Добавить в корзинуПозвонить
Найти в Дзене

Сургутские врачи спасли 11-месячного малыша, проглотившего батарейку

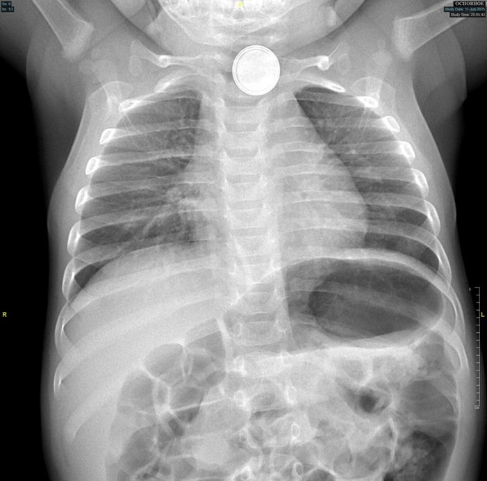
После того, как родители обнаружили, что кроха проглотил круглую батарейку, пострадавшего доставили в Нефтеюганскую районную больницу. Рентген подтвердил наличие металлического инородного тела в верхней части пищевода. Попытки извлечь батарейку эндоскопическим путем в Нефтеюганске не увенчались успехом, и врачи приняли решение о срочной транспортировке ребенка в Сургут. В Центре охраны материнства и детства малыша уже ждали. Экстренное эндоскопическое исследование показало, что инородное тело – аккумулятор диаметром 1,5 см – окружено налетом. Ситуация осложнялась электрохимическим ожогом пищевода 3 степени. Врачи приняли решение срочно удалять батарейку хирургическим путем. Хирург Эльнур Джафаров выполнил лапаротомию и гастротомию и удалил опасный инородный предмет. Послеоперационный период прошел успешно. Контрольное обследование спустя месяц показало отличные результаты: рубцовых сужений пищевода не выявлено, что свидетельствует о полном восстановлении его проходимости. Сейчас малыш

После того, как родители обнаружили, что кроха проглотил круглую батарейку, пострадавшего доставили в Нефтеюганскую районную больницу. Рентген подтвердил наличие металлического инородного тела в верхней части пищевода. Попытки извлечь батарейку эндоскопическим путем в Нефтеюганске не увенчались успехом, и врачи приняли решение о срочной транспортировке ребенка в Сургут.

В Центре охраны материнства и детства малыша уже ждали. Экстренное эндоскопическое исследование показало, что инородное тело – аккумулятор диаметром 1,5 см – окружено налетом. Ситуация осложнялась электрохимическим ожогом пищевода 3 степени.

Врачи приняли решение срочно удалять батарейку хирургическим путем. Хирург Эльнур Джафаров выполнил лапаротомию и гастротомию и удалил опасный инородный предмет.

Послеоперационный период прошел успешно. Контрольное обследование спустя месяц показало отличные результаты: рубцовых сужений пищевода не выявлено, что свидетельствует о полном восстановлении его проходимости. Сейчас малыш дома и находится под амбулаторным наблюдением по месту жительства.

К сожалению, этот случай не единичный. Только в этом году в приемном отделении Центра охраны материнства и детства приняли более 200 детей с различными инородными предметами в желудочно-кишечном тракте, в 15 случаях потребовалось удаление батареек.

– Берегите своих детей! Помните, даже самая безобидная на первый взгляд игрушка или предмет, могут стать опасными для жизни. При первых признаках беды – незамедлительно обращайтесь за медицинской помощью! Каждая минута может быть решающей, – обратилась к родителям президент Центра охраны материнства и детства Лариса Белоцерковцева.

Читайте также:

Читать статью и следить за актуальными новостями на сайте Сургутской трибуны