Добавить в корзинуПозвонить
Найти в Дзене
Фабрика человека

Армия внутри нас: Как стволовые клетки становятся спецназом, помнящим врагов годами!

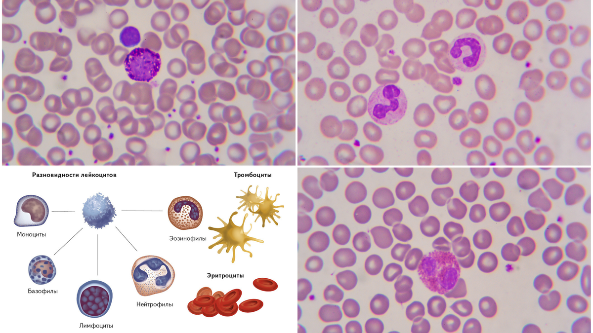
Представьте: прямо сейчас, пока вы читаете эти строки, внутри вашего тела идет невидимая война. Миллионы крошечных солдат патрулируют границы, обезвреживают диверсантов и даже... учатся на ошибках прошлого. Это не сюжет фантастического блокбастера. Это ваша иммунная система – самая сложная и потрясающая армия в мире, штаб-квартира которой – вы сами. И у некоторых ее бойцов память лучше, чем у вас! Кто же главные герои этой вечной битвы за ваше здоровье? Встречайте лейкоциты – белые кровяные тельца, основная ударная сила. Но это не однородная масса! Здесь есть свои рода войск: Как пограничники, они первыми встречают вторженцев – бактерии, вирусы, грибки. Их тактика проста и жестока: поглотить и уничтожить (фагоцитоз). Представьте нейтрофил, яростно преследующий бактерию – это и есть передовая. Элита иммунитета. Делится на два ключевых подразделения: Т-лимфоциты (Т-киллеры, Т-хелперы): Настоящие «киллеры». Т-киллеры напрямую уничтожают зараженные или раковые клетки. Т-хелперы – координат
Оглавление

Представьте: прямо сейчас, пока вы читаете эти строки, внутри вашего тела идет невидимая война. Миллионы крошечных солдат патрулируют границы, обезвреживают диверсантов и даже... учатся на ошибках прошлого. Это не сюжет фантастического блокбастера. Это ваша иммунная система – самая сложная и потрясающая армия в мире, штаб-квартира которой – вы сами. И у некоторых ее бойцов память лучше, чем у вас!

Бойцы и Тактика

Кто же главные герои этой вечной битвы за ваше здоровье? Встречайте лейкоциты – белые кровяные тельца, основная ударная сила. Но это не однородная масса! Здесь есть свои рода войск:

1. «Разведчики и Первый Удар» (Фагоциты: Макрофаги, Нейтрофилы):

Как пограничники, они первыми встречают вторженцев – бактерии, вирусы, грибки. Их тактика проста и жестока: поглотить и уничтожить (фагоцитоз). Представьте нейтрофил, яростно преследующий бактерию – это и есть передовая.

-2

2. «Спецназ и Долгая Память» (Лимфоциты):

Элита иммунитета. Делится на два ключевых подразделения:

Т-лимфоциты (Т-киллеры, Т-хелперы): Настоящие «киллеры». Т-киллеры напрямую уничтожают зараженные или раковые клетки. Т-хелперы – координаторы, они активируют других бойцов и «ставят задачи».

В-лимфоциты: Это фабрики антител. Антитела (иммуноглобулины) – невероятно умное оружие.

-3

Как они учатся?

Когда в организм попадает новый враг (антиген), дендритные клетки («разведчики») показывают его «в лицо» Т-хелперам и В-лимфоцитам. Те В-клетки, чьи рецепторы хоть как-то подошли к врагу, получают команду размножиться и начать производство точных, специфичных к этому конкретному врагу антител. Антитела, как умные ракеты, находят цель, обездвиживают ее, помечают для уничтожения фагоцитами или активируют систему комплемента (другой каскад защиты).

-4

Память Победителей

Вот тут начинается самое удивительное! После победы над инфекцией большинство «призванных» лимфоцитов погибает. Но небольшая часть Т- и В-клеток превращается в клетки памяти. Они живут годами, а иногда и десятилетиями! Эти «ветераны» хранят точную информацию о побежденном враге. Если тот же самый патоген снова попытается атаковать, клетки памяти мгновенно активируются, запуская мощный и быстрый ответ. Болезнь либо не развивается вовсе, либо протекает очень легко. Вот почему мы болеем корью или ветрянкой, как правило, лишь раз в жизни, а вакцины работают! Это и есть основа иммунитета.

-5

Социальный Иммунитет - Не Только у Людей!

Наша внутренняя армия впечатляет, но коллективная защита – не исключительно человеческое изобретение. Присмотритесь к муравейнику или пчелиному улью. У них тоже есть свой «социальный иммунитет»! Рабочие муравьи и пчелы тщательно чистят гнездо, выносят мусор и погибших сородичей, чтобы не допустить распространения инфекции. Они могут изолировать больных особей или даже ухаживать за ними, принося пищу. Некоторые виды муравьев даже производят собственные «антибиотики» из смолы деревьев! Это коллективные действия, направленные на защиту всего сообщества от болезней, – удивительная параллель с тем, как клетки внутри нас сообща работают для общей цели.

-6

Практический Вывод

Ваша иммунная система – это не статичный щит, а динамичная, обучающаяся, живая армия. Ее «бойцы» (лейкоциты разных типов) постоянно патрулируют, сражаются и запоминают врагов. Клетки памяти – это уникальное эволюционное преимущество, позволяющее нам реже и легче болеть знакомыми инфекциями. И хотя мы – сложнейшие организмы, базовые принципы коллективной защиты (как у пчел и муравьев) работают и на уровне наших собственных клеток.

-7

А замечали ли вы, что с возрастом некоторые «детские» болезни (вроде ветрянки) вас почти не берут? Или наоборот – подхватываете простуду чаще? Как думаете, почему? Делитесь своими наблюдениями в комментариях!

«Фабрика Человека»

Загляните за кулисы самого совершенного завода — вашего тела!

#ФабрикаЧеловека #МедицинаПросто #ИнтересноеТело #Здоровье #НаукаДляВсех #биология #интересныефакты #человеческое_тело #нейробиология #иммунитет #лейкоциты #антитела #интересные_факты #дзенрекомендует