Добавить в корзинуПозвонить
Найти в Дзене
Viru Clinic

7 месяцев идеальной чистоты: как правильное обучение заменило частые визиты к гигиенисту

Сегодня мы делимся уникальным случаем, который наглядно демонстрирует революционный подход VIRU к профессиональной гигиене. Этот кейс — живое доказательство того, что правильное обучение пациента важнее самых дорогих процедур. 7 месяцев — именно столько времени прошло между визитами нашего пациента. И результат превзошел все ожидания! В большинстве клиник пациентам говорят: "Приходите на гигиену раз в 3-6 месяцев, мы вам почистим зубы". Но мы в VIRU знаем правду, которую не все готовы признать: Для здоровья полости рта недостаточно раз в полгода почистить зубы у стоматолога, и даже раз в 3 месяца недостаточно. Мы точно знаем: самый большой вклад в здоровье зубов делает сам человек своими руками дома, каждый день, дважды в день. Поэтому наша профессиональная гигиена — это не про порошок и ультразвук, не про "заполировать зубы и до свидания". Это прежде всего про то, чтобы научить пациента КАК и ЧЕМ эффективно почистить зубы дома. Наш пациент пришел после обычной гигиены в другой клиник
Оглавление

Сегодня мы делимся уникальным случаем, который наглядно демонстрирует революционный подход VIRU к профессиональной гигиене. Этот кейс — живое доказательство того, что правильное обучение пациента важнее самых дорогих процедур.

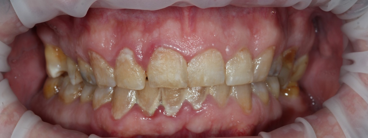
До
До
До
До

7 месяцев — именно столько времени прошло между визитами нашего пациента. И результат превзошел все ожидания!

Философия, которая меняет правила игры

В большинстве клиник пациентам говорят: "Приходите на гигиену раз в 3-6 месяцев, мы вам почистим зубы". Но мы в VIRU знаем правду, которую не все готовы признать:

Для здоровья полости рта недостаточно раз в полгода почистить зубы у стоматолога, и даже раз в 3 месяца недостаточно.

Мы точно знаем: самый большой вклад в здоровье зубов делает сам человек своими руками дома, каждый день, дважды в день.

Поэтому наша профессиональная гигиена — это не про порошок и ультразвук, не про "заполировать зубы и до свидания". Это прежде всего про то, чтобы научить пациента КАК и ЧЕМ эффективно почистить зубы дома.

История пациента: от стандартного подхода к революции

Наш пациент пришел после обычной гигиены в другой клинике, которую делал всего несколько месяцев назад. Но состояние полости рта было далеко от идеального — налет, воспаление десен, проблемные зоны, которые явно не очищались должным образом дома.

Стандартный подход: почистить, заполировать, назначить визит через 3 месяца.

Подход VIRU: выяснить, почему домашняя гигиена не работает, и научить делать ее правильно.

Революционный метод доктора Саакян

Кристина Саакян, наш ведущий стоматолог-гигиенист, применила комплексный образовательный подход:

Этап 1: Диагностика реальных проблем

С помощью индикации налета выявили все зоны, которые пациент не может эффективно очистить дома. Стало ясно, где именно кроются основные проблемы.

Этап 2: Анализ техники домашней гигиены

Оказалось, что пациент использовал неподходящие инструменты и неправильную технику чистки. Годы неэффективных движений привели к хроническому накоплению налета в определенных зонах.

Этап 3: Индивидуальный подбор инструментов

  • Подходящая по размеру зубная щетка
  • Монопучковая щетка для проблемных участков
  • Правильная зубная нить
  • Дополнительные средства для конкретной ситуации

Этап 4: Практическое обучение

Самый важный этап! Пациент под руководством доктора освоил:

  • Правильные движения щеткой
  • Технику использования монопучковой щетки
  • Эффективную работу с зубной нитью
  • Последовательность всех этапов домашней гигиены

Этап 5: Контрольная проверка

Повторная индикация налета показала, насколько эффективна правильная техника. Проблемные зоны очищались практически полностью!

Этап 6: Профессиональная чистка

Только после обучения была проведена профессиональная чистка по швейцарскому протоколу GBT.

После
После
После
После

Результат, который говорит сам за себя

Между визитами прошло 7 месяцев — это в два с лишним раза больше стандартного интервала!

И что мы увидели при повторном визите?

  • ✅ Минимальное количество мягкого налета
  • ✅ Здоровые десны без признаков воспаления
  • ✅ Отсутствие зубного камня
  • ✅ Идеальное состояние проблемных зон
  • ✅ Уверенность пациента в правильности домашнего ухода

Для сравнения: обычно после стандартной гигиены без обучения состояние полости рта ухудшается уже через 2-3 месяца.

Что делает подход VIRU уникальным

Мы не просто чистим зубы — мы меняем жизнь пациентов:

🎯 Образование вместо процедур — учим правильно ухаживать за зубами дома

🎯 Индивидуальный подбор инструментов под конкретную анатомию и проблемы

🎯 Практическое обучение — не рассказываем, а показываем на практике

🎯 Долгосрочный результат — месяцы идеального состояния вместо недель

🎯 Экономия для пациента — реже визиты, лучше результат

Доктор

Кристина Саакян — стоматолог-гигиенист, которая изменила представление сотен пациентов о гигиене полости рта.

Кристина убеждена: "Моя задача — не заработать на частых визитах пациента, а научить его так ухаживать за зубами дома, чтобы он приходил ко мне как можно реже. И приходил с идеальными зубами!"

Этот подход требует больше времени и знаний от врача, но дает невероятные результаты для пациентов.

💡 Готовы изменить свой подход к гигиене полости рта?

Приходите на образовательную гигиену к Кристине Саакян в VIRU!

Это не обычная чистка зубов — это инвестиция в долгосрочное здоровье вашей улыбки.

Один визит = месяцы идеального состояния зубов

Записывайтесь к доктору Кристине Саакян — и узнайте, что такое настоящая профессиональная гигиена!

Официальный сайт стоматологической клиники в Санкт-Петербурге ViRU

Наш соцсети: Телеграм. Вконтакте

Телефон: +7 (812) 565-35-26