Добавить в корзинуПозвонить
Найти в Дзене

УЗИ: волшебное окно в тело человека

Представьте, что у вас в руках — не просто датчик, а настоящий волшебный фонарь, способный осветить самые потаенные уголки человеческого тела. Ультразвуковая диагностика (УЗИ) — это современный и безопасный метод визуализации внутренних органов и тканей в реальном времени. Он позволяет оценить их размеры, форму, структуру, положение и даже функциональное состояние. Метод основан на способности ультразвуковых волн проникать в ткани организма и отражаться от них. Плотные структуры (кости, камни) и мягкие ткани (мышцы, сосуды) по-разному возвращают сигнал. Датчик улавливает эти «эхо-волны», а компьютер преобразует их в четкое изображение на экране. Современная ультразвуковая диагностика — это не просто «картинка на экране». Существуют разные методы, каждый из которых решает свои задачи: 🔹 Традиционное УЗИ помогает увидеть двухмерное изображение органа, его еще называют исследованием в серошкальном или В-режиме; 🔹 3D УЗИ и 4D УЗИ позволяют получить трёхмерное изображение плода. Не заме
Оглавление

Представьте, что у вас в руках — не просто датчик, а настоящий волшебный фонарь, способный осветить самые потаенные уголки человеческого тела. Ультразвуковая диагностика (УЗИ) — это современный и безопасный метод визуализации внутренних органов и тканей в реальном времени. Он позволяет оценить их размеры, форму, структуру, положение и даже функциональное состояние.

УЗИ безболезненный, информативный и простой метод. Самое главное, чтобы врач был опытным! Важно не только увидеть, но и правильно интерпретировать увиденное.
УЗИ безболезненный, информативный и простой метод. Самое главное, чтобы врач был опытным! Важно не только увидеть, но и правильно интерпретировать увиденное.

Как работает этот метод?

Метод основан на способности ультразвуковых волн проникать в ткани организма и отражаться от них. Плотные структуры (кости, камни) и мягкие ткани (мышцы, сосуды) по-разному возвращают сигнал. Датчик улавливает эти «эхо-волны», а компьютер преобразует их в четкое изображение на экране.

Современная ультразвуковая диагностика — это не просто «картинка на экране». Существуют разные методы, каждый из которых решает свои задачи:

🔹 Традиционное УЗИ помогает увидеть двухмерное изображение органа, его еще называют исследованием в серошкальном или В-режиме;

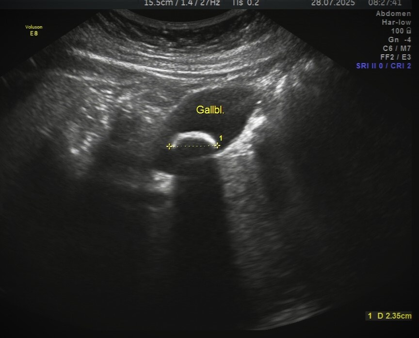
Вот так на УЗи выглядит камень в желчном пузыре (камень выглядит как яркая белая дуга, обозначен желтой пунктирной линией, позади него определяется тень, темная структура вокруг и есть желчный пузырь). До определенного момента желчекаменная болезнь может никак себя не проявлять, чтобы увидеть камень нужно делать УЗИ до появления острых симптомов, особенно в случаях наследственной предрасположенности
Вот так на УЗи выглядит камень в желчном пузыре (камень выглядит как яркая белая дуга, обозначен желтой пунктирной линией, позади него определяется тень, темная структура вокруг и есть желчный пузырь). До определенного момента желчекаменная болезнь может никак себя не проявлять, чтобы увидеть камень нужно делать УЗИ до появления острых симптомов, особенно в случаях наследственной предрасположенности

🔹 3D УЗИ и 4D УЗИ позволяют получить трёхмерное изображение плода. Не заменяет стандартное 2D УЗИ, а дополняет его;

Так можно "увидеть" личико еще нерожденного ребёнка, это не только способ стать ближе, но и возможность дополнительной диагностики
Так можно "увидеть" личико еще нерожденного ребёнка, это не только способ стать ближе, но и возможность дополнительной диагностики


