Добавить в корзинуПозвонить
Найти в Дзене

Имплантация «Все на 6»: реальный случай из практики

Проблема пациента
В нашу клинику обратилась женщина 58 лет с жалобами на дискомфорт от протезов при отсутствии зубов на верхней челюсти. Два сохранившихся импланта не обеспечивали достаточной опоры, а оставшиеся натуральные зубы требовали удаления из-за значительных разрушений.
Основные запросы пациентки:
· Полностью несъемная конструкция
· Быстрое восстановление жевательной функции
· Естественный внешний вид.
План реабилитации
1. Комплексная диагностика
· КТ-исследование с оценкой плотности костной ткани
· Интраоральное сканирование для цифрового моделирования
· 3D-визуализация будущего протеза.
2. Подготовительный этап
· Атравматичное удаление несохранных зубов
· Санация всей полости рта.
3. Хирургический этап
· Одноэтапная установка 4 имплантов Straumann
· Использование хирургического шаблона для точной позиции
· Фиксация временного адаптационного протеза через 24 часа 4. Ортопедический этап
Через 4 месяца после остеоинтеграции:
· Снятие точных отт

Проблема пациента

В нашу клинику обратилась женщина 58 лет с жалобами на дискомфорт от протезов при отсутствии зубов на верхней челюсти. Два сохранившихся импланта не обеспечивали достаточной опоры, а оставшиеся натуральные зубы требовали удаления из-за значительных разрушений.

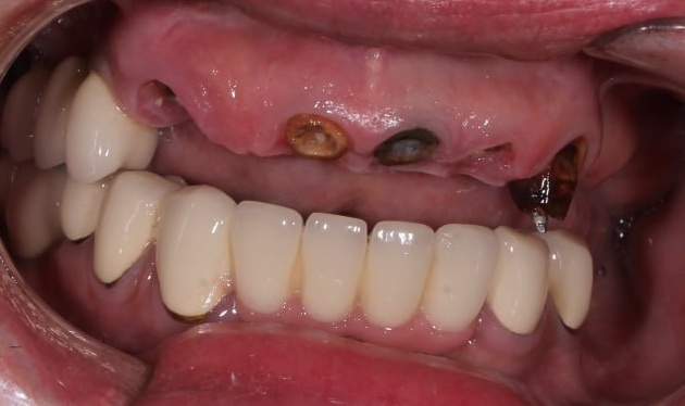
После снятия протезов
После снятия протезов

Основные запросы пациентки:

· Полностью несъемная конструкция
· Быстрое восстановление жевательной функции
· Естественный внешний вид.

План реабилитации

1. Комплексная диагностика

· КТ-исследование с оценкой плотности костной ткани
· Интраоральное сканирование для цифрового моделирования
· 3D-визуализация будущего протеза.

2. Подготовительный этап


· Атравматичное
удаление несохранных зубов
· Санация всей полости рта.

3. Хирургический этап

· Одноэтапная установка 4 имплантов
Straumann
· Использование хирургического шаблона для точной позиции
· Фиксация временного адаптационного протеза через 24 часа

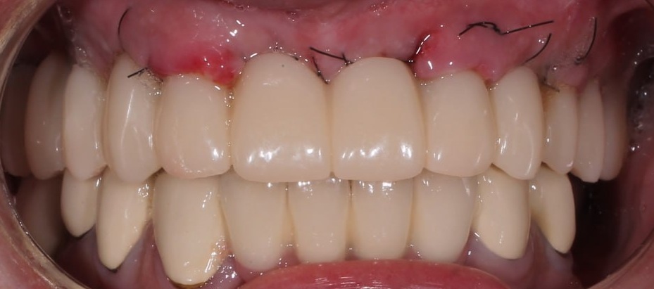
После фиксации временного адаптационного протеза
После фиксации временного адаптационного протеза

4. Ортопедический этап

Через 4 месяца после остеоинтеграции:

· Снятие точных оттисков цифровым сканером
· Изготовление цельнолитого циркониевого протеза
· Индивидуальная подгонка по прикусу.

Итоговая работа ("До" и "После")
Итоговая работа ("До" и "После")


Команда специалистов

Лечение проводили:

Логвинчук Д.Н. - стоматолог-хирург, имплантолог, 24 года успешной практики. 5000+ успешных имплантаций.

Оленев А.О. - стоматолог-ортопед, 20 лет в ортопедической стоматологии, специализация в области функциональной эстетики.

Результат лечения

Пациентка отметила полное восстановление жевательной функции, естественный контур лица, уверенность в улыбке, отсутствие дискомфорта.

Результат лечения - новая естественная улыбка
Результат лечения - новая естественная улыбка


"Теперь я могу спокойно есть любимые продукты и не думать о зубах. Это совсем другие ощущения по сравнению со съемным протезом!"

Подойдет ли вам такой метод?


Протокол
«Все на 6» рекомендуется при:

· Полной или субтотальной адентии
· Неудовлетворенности съемными конструкциями
· Желании получить быстрый эстетический результат.

Для консультации звоните
+7 (345) 251-92-16.

Измените качество жизни уже через неделю после начала лечения!

P.S. В нашей клинике действует
рассрочка на имплантацию. Спросите у администратора о специальных условиях.