Добавить в корзинуПозвонить
Найти в Дзене
MY ORT

Имплантация без боли: как я восстановил зуб после глубокого кариеса

Если вы потеряли зуб и переживаете, что его восстановление будет долгим и неприятным, то не стоит волноваться. Сейчас восстановить утраченный зуб можно быстро и безболезненно с максимальным комфортом для пациента. В этом клиническом случае я, врач-стоматолог-ортопед, гнатолог, расскажу вам, как проходила имплантация у моей пациентки, которая столкнулась с потерей зуба из-за глубокого кариеса. Мы пошагово прошли весь путь: от первичной консультации до установки готовой коронки — без слепков и боли. А что у нас в итоге получилось — читайте далее. Пациентка, 28 лет, обратилась ко мне с просьбой восстановить утраченный зуб, вследствие глубокого кариеса корня. Кроме того, во время осмотра на соседнем зубе также был обнаружен кариес, требующий срочного лечения. На первичной консультации я провел осмотр и составил пошаговый план лечения: Первым шагом стало лечение кариеса на соседнем зубе. Важно было вылечить кариес до начала протезирования, чтобы избежать дополнительного вмешательства после
Оглавление

Если вы потеряли зуб и переживаете, что его восстановление будет долгим и неприятным, то не стоит волноваться. Сейчас восстановить утраченный зуб можно быстро и безболезненно с максимальным комфортом для пациента.

В этом клиническом случае я, врач-стоматолог-ортопед, гнатолог, расскажу вам, как проходила имплантация у моей пациентки, которая столкнулась с потерей зуба из-за глубокого кариеса. Мы пошагово прошли весь путь: от первичной консультации до установки готовой коронки — без слепков и боли.

А что у нас в итоге получилось — читайте далее.

Жалобы пациента

Пациентка, 28 лет, обратилась ко мне с просьбой восстановить утраченный зуб, вследствие глубокого кариеса корня. Кроме того, во время осмотра на соседнем зубе также был обнаружен кариес, требующий срочного лечения.

Ситуация ДО

-2

План лечения

На первичной консультации я провел осмотр и составил пошаговый план лечения:

  1. Диагностика состояния полости рта (показания к имплантации);
  2. Лечение кариеса на соседнем зубе;
  3. Установка имплантата;
  4. Цифровое 3D-сканирование вместо традиционных слепков;
  5. Изготовление и установка коронки на имплантат.

Лечение

Терапевтический этап

Первым шагом стало лечение кариеса на соседнем зубе. Важно было вылечить кариес до начала протезирования, чтобы избежать дополнительного вмешательства после установки коронки.

Ортопедический этап

Далее пациентке был установлен имплантат. Я сразу закрыл его десной, чтобы он не вызывал боли и дискомфорта у пациентки. В течение 3-х месяцев происходило приживление имплантата в костной ткани. За это время она уже завершила лечение кариеса.

По истечении этого срока я провел цифровое 3D-сканирование зубов. Благодаря чему отпала необходимость в традиционных слепках с
использованием большого количества материалов, что существенно повышало
комфорт пациента и минимизировало риск ошибок. На фото виден специальный серый
сканмаркер — он помогает точно передать положение имплантата в лабораторию для изготовления индивидуальной коронки.

Сканмаркер
Сканмаркер

Готовая коронка была установлена всего через неделю после сканирования. С помощью артикуляционной бумаги (копирки) была проведена проверка окклюзионных контактов — все параметры соответствовали норме. Коронка установлена с винтовой фиксацией. Вход в шахту абатмента надёжно закрывается пломбой и зуб не отличить от родного.

Вход в шахту абатмента
Вход в шахту абатмента
Коронка установлена и закрыта пломбой
Коронка установлена и закрыта пломбой

Абатмент – это деталь, которая вкручивается в имплантат, а на нее сверху устанавливается коронка.

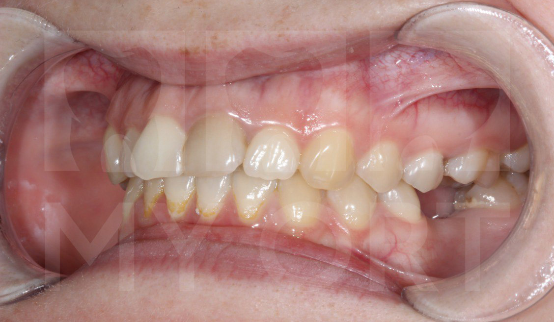
Реабилитация и результат

Восстановительный период после имплантации прошёл спокойно и без осложнений. Пациентка не испытывала никакой боли.

Посмотрите, какой результат у нас получился:

Обратите внимание на побеление десны — это признак плотного прилегания ткани к коронке, что предотвращает попадание пищи под неё. Такое побеление — нормальная реакция, которая обычно проходит в течение 5 минут после установки коронки. Фото сделано сразу после процедуры, поэтому побеление хорошо заметно.
Обратите внимание на побеление десны — это признак плотного прилегания ткани к коронке, что предотвращает попадание пищи под неё. Такое побеление — нормальная реакция, которая обычно проходит в течение 5 минут после установки коронки. Фото сделано сразу после процедуры, поэтому побеление хорошо заметно.

Пациентка получила полностью восстановленную жевательную функцию и высокоэстетичную реставрацию, неотличимую от естественного зуба по форме и цвету. Все этапы лечения проводились с применением минимально инвазивных методик в условиях максимального комфорта для пациентки.

А благодаря лечению кариеса на соседнем зубе до этапа протезирования нам удалось сохранить максимум здоровых тканей.

Восстанавливали ли вы утраченный зуб? Как у вас это происходило? Поделитесь в комментариях.

Автор статьи: Кузнецов Артем Алексеевич. Врач-стоматолог ортопед, гнатолог