Добавить в корзинуПозвонить
Найти в Дзене
Стоматология ONE

Имплантация

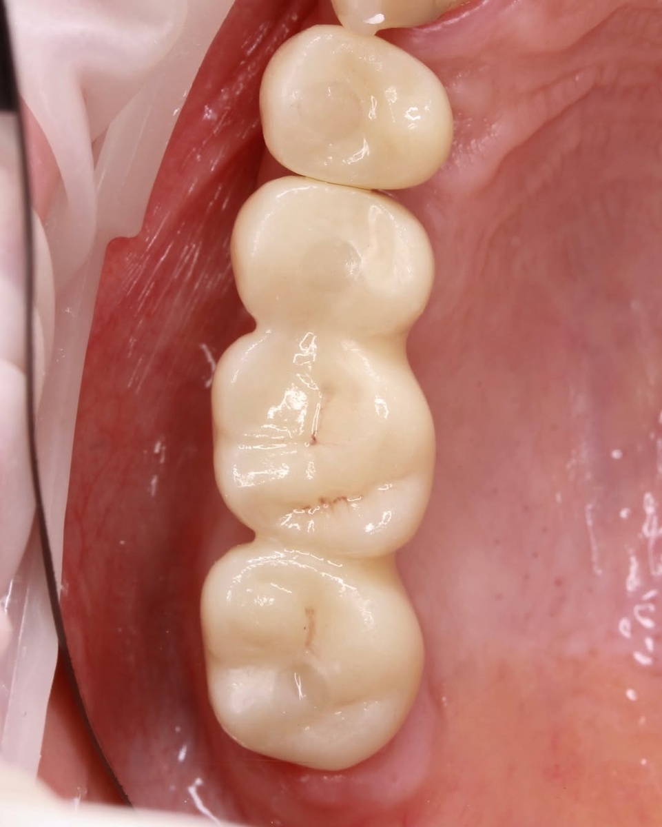
Каждый раз, когда пациент решается на имплантацию, он делает шаг к совершенно новому качеству жизни 😃 В этом кейсе речь идет о восстановлении жевательной функции и эстетики улыбки с помощью установки трёх имплантов и процедуры синус-лифтинга. На первом этапе мы создали прочную основу для будущих зубов, тщательно выверяя каждый миллиметр 🤏🏻 Эта работа требует точности, профессионализма и глубокой вовлеченности всей команды 🔝 Через четыре месяца после установки имплантов наступает волнующий момент фиксации коронок. Этот момент всегда волнителен, ведь именно теперь пациент видит конечный результат и может полностью насладиться всеми преимуществами: ▪️Полноценная жевательная функция ▪️Естественный вид зубов, которые невозможно отличить от настоящих ▪️Уверенная и сияющая улыбка Наш врач, с безупречным вниманием к деталям, завершил процесс фиксации коронок. Результаты впечатляют даже нас, профессионалов!  Но самое главное — это эмоции пациента, его искренняя благодарность и чувст

-2

-3

Каждый раз, когда пациент решается на имплантацию, он делает шаг к совершенно новому качеству жизни 😃

В этом кейсе речь идет о восстановлении жевательной функции и эстетики улыбки с помощью установки трёх имплантов и процедуры синус-лифтинга.

На первом этапе мы создали прочную основу для будущих зубов, тщательно выверяя каждый миллиметр 🤏🏻

Эта работа требует точности, профессионализма и глубокой вовлеченности всей команды 🔝

Через четыре месяца после установки имплантов наступает волнующий момент фиксации коронок. Этот момент всегда волнителен, ведь именно теперь пациент видит конечный результат и может полностью насладиться всеми преимуществами:

▪️Полноценная жевательная функция

▪️Естественный вид зубов, которые невозможно отличить от настоящих

▪️Уверенная и сияющая улыбка

Наш врач, с безупречным вниманием к деталям, завершил процесс фиксации коронок. Результаты впечатляют даже нас, профессионалов! 

Но самое главное — это эмоции пациента, его искренняя благодарность и чувство уверенности, которое мы видим теперь в каждом его взгляде 😍 Мы гордимся тем, что смогли подарить человеку не просто зубы, а комфорт 😊

Эта работа стала ещё одним подтверждением того, что стоматология — это не просто лечение, это забота о каждом человеке 🫶🏽 

Запись 👇

-4

-5

📍Северная 100, 4 этаж 

+7(918)294-19-81 

📍п.Южный, Ягодная 1 

+7 (928) 040-44-50

📍 Дмитрия Благоева 31к2 

+7 (928) 209-91-66

📍Казачья 2к2

+7 (928) 040-44-50