГ) — это обзорный рентгеновский снимок, на котором одновременно видны обе челюсти, все зубы, корни и окружающая кость.

Панорамный снимок зубов сделать в Москве в клинике Пробел
Панорамный снимок зубов сделать в Москве в клинике Пробел

Панорамный снимок позволяет врачу:

  • оценить скрытые воспаления;
  • увидеть состояние зубов мудрости;
  • проверить плотность и объём костной ткани;
  • понять, как расположены корни и зачатки зубов.

Почему недостаточно «обычного снимка»?

Прицельный рентген показывает только один или два зуба — и не даёт полной картины. Пример: вас беспокоит «шестёрка», но рядом с ней может быть скрытый кариес на «пятерке», воспаление у соседнего корня или киста, не вызывающая боли.

Без ортопантомограммы врач рискует не заметить серьёзные проблемы, которые потом вернутся уже в виде боли, отёка или повторного лечения.

Ортопантомограмма в цифровой стоматологии Пробел на Ленинградском проспекте
Ортопантомограмма в цифровой стоматологии Пробел на Ленинградском проспекте

Когда обязательно делать панорамный снимок?

  • Перед имплантацией — чтобы оценить объём кости и расположение соседних структур.
  • При боли и пульпите — чтобы понять, насколько поражён зуб и нет ли воспаления в корне.
  • Перед удалением зуба мудрости — особенно если он не прорезался полностью или растёт под углом.
  • При планировании ортодонтического лечения — для оценки прикуса и положения всех зубов.
  • При первичной консультации, если давно не были у стоматолога.

А если жалоб нет? Это не лишняя трата?

Нет. Наоборот — панорамный снимок помогает не переплачивать, ведь он предотвращает ненужные процедуры. Он показывает, какие зубы требуют лечения, а какие — нет. То есть экономит и время, и средства.

В современной стоматологии это не «ещё одна платная услуга», а шаг к точному и спокойному лечению.

Плюсы ортопантомограммы для пациента

  • Всё сразу видно на одном снимке
  • Не нужно делать много отдельных рентгенов
  • Процедура занимает не более 3 минут
  • Безболезненно и безопасно
  • Помогает понять, почему именно эти зубы требуют лечения

Где сделать панорамный снимок зубов в Москве?

В клинике Probel вы можете сделать панорамный снимок зубов во время первичного приёма. Это удобно, быстро и позволяет врачу точно оценить ситуацию — даже если на первый взгляд всё выглядит «в порядке».

Диагностика и лечение зубов в стоматологии Пробел на Ленинградском проспекте в Москве
Диагностика и лечение зубов в стоматологии Пробел на Ленинградском проспекте в Москве

Заключение

Панорамный снимок — это не лишнее обследование, а ваша гарантия точной диагностики.

Он даёт врачу «широкий обзор», помогает спланировать лечение без сюрпризов и экономит ресурсы — как время, так и деньги.

Подробнее о возможностях диагностики — на странице «Диагностика зубов»

Или сразу записывайтесь на приём:
оставьте заявку на сайте — в ближайшее время мы вам перезвоним и поможем подобрать время.