Добавить в корзинуПозвонить
Найти в Дзене
КЛИНИКА САРЕНКО

Когда ты не узист, а Врач ультразвуковой диагностики

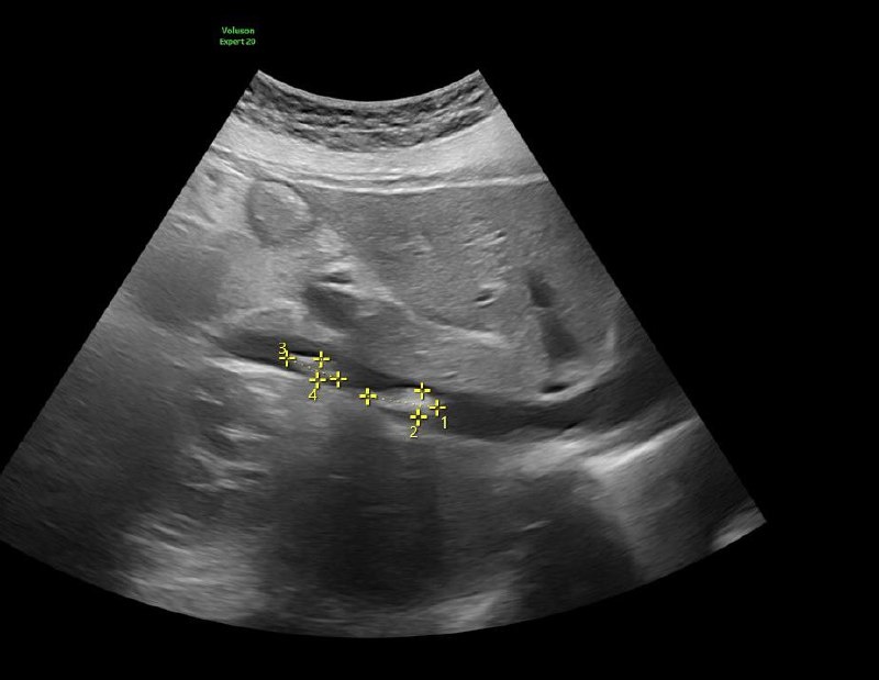
Когда ты не узист, а Врач ультразвуковой диагностики ⠀ ✅ В очередной раз нашел то, о чем не просили… ⠀ ✅ Две недели назад боли в животе, одышка ⠀ ✅ Предположительный диагноз - панкреатит и гастрит. Две недели лечения - без эффекта ⠀ ✅ Обратилась в нашу клинику для проведения УЗИ органов брюшной полости. Поджелудочная железа выглядит идеально ⠀ ✅ Учитывая жалобы на одышку И ДРУГИЕ СИМПТОМЫ, поставил датчик на область сердца. Моё заключение: тромбоз нижней полой вены, гидроперикард ⠀ ✅ Госпитализирована в профильную клинику, ведется лечение ⠀ ✅ НЕ ВСЕГДА НУЖНО НАЧИНАТЬ С УЗИ. ОБРАТИВШИСЬ К ТЕРАПЕВТУ И (ИЛИ) КАРДИОЛОГУ, ПАЦИЕНТА НАПРАВИЛИ БЫ НА ЭКГ И ЭХО-КС. ⠀ ✅ ТОЛЬКО ОЧНАЯ КОНСУЛЬТАЦИЯ СПЕЦИАЛИСТА ИЗБАВИТ ВАС ОТ НЕНУЖНЫХ ИССЛЕДОВАНИЙ ⠀ P.S. УЗИ сделано не кардиологическим датчиком и не на кардиологическом аппарате. ⠀ ✅ УЗИ сердца и сосудов у нас делает Юлия Сергеевна Шарпилова ⠀ ✅ Берегите себя ⠀ #саренко

Когда ты не узист, а Врач ультразвуковой диагностики

✅ В очередной раз нашел то, о чем не просили…

✅ Две недели назад боли в животе, одышка

✅ Предположительный диагноз - панкреатит и гастрит. Две недели лечения - без эффекта

✅ Обратилась в нашу клинику для проведения УЗИ органов брюшной полости. Поджелудочная железа выглядит идеально

✅ Учитывая жалобы на одышку И ДРУГИЕ СИМПТОМЫ, поставил датчик на область сердца. Моё заключение: тромбоз нижней полой вены, гидроперикард

✅ Госпитализирована в профильную клинику, ведется лечение

✅ НЕ ВСЕГДА НУЖНО НАЧИНАТЬ С УЗИ. ОБРАТИВШИСЬ К ТЕРАПЕВТУ И (ИЛИ) КАРДИОЛОГУ, ПАЦИЕНТА НАПРАВИЛИ БЫ НА ЭКГ И ЭХО-КС.

✅ ТОЛЬКО ОЧНАЯ КОНСУЛЬТАЦИЯ СПЕЦИАЛИСТА ИЗБАВИТ ВАС ОТ НЕНУЖНЫХ ИССЛЕДОВАНИЙ

P.S. УЗИ сделано не кардиологическим датчиком и не на кардиологическом аппарате.

✅ УЗИ сердца и сосудов у нас делает Юлия Сергеевна Шарпилова

✅ Берегите себя

#саренко

-2
-3