Добавить в корзинуПозвонить
Найти в Дзене

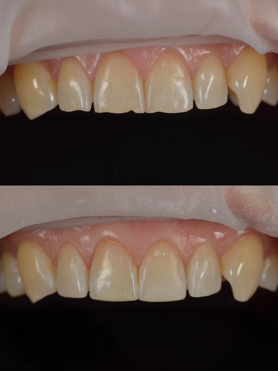
📍Когда трещит не только терпение, но и зубы

📍Когда трещит не только терпение, но и зубы! #альфастоматологиякейс Сначала ты просто не замечаешь. Подумаешь, «немного скололся край» — бывает. Потом он царапает язык. Потом взгляд. Потом самолюбие. А потом ты злишься. Не на зуб. На себя. Реставрировали 3 передних зуба. Те самые, которые «в кадре» каждый день — на работе, в кафе, при разговоре. Восстановили режущий край с ювелирной точностью — так, будто ничего и не было. Материал — Enamel. А выглядит как настоящее. Даже лучше. ⏰ Время — всего 40 минут. 💎 Эффект — как будто вернули годы назад. Иногда перемены начинаются с кромки зуба. А дальше — только вверх.

📍Когда трещит не только терпение, но и зубы!

#альфастоматологиякейс

Сначала ты просто не замечаешь.

Подумаешь, «немного скололся край» — бывает.

Потом он царапает язык. Потом взгляд. Потом самолюбие.

А потом ты злишься. Не на зуб. На себя.

Реставрировали 3 передних зуба. Те самые, которые «в кадре» каждый день — на работе, в кафе, при разговоре. Восстановили режущий край с ювелирной точностью — так, будто ничего и не было. Материал — Enamel. А выглядит как настоящее. Даже лучше.

⏰ Время — всего 40 минут.

💎 Эффект — как будто вернули годы назад.

Иногда перемены начинаются с кромки зуба.

А дальше — только вверх.