🔹
Допплерография изучает скорость и направление кровотока (важно при диагностике тромбозов, варикоза, атеросклероза, патологий сердца). Иногда доктор отправляет вас на УЗДС сосудов, термин "УЗДС" расшифровывается как "ультразвуковое допплеровское сканирование", то есть доктор сможет не только увидеть как выглядят ваши сосуды изнутри, но и измерить показатели кровотока в них;

На УЗИ можно увидеть не только строение органа и стенки сосудов, наличие атеросклеротических бляшек, но и сам кровоток в специальном режиме. Скорость и особенности кровотока оцениваются в артериях и венах оцениваются, когда есть головные боли, головкружения, шум в ушах, различные неврологические симптомы (красным  и синим на картинке обозначен просвет сосуда, аппарат зарегистрировал кровоток)
На УЗИ можно увидеть не только строение органа и стенки сосудов, наличие атеросклеротических бляшек, но и сам кровоток в специальном режиме. Скорость и особенности кровотока оцениваются в артериях и венах оцениваются, когда есть головные боли, головкружения, шум в ушах, различные неврологические симптомы (красным и синим на картинке обозначен просвет сосуда, аппарат зарегистрировал кровоток)


🔹
Эластография оценивает жесткость тканей, помогая отличить доброкачественные опухоли от злокачественных, а еще оказывает большую помощь в диагностике заболеваний печени: орган становится более жестким при фиброзе и циррозе.

Эластография кодирует разными цветами участки разной жесткости-это помогает врачу найти "подозрительные" изменения и отправить на дополнительное исследование, если это будет необходимо. Злокачественные образования на эластографии всегда более жесткие
Эластография кодирует разными цветами участки разной жесткости-это помогает врачу найти "подозрительные" изменения и отправить на дополнительное исследование, если это будет необходимо. Злокачественные образования на эластографии всегда более жесткие

Почему УЗИ так популярно?

Безопасность – нет облучения, можно делать даже беременным и детям.
Комфорт – неинвазивно, безболезненно, не требует сложной подготовки.
Скорость – исследование занимает 10-30 минут, результат – сразу.
Доступность – аппараты есть даже в небольших клиниках.
Многократность – можно повторять хоть каждый день без вреда.

Какие органы видно на УЗИ, а какие нет?

На УЗИ видно многие органы. Доктор, который проводит диагностику может выявить различные аномалии в строении, опухоли, камни, оценить размеры и кровоток. Однако, есть структуры, для исследования которых лучше подойдут другие методы это:

  1. Легкие – из-за воздуха ультразвук почти не проходит (используют рентген или КТ). Но с помощью УЗИ можно увидеть есть ли вокруг них жидкость и оценить ее примерный объем.
  2. Головной мозг (у взрослых) – кости черепа блокируют ультразвук (нужны МРТ или КТ). У младенцев можно делать нейросонографию через родничок.
  3. Полые органы (желудок, тонкая и толстая кишка) – из-за газов виден плохо (лучше эндоскопия или КТ). При хорошей подготовке у худощавых людей можно оценить стенку кишечника на определенных участках, например, увидеть измененный аппендикс, однако для комплексного полноценного исследования кишечника лучше подойдут другие методы диагностики.
  4. Кости – ультразвук не проходит через плотные структуры (нужен рентген или МРТ). Однако, УЗИ может использоваться для того, чтобы увидеть суставы: суставные хрящи, связки, суставную сумку-они образованы мягкими тканями, которые хорошо видны.
  5. Надпочечники – часто скрыты за другими органами, лучше видно на КТ/МРТ. Опухоль надпочечника размером более 1 см на УЗИ при хорошей подготовке увидеть можно, но неизмененные здоровые надпочечники тяжело рассмотреть.

Профилактическое УЗИ: как часто и какие органы проверять

Если у вас есть хронические болезни или наследственные риски — обсудите с врачом индивидуальный график обследований. Лучше вовремя обнаружить проблему, чем лечить осложнения!

В плановом порядке 1 раз в год рекомендуется делать исследование органов брюшной полости (печень, желчный пузырь, поджелудочная железа, селезёнка), почек и мочевого пузыря, щитовидной железы, молочных желез женщинам после 40 лет, предстательной железы мужчинам после 45 лет.

Когда УЗИ нужно сделать срочно ?

Не занимайтесь самодиагностикой и самолечением-обращайтесь к врачу!
Не занимайтесь самодиагностикой и самолечением-обращайтесь к врачу!

