Добавить в корзинуПозвонить
Найти в Дзене
Viru Clinic

Как индивидуальный подход к гигиене превратил проблемную улыбку в образец чистоты

Сегодня мы рассказываем историю, которая показывает истинную суть профессиональной гигиены в VIRU: это не просто механическая чистка зубов, а комплексное обучение пациента правильному домашнему уходу. К нам обратился пациент с типичной проблемой: несмотря на регулярную чистку зубов дома, налет продолжал скапливаться в определенных зонах, создавая не только эстетический дискомфорт, но и риски для здоровья полости рта. Саакян Кристина Ваагновна начала прием с тщательной диагностики. На первом этапе были сделаны фотографии исходной ситуации — важный шаг для последующего сравнения результатов. Затем последовал самый показательный этап: индикация налета. С помощью специального красителя мы выявили все участки на зубах с затрудненной гигиеной. Результат был наглядным: основные проблемные области располагались в области передних зубов из-за особенностей прикуса пациента. Эти зоны оказались практически недоступны для обычной щетки при стандартной технике чистки. Это то, что кардинально отлича
Оглавление

Сегодня мы рассказываем историю, которая показывает истинную суть профессиональной гигиены в VIRU: это не просто механическая чистка зубов, а комплексное обучение пациента правильному домашнему уходу.

