Добавить в корзинуПозвонить
Найти в Дзене

Пятничный лайфхак: хочешь мгновенно стать на 10 лет моложе, увереннее и сексуальнее? Не беги к пластическому хирургу — иди к стоматологу

Пятничный лайфхак: хочешь мгновенно стать на 10 лет моложе, увереннее и сексуальнее? Не беги к пластическому хирургу — иди к стоматологу! 😎 Реставрация фронтальных зубов — это как фильтр в Инстаграм, только в реальной жизни. Включил улыбку — и вжух, ты уже CEO своей мечты, герой сериала и объект обожания кота соседки. А ведь правда — улыбка? Это как VIP-пропуск в мир успешных, красивых и тех, у кого нет запаха изо рта после лука 🧅 (а то мы все люди, бывает). Так что, друзья, если зеркало давно не радует — пора навести красоту! Потому что улыбаться — это модно, выгодно и заразительно. 😁 Хорошей пятницы! Пусть ваша улыбка сегодня сияет ярче солнца (и чуточку белее, чем у кенгуру в рекламе зубной пасты) 🦷✨

Пятничный лайфхак: хочешь мгновенно стать на 10 лет моложе, увереннее и сексуальнее? Не беги к пластическому хирургу — иди к стоматологу! 😎

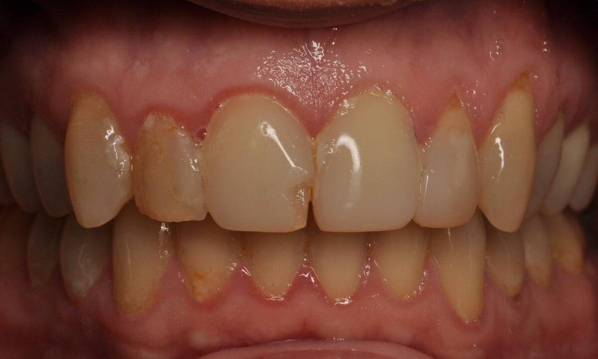
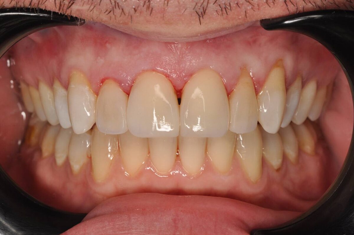
Реставрация фронтальных зубов — это как фильтр в Инстаграм, только в реальной жизни. Включил улыбку — и вжух, ты уже CEO своей мечты, герой сериала и объект обожания кота соседки.

А ведь правда — улыбка? Это как VIP-пропуск в мир успешных, красивых и тех, у кого нет запаха изо рта после лука 🧅 (а то мы все люди, бывает).

Так что, друзья, если зеркало давно не радует — пора навести красоту! Потому что улыбаться — это модно, выгодно и заразительно. 😁

Хорошей пятницы! Пусть ваша улыбка сегодня сияет ярче солнца (и чуточку белее, чем у кенгуру в рекламе зубной пасты) 🦷✨

-2