Найти в Дзене

Полное изменение прикуса коронками - комплексное лечение

Мужчина 60 лет долго собирался заняться лечением зубов. Проблем с зубами накопилось много, вид был некрасивый, десны воспалялись, был неприятный запах, неудобно было жевать, так как нет боковых зубов. По совету знакомых он обратился к стоматологу-ортопеду С.В. Цукору в Семейный стоматологический центр "Диал-Дент". На консультации была выполнена компьютерная томография зубов: Нужно было убрать старый мостовидный протез, удалить несостоятельные зубы, пролечить с микроскопом все, что можно сохранить, установить импланты для замещения отсутствующих зубов и закрыть все зубы коронками для создания правильного по высоте прикуса, чтобы сохранить здоровье суставов. Все этапы лечения будут проводиться специалистами Семейного стоматологического центра "Диал-Дент" - здесь собрана команда врачей, умеющих решать сложные случаи и проводить комплексное лечение любой сложности. 1. На всех этапах лечения пациент оставался с зубами - на передних зубах всегда были временные коронки, чтобы пациент мог прод
Оглавление

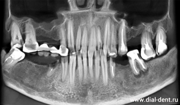
Мужчина 60 лет долго собирался заняться лечением зубов. Проблем с зубами накопилось много, вид был некрасивый, десны воспалялись, был неприятный запах, неудобно было жевать, так как нет боковых зубов. По совету знакомых он обратился к стоматологу-ортопеду С.В. Цукору в Семейный стоматологический центр "Диал-Дент".

На консультации была выполнена компьютерная томография зубов:

КТ зубов до лечения
КТ зубов до лечения

Нужно было убрать старый мостовидный протез, удалить несостоятельные зубы, пролечить с микроскопом все, что можно сохранить, установить импланты для замещения отсутствующих зубов и закрыть все зубы коронками для создания правильного по высоте прикуса, чтобы сохранить здоровье суставов.

вид зубов при обращении
вид зубов при обращении

Все этапы лечения будут проводиться специалистами Семейного стоматологического центра "Диал-Дент" - здесь собрана команда врачей, умеющих решать сложные случаи и проводить комплексное лечение любой сложности.

Комплексный план лечения:

  1. Профессиональная гигиена зубов (гигиенист).
  2. Лечение каналов зубов с микроскопом (стоматолог-эндодонтист).
  3. Определение физиологичной высоты прикуса (гнатолог).
  4. Сканирование зубов, моделирование временных коронок для поддержания физиологичной высоты прикуса (стоматолог-ортопед).
  5. Удаление старого мостовидного протеза и первый этап временного протезирования (стоматолог-ортопед).
  6. Удаление 9 зубов в седации (хирург-имплантолог и врач-анестезиолог). Второй этап временного протезирования - коронки длительного ношения (стоматолог-ортопед и зубной техник).
  7. Через 3 месяца после удаления повторное КТ зубов, планирование имплантации - уточнение объема костной пластики, изготовление хирургических шаблонов (хирург-имплантолог и зубной техник).
  8. Демонтаж временных коронок, установка 13 имплантов Astra Tech в седации. После имплантации установка временных коронок длительного ношения (хирург-имплантолог, врач-анестезиолог, стоматолог-ортопед).
  9. Через 6 месяцев после установки имплантов установка формирователей десны, десневая пластика. В седации. До и после операции демонтаж и монтаж временных коронок длительного ношения (хирург-имплантолог, врач-анестезиолог, стоматолог-ортопед).
  10. Через 2 месяца протезирование на имплантах и своих зубах керамическими коронками - 28 коронок (стоматолог-ортопед и зубной техник).
  11. Составление индивидуального плана гигиенической поддержки и профилактических осмотров (гигиенист и стоматолог-ортопед).
установка зубных имплантов в седации
установка зубных имплантов в седации

Особенности лечения

1. На всех этапах лечения пациент оставался с зубами - на передних зубах всегда были временные коронки, чтобы пациент мог продолжать активную жизнь.

2. Все хирургические этапы были выполнены в седации под контролем врача-анестезиолога, так как у пациента наблюдалось неконтролируемое эпизодическое повышение давления, в основном на стресс.

3. Прикус исправлен только за счет ортопедии - протезирования всех зубов коронками. Физиологичные коронки восстановили нормальную высоту прикуса, при которой суставы работают без перегрузки.

планирование комплексного лечения проводит стоматолог-ортопед С.В. Цукор
планирование комплексного лечения проводит стоматолог-ортопед С.В. Цукор

Результат лечения

Пациента впечатлил грамотный и вдумчивый подход врачей на каждом этапе – от первичной диагностики до финальной установки керамических коронок из диоксида циркония. Атмосфера взаимного доверия между пациентом и специалистами, а также дисциплинированное выполнение всех рекомендаций стали залогом успеха этой сложной работы, которая заняла всего полтора года.

Фотографии до и после лечения лучше всего иллюстрируют проделанную работу:

комплексное протезирование зубов: удаление, лечение с микроскопом, имплантация, установка керамических коронок
комплексное протезирование зубов: удаление, лечение с микроскопом, имплантация, установка керамических коронок
комплексное протезирование зубов: удаление, лечение с микроскопом, имплантация, установка керамических коронок
комплексное протезирование зубов: удаление, лечение с микроскопом, имплантация, установка керамических коронок
комплексное протезирование зубов - верхняя челюсть до и после лечения
комплексное протезирование зубов - верхняя челюсть до и после лечения
комплексное протезирование зубов - нижняя челюсть до и после лечения
комплексное протезирование зубов - нижняя челюсть до и после лечения
комплексное протезирование зубов - вид справа до и после лечения
комплексное протезирование зубов - вид справа до и после лечения
комплексное протезирование зубов - вид слева до и после лечения
комплексное протезирование зубов - вид слева до и после лечения
комплексное протезирование зубов - улыбка до и после лечения
комплексное протезирование зубов - улыбка до и после лечения

После полного протезирования зубов мужчина стал выглядеть моложе, улучшилось общее самочувствие за счет правильного прикуса - ушло напряжение в шее, в жевательных мышцах.

Если у Вас накопились стоматологические проблемы, и Вы не знаете с чего начать - приходите в Семейный стоматологический центр "Диал-Дент" и мы поможем!

Записаться на консультацию можно по телефону +7 (495) 032-23-64.