Добавить в корзинуПозвонить
Найти в Дзене

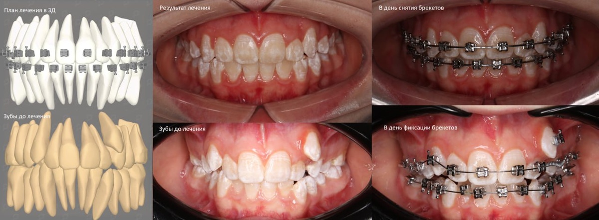
😱 Она отказывалась снимать брекеты

😱 Она отказывалась снимать брекеты… ☝🏻С этой пациенткой все было не так, как часто бывает – к брекетам она привыкла очень быстро. Брекеты не мешали, не натирали, не влияли на дикцию, не портили ее внешний вид. Ей нравилось, что прогресс лечения становился заметен очень быстро (самые впечатляющие перемещения зубов происходят в начале лечения, на этапе «нивелировки». В случае с индивидуальными брекетами это происходит раньше, чем на брекетах «из коробочки»). С каждой неделей ходить в брекетах ей становилось еще приятнее, и это замечали окружающие. 😊 😬 Когда пришел день снятия системы (обычно его ждут с нетерпением), пациентка переживала, что улыбка без брекетов будет не такой красивой, как с ними. Но от результата она была в восторге! 🎯 Чем мы помогли пациентке? • улучшили эстетику улыбки, • создали место в зубном ряду для всех зубов, • повысили уверенность в себе. 🤓 Всего лишь грамотное планирование, правильно подобранная аппаратура и в конечном счете прекрасная функциональна

😱 Она отказывалась снимать брекеты…

☝🏻С этой пациенткой все было не так, как часто бывает – к брекетам она привыкла очень быстро. Брекеты не мешали, не натирали, не влияли на дикцию, не портили ее внешний вид. Ей нравилось, что прогресс лечения становился заметен очень быстро (самые впечатляющие перемещения зубов происходят в начале лечения, на этапе «нивелировки». В случае с индивидуальными брекетами это происходит раньше, чем на брекетах «из коробочки»). С каждой неделей ходить в брекетах ей становилось еще приятнее, и это замечали окружающие. 😊

😬 Когда пришел день снятия системы (обычно его ждут с нетерпением), пациентка переживала, что улыбка без брекетов будет не такой красивой, как с ними. Но от результата она была в восторге!

🎯 Чем мы помогли пациентке?

• улучшили эстетику улыбки,

• создали место в зубном ряду для всех зубов,

• повысили уверенность в себе.

🤓 Всего лишь грамотное планирование, правильно подобранная аппаратура и в конечном счете прекрасная функциональная улыбка.

🕢 И все это за 1 год и 4 месяца. Стоимость такого лечения 325 000 руб.

🧮 А теперь математика: 325 000 рублей делим на 16 месяцев = 20 312 рублей в месяц.

Почему бы и нет?! 🫶🏻

-2