Найти в Дзене
Доктор Левин

Ретейнер и капа: необходимая комбинация или каприз ортодонта

Если после снятия брекетов во рту опять нет места😢 После снятия брекетов установка ретейнеров — различных устройств, которые фиксируют зубы в достигнутом положении, обязательна. Линейка ретенционных аппаратов представлена пластинами, капами, дугами, шинами. Выбор зависит от возраста, ортодонтической ситуации и личных предпочтений. Нередко врач назначает комбинацию из разных по виду ретейнеров, чтобы максимально сохранить результат ортодонтического лечения. 👉Ретейнер — обычно несъемный аппарат в виде проволоки. Его крепят на обратную сторону зубов с помощью стоматологического клея от клыка до клыка на верхней или нижней челюсти. Фиксация и снятие такого ретейнера проходит в кабинете ортодонта. Сроки ношения от 5 до 10 лет, но в целом не ограничены, если устройство не мешает и выполняет свои функции. 👉Ретенционная капа — разновидность съемного ретейнера, изготавливается из прозрачного пластика или силикона, повторяя силуэт всего зубного ряда. Изготавливается по индивидуальному слепк
Оглавление

Если после снятия брекетов во рту опять нет места😢

Нужны ли капы, если есть ретейнер
Нужны ли капы, если есть ретейнер

После снятия брекетов установка ретейнеров — различных устройств, которые фиксируют зубы в достигнутом положении, обязательна. Линейка ретенционных аппаратов представлена пластинами, капами, дугами, шинами. Выбор зависит от возраста, ортодонтической ситуации и личных предпочтений. Нередко врач назначает комбинацию из разных по виду ретейнеров, чтобы максимально сохранить результат ортодонтического лечения.

Что такое ретейнер и ретенционная капа

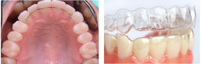
👉Ретейнер — обычно несъемный аппарат в виде проволоки. Его крепят на обратную сторону зубов с помощью стоматологического клея от клыка до клыка на верхней или нижней челюсти.

Фиксация и снятие такого ретейнера проходит в кабинете ортодонта. Сроки ношения от 5 до 10 лет, но в целом не ограничены, если устройство не мешает и выполняет свои функции.

Несъемный ретейнер и ретенционная капа
Несъемный ретейнер и ретенционная капа

👉Ретенционная капа — разновидность съемного ретейнера, изготавливается из прозрачного пластика или силикона, повторяя силуэт всего зубного ряда.

Изготавливается по индивидуальному слепку, иногда требует привыкания для хорошей дикции. Во время еды и чистки зубов капу снимают. Сроки ношения до 5 лет. Возможны варианты режима ношения: круглосуточный, ночной или не меньше определенного количества часов в сутки.

В каких случаях капу назначают вместе с ретейнером

Обычно несъемный металлический ретейнер устанавливают в переднем отделе зубного ряда от клыка до клыка на одной или обеих зубных дугах. При необходимости ретейнер может включать моляры или иметь меньшую протяженность (только резцы) — в зависимости от ситуации.

❗Для верхней дуги берут во внимание глубину прикуса, чтобы избежать контакта нижних резцов с верхним ретейнером. Если это невозможно, то верхний несъемный ретейнер заменяют другими альтернативными конструкциями.

Комбинировать разные модели ретейнеров значит эффективно сохранять результаты лечения
Комбинировать разные модели ретейнеров значит эффективно сохранять результаты лечения

👉Поэтому ортодонт может назначить для фиксации зубов верхней челюсти ретенционную капу. При этом она удерживает на месте весь зубной ряд, в отличие от металлического несъемного ретейнера.

В таком случае ретенционный период будет проходить при помощи комбинации двух разных ретейнеров: съемным — капой и несъемным — металлическим ретейнером.

Ретенционная капа не назначается при лечении открытого прикуса, так как увеличивает его

Как носить ретенционную капу в комбинации с несъемным ретейнером

Режим ношения капы оговаривается врачом и не зависит от наличия или отсутствия фиксированного металлического ретейнера.

Если капа надевается легко, значит зубы на своих местах
Если капа надевается легко, значит зубы на своих местах

Главная особенность ретенционной капы — это формирование графика перерывов в ношении. Как только ортодонт разрешит делать перерывы в ношении капы, необходимо ориентироваться на собственные ощущения:

▶️если после рекомендованного перерыва капа легко надевается на зубы, значит продолжительность перерывов можно увеличивать,

▶️если капа устанавливается и снимается с трудом, то время перерыва следует уменьшить или вернуться к первоначальному режиму ношения капы.

🔍Читайте также

1. Лечение неправильного прикуса

2. Гигиена зубов

3. Исправление прикуса на брекет-системах

🏥 ЦПС «Доктор Левин»

Задать вопрос ✍️ WhatsApp

Позвонить 📞 +7 (495) 431-91-76

Мы рядом:

📌 Москва, ул. Льва Толстого, 5с1 (Парк Культуры)

📌 Москва, проспект Вернадского, 8А (Университет)