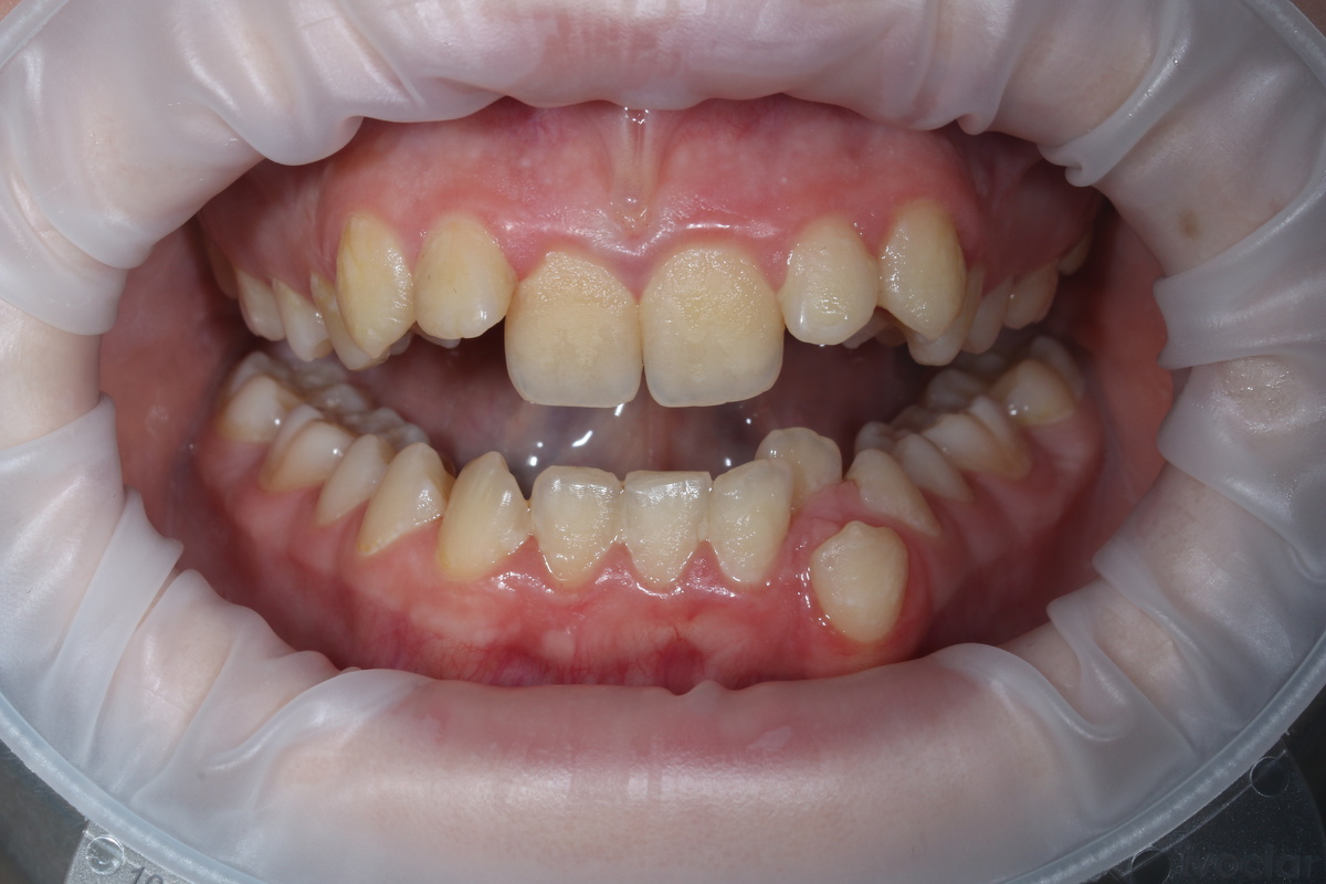
До
До
После
После

К нам обратился пациент с типичной проблемой: несмотря на регулярную чистку зубов дома, налет продолжал скапливаться в определенных зонах, создавая не только эстетический дискомфорт, но и риски для здоровья полости рта.

Диагностика — ключ к пониманию проблемы

Саакян Кристина Ваагновна начала прием с тщательной диагностики. На первом этапе были сделаны фотографии исходной ситуации — важный шаг для последующего сравнения результатов.

Затем последовал самый показательный этап: индикация налета. С помощью специального красителя мы выявили все участки на зубах с затрудненной гигиеной.

Результат был наглядным: основные проблемные области располагались в области передних зубов из-за особенностей прикуса пациента. Эти зоны оказались практически недоступны для обычной щетки при стандартной технике чистки.

Индивидуальный подбор — основа успеха

Это то, что кардинально отличает нашу работу от стандартной "чистки зубов" в обычных клиниках.

В этот же прием мы тщательно подобрали средства индивидуальной гигиены:

Зубную щетку, идеально соразмерную зубам пациента — размер головки, жесткость щетины, форма — все имеет значение

Монопучковую щетку — без которой в данной конкретной ситуации качественный уход за зубами НЕВОЗМОЖЕН. Именно этот инструмент позволяет добраться до тех самых проблемных зон, которые выявила индикация

Обучение в действии

Далее последовал практический этап: мы обучили пациента правильной технике использования подобранных инструментов. Показали, как держать щетку, под каким углом работать, какие движения наиболее эффективны для данного конкретного случая.

Контрольная проверка стала самым убедительным моментом приема: после обучения мы повторно окрасили зубы индикатором и убедились, насколько эффективны правильно подобранные щетки при правильных движениях.

Разница была поразительной — проблемные зоны очищались практически полностью!

Профессиональное удаление отложений

Только после того, как пациент освоил правильную технику домашнего ухода, мы приступили к профессиональному удалению мягкого налета и зубного камня.

Используя современное швейцарское оборудование и протокол GBT, Кристина Ваагновна тщательно очистила все поверхности зубов, уделив особое внимание тем зонам, которые были выявлены на этапе диагностики.

Результат, который впечатляет

Финальные фотографии зубов после гигиены говорят сами за себя: идеальная чистота, здоровый блеск эмали, отсутствие воспалений десен.

Но главный результат — это новые знания и навыки пациента. Теперь он точно знает, как поддерживать такую чистоту дома, какими инструментами пользоваться и на что обращать особое внимание.

Философия VIRU: образование прежде всего

Мы в VIRU знаем, что для здоровья полости рта недостаточно раз в полгода почистить зубы у стоматолога, и даже раз в 3 месяца недостаточно.

Мы точно знаем: самый большой вклад в здоровье зубов делает сам человек своими руками дома каждый день.

Поэтому наша профессиональная гигиена — это не просто процедура с ультразвуком и полировочными пастами. Это комплексная образовательная программа, где мы учим пациента КАК и ЧЕМ эффективно ухаживать за зубами в домашних условиях.

Автор преображения

Саакян Кристина Ваагновна — стоматолог-гигиенист клиники VIRU, эксперт по индивидуальному подбору средств гигиены и обучению пациентов. Работает по швейцарскому протоколу GBT, используя современные технологии диагностики и лечения.

Кристина Ваагновна считает, что каждый пациент уникален, и подход к гигиене должен быть строго индивидуальным — от выбора щетки до техники чистки.

💡 Хотите научиться правильно ухаживать за своими зубами?

Приходите на комплексную профессиональную гигиену в VIRU! Мы не просто очистим ваши зубы — мы научим вас поддерживать идеальную гигиену каждый день.

Индивидуальный подход + современные технологии + образование = здоровая улыбка на долгие годы!

Записывайтесь на прием к Саакян Кристине Ваагновне — и откройте для себя новый уровень заботы о здоровье полости рта!

Официальный сайт стоматологической клиники в Санкт-Петербурге ViRU

Наш соцсети: Телеграм. Вконтакте

Телефон: +7 (812) 565-35-26