Найти в Дзене

Распространенные заблуждения об МРТ: чему верить, а чему — нет❔

1️⃣ МРТ можно проводить без назначения врача В действительности это правда. МР-томограф в период проведения исследований не оказывает вредного воздействия на организм человека, поэтому пациент может прийти и обратиться в любой диагностический центр для проведения МРТ и, даже без направления от лечащего/участкового врача. Но такое “самовольное” исследование в редких случаях несет какую-то диагностическую ценность, так как области исследования крайне обширны. Собственно поэтому, пациенту перед исследованием следует обратиться к врачу- специалисту для уточнения области и вида исследования. В исключительных случаях, при самостоятельном обращении может быть выявлена какого-либо рода патология, тем самым возможности терапевтического окна и как следствие результаты терапии могут быть наиболее благоприятными. 2️⃣ После проведения МРТ можно сразу поставить окончательный диагноз и, согласно диагноза, назначить лечение МРТ в медицинской практике трактуется как вид диагностического исследования и

1️⃣ МРТ можно проводить без назначения врача

В действительности это правда. МР-томограф в период проведения исследований не оказывает вредного воздействия на организм человека, поэтому пациент может прийти и обратиться в любой диагностический центр для проведения МРТ и, даже без направления от лечащего/участкового врача. Но такое “самовольное” исследование в редких случаях несет какую-то диагностическую ценность, так как области исследования крайне обширны. Собственно поэтому, пациенту перед исследованием следует обратиться к врачу- специалисту для уточнения области и вида исследования. В исключительных случаях, при самостоятельном обращении может быть выявлена какого-либо рода патология, тем самым возможности терапевтического окна и как следствие результаты терапии могут быть наиболее благоприятными.

2️⃣ После проведения МРТ можно сразу поставить окончательный диагноз и, согласно диагноза, назначить лечение

МРТ в медицинской практике трактуется как вид диагностического исследования и, как следствие, является дополнительным методом исследования, которая дополняет информацию о заболевании, а не полностью дает о нем информацию. Окончательный диагноз ставится на основе всех видов диагностических исследований, которые назначил врач, клинической картины пациента, а также анамнеза (истории) заболевания. После чего врач-специалист должен разрабатывать индивидуальную терапевтическую стратегию.

3️⃣ При головной боли, надо обязательно сделать МРТ

Действительно, зачастую приходят на МРТ пациенты, страдающие головной болью. Однако, в подавляющих случаях, МРТ не дает каких-то неблагоприятных результатов. Такая головная боль, как правило, связана с психоэмоциональными или психофизиологическими особенностями как организма, так и образа жизни (стресс, переутомление, несоблюдение режима труда и отдыха и т.д.). Но стоит отметить, что проведение МРТ даст дополнительную информацию Вам о состояние головного мозга  и тем самым “успокоит” Вас.

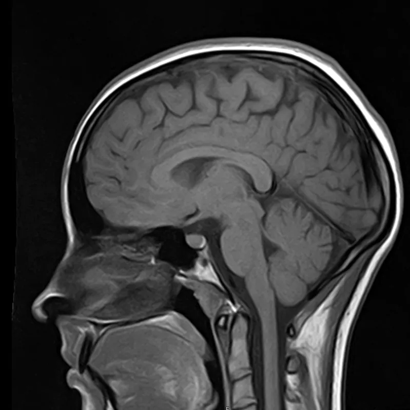
                                                                 Головная боль на МРТ
Головная боль на МРТ
                                                              Головная боль на МРТ
Головная боль на МРТ
                                                             Головная боль на МРТ
Головная боль на МРТ

4️⃣ МРТ наносит пагубное воздействие на организм

Этот миф передается сквозь года и как показала клиническая практика и многочисленные исследования ученых, даже спустя многие десятилетия у пациентов не возникает каких-либо заболеваний, которые могут быть связаны с МРТ. Само исследование базируется на феномене магнитного резонанса и ловит лишь отклики от водородных частиц нашего организма. Такой феномен, а также приборы считывающие отклики от частиц организма не продуцируют ионизирующие гамма-лучи. Так, Вы можете спокойно делать МРТ, не опасаясь за свое здоровье.

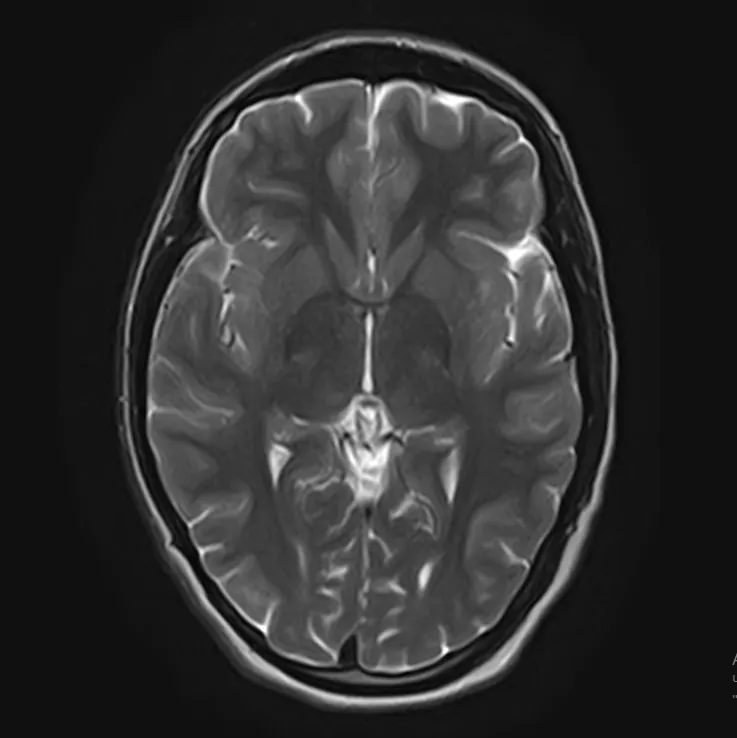
                                                                     Мифы про МРТ
Мифы про МРТ

5️⃣ При наличии любых металлических конструкций в теле проведение МРТ невозможно

Отнюдь это не всегда так, данный вопрос зависит лишь от типа и сплава металла из которых сделан имплантат/металлическая конструкция. Современные штифты, скобы, протезы, стенты и другие, сделаны из специальных сплавов или полимерных материалов, которые никак не повлияют на проведение МРТ, а уж тем более не примагнитятся к томографу. Единственное на что может повлиять имплантат/металлическая конструкция это лишь на степень визуализации той области, в которой он стоит. Стоит отметить, что при наличии вышеуказанных вещей в организме, нужно сообщить об этом врачу.

6️⃣ У контрастного агента большой спектр побочных действий

При проведении исследований по поводу подозрений определенных патологий МРТ проводят с введением контрастного вещества на основе металла гадолиния. Такой подход позволяет визуализировать дефекты накопления контраста, места повышенного накопления и другие варианты, которые являются очень ценными при подозрении на новообразования добро- и злокачественные, а также помогает выявить различные сосудистые патологии. Введение контраста противопоказана лишь в двух случаях: наличие почечных патологий и наличие аллергии.  В остальном, исследование безопасно и не вызывает никаких побочных эффектов.