Добавить в корзинуПозвонить
Найти в Дзене

Бактерии, которые рисуют: как микроорганизмы создают живые узоры

Бактерии, которые рисуют: как микроорганизмы создают живые узоры Исследователи
из Гарварда и Тель-Авивского университета зафиксировали уникальное явление — колонии бактерий, развиваясь на питательной среде, создают сложные узоры, напоминающие мандалы,
снежинки и калейдоскопические структуры. Эти формы не случайны — за ними стоит система коллективного поведения, основанная на обмене сигналами и
физическом взаимодействии.
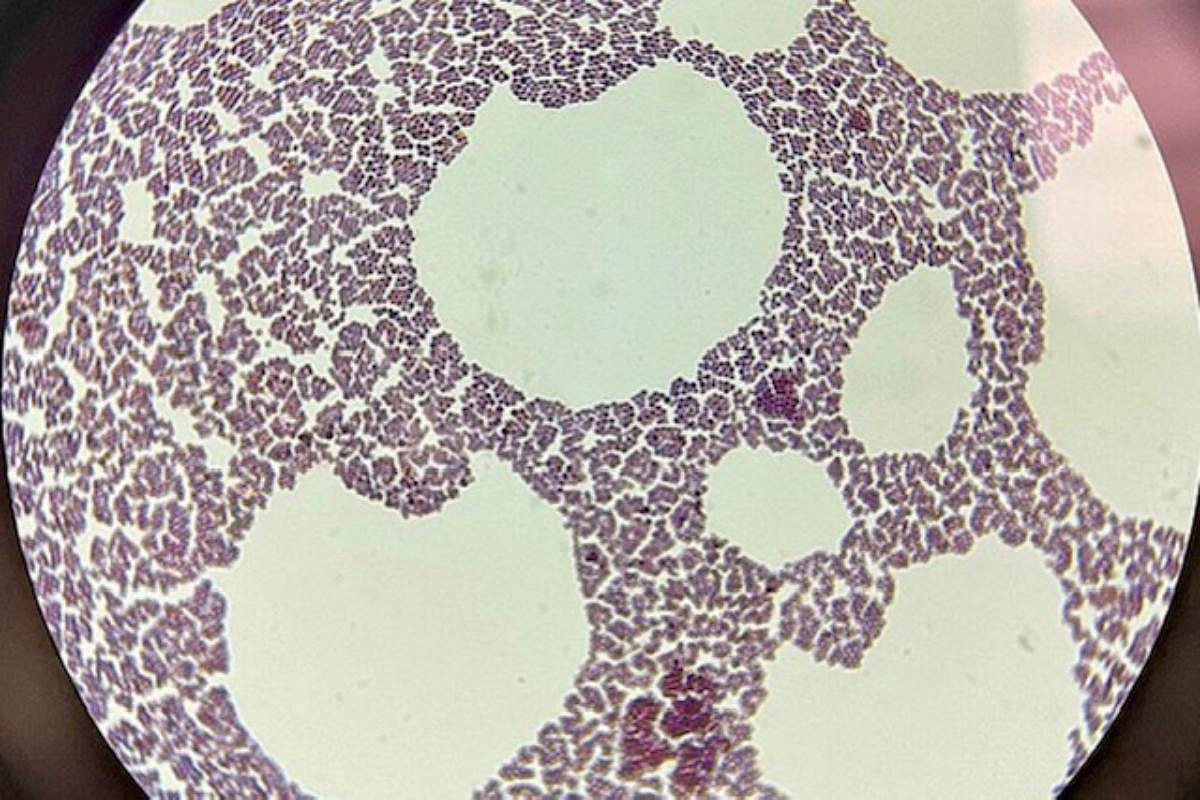
На первый взгляд — просто пятна. Бактерии, высаженные в лабораторных условиях, медленно расползаются по чашке Петри, образуя разноцветные разводы. Но
если приглядеться, становится ясно: эти формы повторяются. Они симметричны. Они растут по законам, которые не поддаются случайности.
Группа исследователей под руководством профессора Эселя Бен-Яакова (Tel Aviv University) и специалистов из Wyss Institute при Гарвардском университете разработала методику
визуализации коллективного движения бактерий Bacillus subtilis и Paenibacillus vortex. Эти микроорган

Бактерии, которые рисуют: как микроорганизмы создают живые узоры Исследователи
из Гарварда и Тель-Авивского университета зафиксировали уникальное явление — колонии бактерий, развиваясь на питательной среде, создают сложные узоры, напоминающие мандалы,
снежинки и калейдоскопические структуры. Эти формы не случайны — за ними стоит система коллективного поведения, основанная на обмене сигналами и
физическом взаимодействии.


