Добавить в корзинуПозвонить
Найти в Дзене
Доктор Левин

Накусочные пломбы: когда же их снимут?

Когда хочется снять неудобные пломбы для удобного ношения брекетов Во время исправления прикуса при помощи брекетов иногда нужно установить специальные накладки. Лепешки из пломбировочного материала наносят на определеннные зубы, чтобы скорректировать прикус в брекетах. Это поможет сохранить целостность самой брекет-системы, а в некоторых случаях усиливает лечебный эффект. Накусочные пломбы или площадки могут вызывать дискомфорт и требут времени на привыкание к ним. Накусочные пломбы периодически меняют на новые. Срок ношения обычно заканчивается вместе с окончанием ортодонтического лечения. Накусочными пломбами в стоматологии называют временнные пломбы из композита, реже из металла, которые устанавливают вместе с брекет-системой. Выглядят на зубах как большие лепешки или ступеньки белого или яркого цвета. Устанавливают их как на жевательных зубах, так и на передних. Разновидности накусочных площадок: ▶️разобщающие — используют, чтобы верхние зубы не сбивали нижние брекеты, ▶️позицион
Оглавление

Когда хочется снять неудобные пломбы для удобного ношения брекетов

Когда снимают накладки с зубов при ношении брекетов
Когда снимают накладки с зубов при ношении брекетов

Во время исправления прикуса при помощи брекетов иногда нужно установить специальные накладки. Лепешки из пломбировочного материала наносят на определеннные зубы, чтобы скорректировать прикус в брекетах. Это поможет сохранить целостность самой брекет-системы, а в некоторых случаях усиливает лечебный эффект. Накусочные пломбы или площадки могут вызывать дискомфорт и требут времени на привыкание к ним. Накусочные пломбы периодически меняют на новые. Срок ношения обычно заканчивается вместе с окончанием ортодонтического лечения.

Накусочные пломбы — что это и для чего нужны

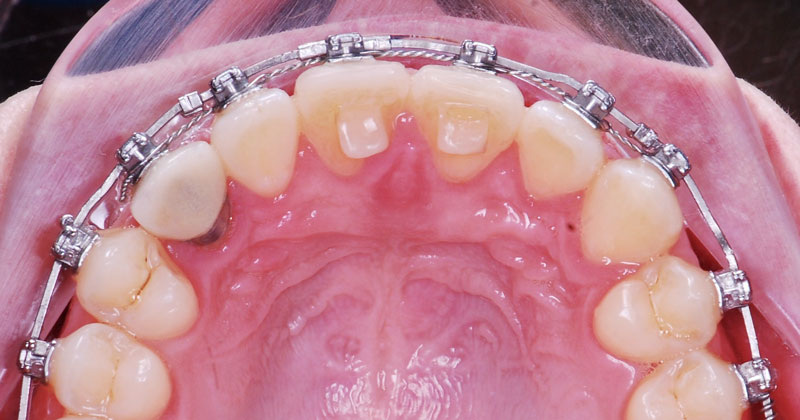
Накусочными пломбами в стоматологии называют временнные пломбы из композита, реже из металла, которые устанавливают вместе с брекет-системой. Выглядят на зубах как большие лепешки или ступеньки белого или яркого цвета. Устанавливают их как на жевательных зубах, так и на передних.

Разновидности накусочных площадок:

▶️разобщающие — используют, чтобы верхние зубы не сбивали нижние брекеты,

▶️позиционирующие — направляют нижнюю челюсть в позицию, которая необходима при ортодонтическом лечении.

Накусочные разобщающие площадки
Накусочные разобщающие площадки
Размер и место прикерепления накусочной площадки ортодонт опрделеяет перед установкой брекетов или в процессе лечения

Когда снимают накусочные пломбы

1️⃣Завершение ортодонтического лечения

Накусочные площадки обеспечивают целостность брекет-системы на всем протяжении лечения. Когда прикус достигает определенных результатов, ортодонт может снять накусочные площадки при условии, что это не навредит брекетам. Однако, чтобы не рисковать, обычно накусочную пломбу снимают вместе с брекетами.

2️⃣Коррекция при изменение положения зубов

В ходе перемещения зубов ранее установленные накусочные пломбы могут стать неэффективными или спровоцировать препятствие в смыкании, жевании или дальнейшем перемещении зубов. В таких случаях ортодонт удаляет накусочные пломбы или прикрепляет их в другом месте.

Накусочные пломбы
Накусочные пломбы

3️⃣Повреждения пломбы

Накусочные пломбы имеют большие размеры и могут покрывать большую поверхность зуба. От постоянных жевательных нагрузок пломба истирается, сыпется, растрескивается и откалывается. Это снижает ее высоту, а значит и фукциональность. В этом случае стоматолог реставрирует или заменяет накусочную площадку на новую.

4️⃣Боль и дискомфорт

Накусочная пломба делает прикус высоким. Необходимо адаптироваться к изминившемуся положению челюстей. Адаптация, которая сопровождается постоянной болью в мышцах, зубах, невозможностью пережевать пищу может стать причиной удаления накусочных пломб и поиска нового решения.

Как снимают накусочные площадки

После осмотра ортодонт снимает накусочную пломбу при помощи специального всерла и бор-машинки. Анестезия обычно не требуется, так как пломба установлена снаружи зуба, а не в его тканях. Остатки композита убирают полировальными щетками.

Накусочные позиционирующие пломбы
Накусочные позиционирующие пломбы

При необходимости ортодонт устанавливает новые накусочные пломбы.

Снятие накусочных пломб во время или после лечении брекетами — стандартная процедура. Она безболезненная и занимает около 10-20 минут

🔍Читайте также

1. Лечение неправильного прикуса

2. Исправление глубокого прикуса

3. Вывих нижней челюсти: варианты лечения

🏥 ЦПС «Доктор Левин»

Задать вопрос ✍️ WhatsApp

Позвонить 📞 +7 (495) 431-91-76

Мы рядом:

📌 Москва, ул. Льва Толстого, 5с1 (Парк Культуры)

📌 Москва, проспект Вернадского, 8А (Университет)