Найти в Дзене

Брахидактилия

Это врождённая аномалия развития, характеризующаяся укорочением пальцев кистей и/или стоп из-за недоразвития или отсутствия фаланг. На Р-граммах правой кисти в 2х проекциях: травматических, деструктивных изменений не выявлено. Структура костной ткани не изменена. Средняя фаланга пятого пальца укорочена, утолщена. По остальным отделам кисти-без явной костной патологии. Заключение: Врожденная аномалия развития правой кисти- брахидактилия (брахифалангия) средней фаланги пятого пальца правой кисти. Категория годности с данным диагнозом по ст.67(Отсутствие, деформации, дефекты кисти и пальцев), г) при наличии объективных данных без нарушения функций-Б3(годен к в/сл с незначительными ограничениями). https://t.me/MME_SurgeryRadiolodgy https://vk.com/club223629464

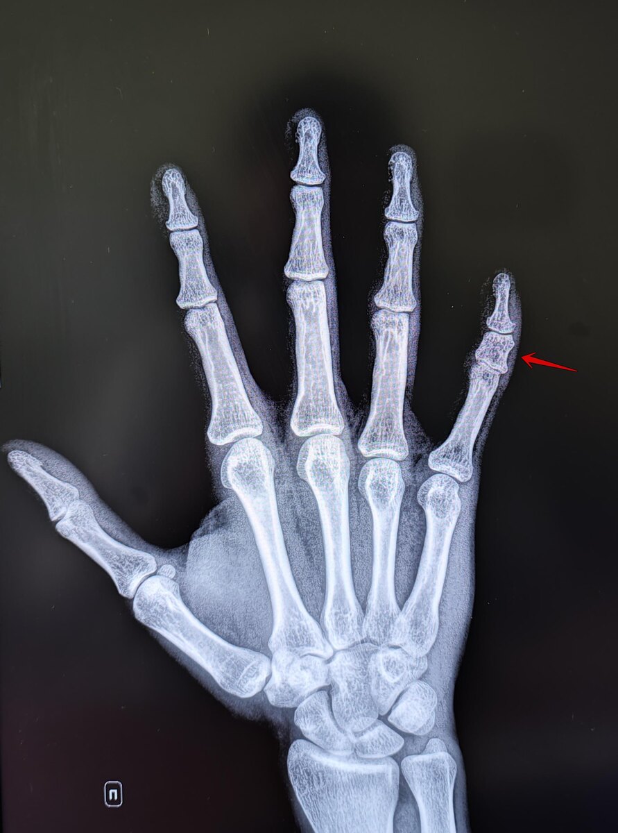
Это врождённая аномалия развития, характеризующаяся укорочением пальцев кистей и/или стоп из-за недоразвития или отсутствия фаланг.

-2

На Р-граммах правой кисти в 2х проекциях: травматических, деструктивных изменений не выявлено. Структура костной ткани не изменена. Средняя фаланга пятого пальца укорочена, утолщена. По остальным отделам кисти-без явной костной патологии.

Заключение: Врожденная аномалия развития правой кисти- брахидактилия (брахифалангия) средней фаланги пятого пальца правой кисти.

Категория годности с данным диагнозом по ст.67(Отсутствие, деформации, дефекты кисти и пальцев), г) при наличии объективных данных без нарушения функций-Б3(годен к в/сл с незначительными ограничениями).

https://t.me/MME_SurgeryRadiolodgy

https://vk.com/club223629464