На первый взгляд — просто пятна. Бактерии, высаженные в лабораторных условиях, медленно расползаются по чашке Петри, образуя разноцветные разводы. Но
если приглядеться, становится ясно: эти формы повторяются. Они симметричны. Они растут по законам, которые не поддаются случайности.

Группа исследователей под руководством профессора Эселя Бен-Яакова (
Tel Aviv University) и специалистов из Wyss Institute при Гарвардском университете разработала методику
визуализации коллективного движения бактерий Bacillus subtilis и Paenibacillus vortex. Эти микроорганизмы обладают способностью к самоорганизации — они передают сигналы соседним
клеткам и формируют структуры, подобные фракталам или даже архитектурным орнаментам.

Исследование опубликовано в журнале Science Advances. Учёные утверждают, что поведение этих бактерий — не просто результат размножения, а осознанная стратегия
выживания. При помощи особых белков и химических каналов бактерии «договариваются» друг с другом, выбирая направления роста и распределяя ресурсы в
пределах колонии. Получившаяся форма — это не только отражение питания и среды, но и результат социальных взаимодействий между микроорганизмами.

Некоторые из зафиксированных узоров напоминают цветки, другие — геометрические снежинки. Цвета возникают из-за флуоресцентной метки, внедрённой в ДНК бактерий. Но
формы — результат чисто биофизических процессов. Учёные смоделировали математическую модель роста колонии и смогли предсказать появление спиралей и концентрических колец.


По словам профессора Бен-Яакова, в будущем это может привести к созданию микробных сенсоров — систем, реагирующих на изменения среды визуальными
паттернами. Кроме того, этот подход позволит лучше понять механизмы самоорганизации в природе и откроет путь к управляемому биодизайну: от живых
обоев до медицинских тест-систем на основе бактерий.

«
То, что раньше казалось хаосом, сегодня мы начинаем читать как язык, — комментирует соавтор исследования доктор Милад Юсефи. — Эти
узоры — не искусство, но они открывают мост между микробиологией и эстетикой»
.

Визуальные данные собирались в течение полугода. С помощью флуоресцентных маркеров фиксировалась каждая фаза роста, затем изображения обрабатывались ИИ-системами и сопоставлялись
с моделями. Особенно интересной оказалась способность бактерий избегать ранее занятых участков — своего рода микробное «памятование» о пространстве.

Исследование также предлагает новые гипотезы для изучения нейронных сетей: как отдельные элементы могут формировать сложные структуры без центрального управляющего центра.
Это наблюдение — один из редких случаев, когда биология подсказывает идею инженерам.

Учёные подчёркивают, что речь идёт о фундаментальной биофизике, а не о генетически модифицированных организмах. Все бактерии в эксперименте были получены
естественным путём и выращены на стандартной питательной среде. Тем не менее, создаваемые ими структуры оказываются на удивление изощрёнными.

В планах исследователей — дальнейшее наблюдение за другими видами бактерий, особенно теми, что встречаются в почве и морской воде. Есть
надежда, что эти формы могут быть использованы в качестве биомаркеров — индикаторов наличия тяжёлых металлов, кислотности или загрязнения среды.

Если бактерии действительно могут «рисовать», значит, они могут и «говорить». Нам остаётся только научиться понимать их язык.

ИЗНАНКА

Каждый миллиметр микробного узора — это не хаос, а проявление порядка в непредсказуемом. Мы склонны видеть в бактериях угрозу, но
возможно, именно они первыми научились сотрудничать. Без слов. Без правил. Без лидеров. Только с чувством пространства и интуицией.

Фото: соцсети.

Читайте, ставьте лайки, следите за обновлениями в наших социальных сетях и присылайте свои материалы в редакцию.

ИЗНАНКА — другая сторона событий.

Биология
8125 интересуются