  • Боль в правом подреберье (подозрение на холецистит, камни в желчном пузыре);
  • Боли в верхней части живота, опоясывающего характера (подозрение на панкреатит);
  • Тошнота, горечь во рту, вздутие живота;
  • Пожелтение кожи и склер;
  • Боли в пояснице, частое мочеиспускание (подозрение на патологию почек);
  • Кровь в моче (может быть камень, опухоль);
  • Увеличение шеи, ком в горле, резкий набор/потеря веса, выпадение волос, дрожь в руках, изменение сердечного ритма (подозрение на патологию щитовидной железы);
  • Уплотнения в молочной железе (и у мужчин и у женщин), боль, выделения из сосков;
  • Нарушения менструального цикла, боли в нижней части живота, кровянистые выделения (можно определить беременность на раннем сроке приблизительно после первой недели задержки менструации, как маточную, так и внематочную, также увидеть кисту, миому, опухоли матки и яичников);
  • Частое мочеиспускание, слабая струя, боли в промежности (подозрение на простатит);
  • Отек и посинение конечности (подозрение на тромб).

Конечно это неполный список тех жалоб, которые могут привести вас на приём к врачу ультразвуковой диагностики. Главное быть внимательным к знакам со стороны своего организма, ведь многие заболевания проще лечить на ранних стадиях. Любое беспокойство требует дополнительного расследования, не стоит ждать, пока "само пройдёт". Ультразвуковая диагностика является совершенно безопасным методом исследования организма, который позволит получить максимальный объём информации о состоянии тех или иных органов и систем. Кроме того врач всегда сможет сориентировать вас по поводу дальнейших действий и порекомендует узких специалистов, к которым вам стоит обратиться.

Подготовка к УЗИ разных органов: полная инструкция

-7

УЗИ брюшной полости (печень, желчный пузырь, поджелудочная, селезенка)

🔹 За 3 дня до исследования:

  • Исключить газообразующие продукты:
    Нельзя: бобовые, капусту, молоко, газировку, черный хлеб, сладости.
    Можно: каши, нежирное мясо, рыбу, вареные овощи.
  • При склонности к вздутию – эспумизан или активированный уголь.

🔹 Накануне:

  • Легкий ужин до 18:00–19:00 (например, гречка с курицей).
  • При запорах – слабительное или микроклизма.

🔹 В день УЗИ:

  • Не есть! Последний прием пищи – за 8 часов до исследования.
  • Не пить воду (если не проверяют почки или мочевой пузырь).
  • Не курить (курение вызывает спазм желчного пузыря).

УЗИ почек и мочевого пузыря

🔹 Подготовка:

  • За 1 час до исследования выпить 0,5–1 л воды и не мочиться.
  • Если УЗИ только почек – подготовка как для брюшной полости (голод + диета).

УЗИ малого таза

🔹 Трансабдоминальное (через живот):

  • За 1 час выпить 1 л воды, мочевой пузырь должен быть полным.
  • Диета, как для брюшной полости.

🔹 Трансвагинальное (для женщин):

  • Не требует наполнения мочевого пузыря.
  • Лучше делать на 5–10 день цикла (если нет экстренных показаний).

🔹 У мужчин (ТРУЗИ простаты):

  • Накануне – очистительная клизма.

Есть исследование простаты через живот (трансабдоминальное), тогда нужен полный мочевой пузырь. Какой именно вид исследования предпочтителен решает врач-уролог, если рекомендаций нет или вы еще не были у него на приёме, то рекомендуется проведение ТРУЗИ-трансректального исследования, которое позволяет увидеть мельчайшие изменения в структуре органа.

В последние годы наблюдается активное развитие новых технологий ультразвукового исследования, которые предлагают широкие возможности для диагностики и лечения. Эти инновации не только улучшают качество изображений, но и расширяют диагностические возможности, повышают точность и ускоряют процесс исследования. Например, в ультразвуковое исследование активно внедряется искусственный интеллект, совершенствуются системы для визуализации, появляются улучшенные технологии, такие как контрастное УЗИ. Это лишний раз подтверждает тот факт, что метод исследования благодаря своей простоте, безопасности и информативности остается очень востребованным во всех областях медицины.

И напоследок совет: не занимайтесь самолечением, это может затянуть сроки постановки диагноза, да и попросту навредить здоровью. Обращайтесь за помощью к врачу!