Добавить в корзинуПозвонить
Найти в Дзене
MY ORT

Пациент, который спешил: быстрая имплантация нижней челюсти по протоколу All-on-4

У вас бывало когда-нибудь такое, что необходимо лечить зубы, но жизненные обстоятельства: работа, командировки, нехватка времени — не позволяют пройти длительное лечение. Именно в этом случае на первый план выходит грамотное планирование и использование современных протоколов All-on-4 или All-on-6. Будучи врачом-стоматологом, хирургом, имплантологом, я хочу поделиться с вами реальной историей пациента, который обратился ко мне с просьбой восстановить зубы в максимально короткие сроки. Благодаря нашей слаженной командной работе и четкому плану, у нас получилось провести лечение в течение одной недели. Читайте далее, и, возможно, вы узнаете в этой истории свою ситуацию. Пациент обратился ко мне с жалобой на отсутствие зубов на нижней челюсти. Это вызывало у него дискомфорт при приёме пищи, затрудняло общение и сказывалось на качестве его жизни в целом. Основной трудностью стала невозможность начать лечение из-за постоянных командировок, так как для полноценного лечения требовались операт
Оглавление

У вас бывало когда-нибудь такое, что необходимо лечить зубы, но жизненные обстоятельства: работа, командировки, нехватка времени — не позволяют пройти длительное лечение. Именно в этом случае на первый план выходит грамотное планирование и использование современных протоколов All-on-4 или All-on-6.

Будучи врачом-стоматологом, хирургом, имплантологом, я хочу поделиться с вами реальной историей пациента, который обратился ко мне с просьбой восстановить зубы в максимально короткие сроки. Благодаря нашей слаженной командной работе и четкому плану, у нас получилось провести лечение в течение одной недели.

Читайте далее, и, возможно, вы узнаете в этой истории свою ситуацию.

Жалобы пациента

Пациент обратился ко мне с жалобой на отсутствие зубов на нижней челюсти. Это вызывало у него дискомфорт при приёме пищи, затрудняло общение и сказывалось на качестве его жизни в целом. Основной трудностью стала невозможность начать лечение из-за постоянных командировок, так как для полноценного лечения требовались оперативные меры и наличие свободного времени, чего у пациента не было.

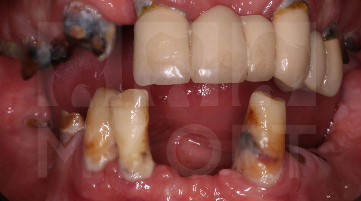
Ситуация ДО

Ситуация лечения
Ситуация лечения

План лечения

После осмотра полости рта и на основании диагностики (КТ), пациенту были предложены несколько вариантов лечения. Костные условия позволяли установить 6 имплантатов All-on-6 (все на шести), однако с учетом финансовых возможностей пациента было принято решение использовать протокол All-on-4 (все на четырех).

Компьтерная томография (КТ) пациента
Компьтерная томография (КТ) пациента

Был составлен план лечения:

  1. Удаление несостоятельных зубы на нижней челюсти;
  2. Изготовление хирургического шаблона;
  3. Установку четырёх имплантатов на нижнюю челюсть;
  4. Изготовление и фиксация адаптационного протеза.

Лечение

Первым этапом лечения стало комплексное обследование пациента. Перед хирургическим вмешательством была проведена санация полости рта и сданы всё лабораторные анализы, ЭКГ и измерено артериальное давление. Отклонений обнаружено не было. Все показатели были в норме.

Хирургический этап

После создания хирургического шаблона, мной были удалены все несостоятельные зубы на нижней челюсти и установлены четыре дентальных имплантата Neodent.

Четыре дентальных имплантата по протоколу All-on-4
Четыре дентальных имплантата по протоколу All-on-4

Ортопедический этап

Через 48 часов после имплантации пациенту был установлен адаптационный несъёмный протез. Операция была под общей анестезией с ИВЛ и прошла успешно.

С момента первого обращения пациента (до имплантации) прошло меньше недели.

Врачебный состав

Все этапы лечения были проведены в кратчайшие сроки благодаря слаженной работе команды врачей и высокой мотивации самого пациента.

Врачебный состав на операции:

  • стоматолог-хирург, имплантолог,
  • стоматолог-ортопед;
  • анестезиолог;
  • медсестра анестезиолога и ассистент стоматолога.

Реабилитация

Реабилитация пациента проходила без каких-либо осложнений. Пациент получил рекомендации по уходу за полостью рта, режиму питания и контролю за нагрузкой на протез.

Быстрое восстановление и отсутствие выраженного дискомфорта помогли ему в короткие сроки вернуться к привычному образу жизни.

ДО и ПОСЛЕ лечения

Результат лечения

Пациент остался доволен полученным результатом. Мы смогли добиться восстановления жевательной функции, была улучшена эстетика лица, и общее самочувствие пациента. Пациент отметил, что с новыми зубами ему стало удобнее и комфортнее, и что это особенно важно в его частых командировках.

В сентябре пациент обещал спланировать возможность продолжения лечения на верхней челюсти по тому же протоколу All-on-4 (все на четырех).

А проходила ли у вас имплантация по протоколу All-on-4? Поделитесь с нами в комментариях.

Автор статьи: Седнев Роман Валерьевич, врач-стоматолог, хирург, имплантолог