Добавить в корзинуПозвонить
Найти в Дзене
Исправляем!

Как я избавился от пяточной шпоры

Я жил как все люди. Работа, дом, свои заботы. Про пяточную шпору что-то слышал, но это было с кем-то другим и где-то далеко в другом мире. Но вот однажды эта «дама» добралась и до меня. Её никто не звал, но она все таки приперлась и сказала: "Привет, уважаемый! Теперь я живу у тебя". Сначала просто побаливали ноги при ходьбе, причем сразу обе. Особенно утром, когда вставал с постели. Еще больнее было во время ежедневной утренней пробежки. Я не придавал этому значения. И вот, в один прекрасный день, я обнаружил, что передвигаться могу только держась за стенку. Проблему больше нельзя было игнорировать. Что-то с этим надо было делать. Эта статья адресована в первую очередь тем, кто уже отчаялся, потратил много сил и средств, но и так и не смог побороть недуг. Может быть, вы не там искали? Пытаясь решить для себя эту проблему, я сделал неожиданное открытие. Оказывается, есть эффективное решение в немедицинской сфере! Пяточная шпора — это нарост из кальциевых отложений на нижней части пяточ

Я жил как все люди. Работа, дом, свои заботы. Про пяточную шпору что-то слышал, но это было с кем-то другим и где-то далеко в другом мире. Но вот однажды эта «дама» добралась и до меня. Её никто не звал, но она все таки приперлась и сказала: "Привет, уважаемый! Теперь я живу у тебя". Сначала просто побаливали ноги при ходьбе, причем сразу обе. Особенно утром, когда вставал с постели. Еще больнее было во время ежедневной утренней пробежки. Я не придавал этому значения. И вот, в один прекрасный день, я обнаружил, что передвигаться могу только держась за стенку. Проблему больше нельзя было игнорировать. Что-то с этим надо было делать.

Эта статья адресована в первую очередь тем, кто уже отчаялся, потратил много сил и средств, но и так и не смог побороть недуг. Может быть, вы не там искали? Пытаясь решить для себя эту проблему, я сделал неожиданное открытие. Оказывается, есть эффективное решение в немедицинской сфере!

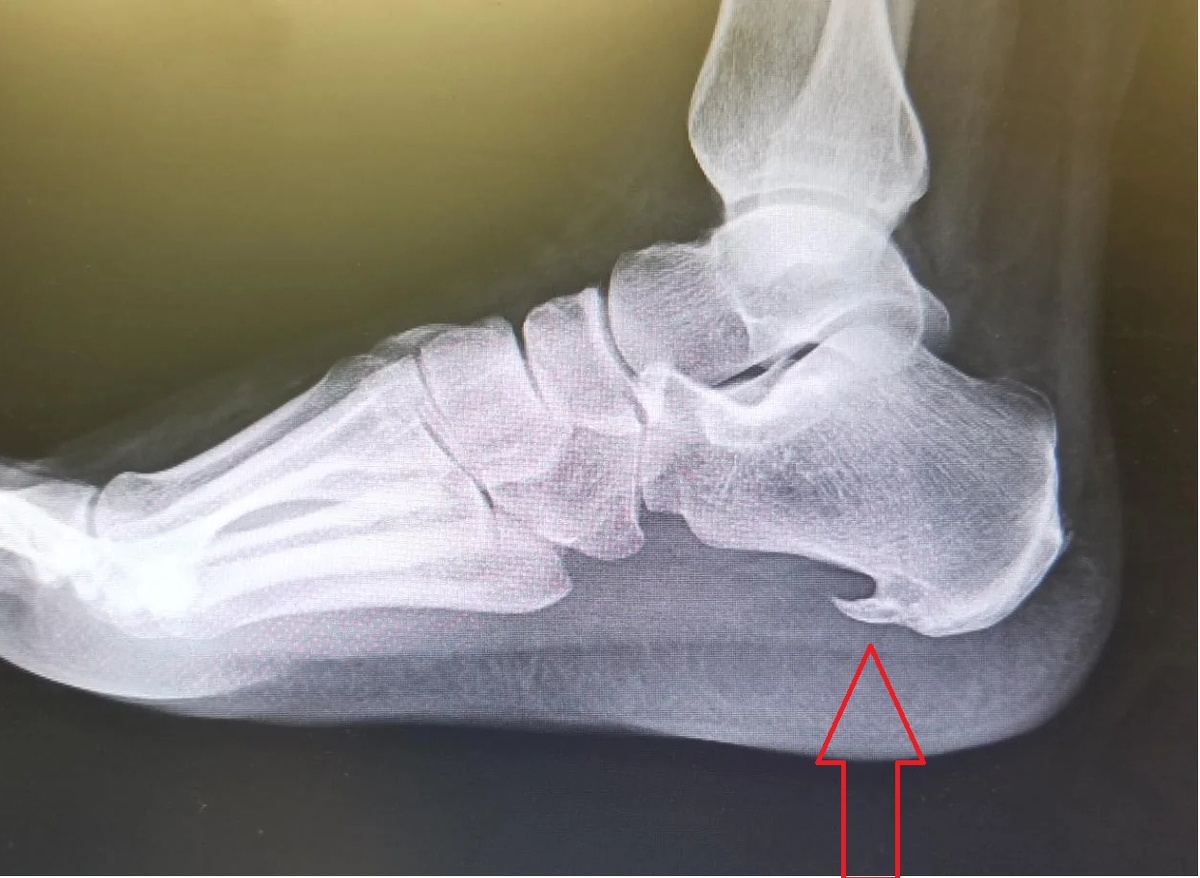
Пяточная шпора — это нарост из кальциевых отложений на нижней части пяточной кости. Он образуется в результате длительного воспаления подошвенного сухожилия – плантарной фасции. Костный выступ растет медленно. Первым признаком пяточной шпоры является дискомфорт в стопе, постепенно переходящий в боль. Сначала болезненность возникает только в утренние часы или после длительной ходьбы, но со временем проблема нарастает. С течением времени боль становится такой сильной, что человек может вообще утратить способность ходить.

Костный нарост в районе соединения пятки и плантарного сухожилия. Именно он вызывает боль при ходьбе.
Костный нарост в районе соединения пятки и плантарного сухожилия. Именно он вызывает боль при ходьбе.

Когда мне стало ясно, что проблему больше игнорировать нельзя, я начал действовать. Сначала точно определил диагноз: пяточные шпоры обеих ног в запущенном состоянии. Затем я стал изучать известные методики лечения, как медикаментозные, так и другие. Оказалось, что медикаментозное лечение практически бесполезно. Существуют оперативные методы лечения, но даже сами врачи считают их рискованными, связанными с большим количеством возможных неблагоприятных последствий, вплоть до потери возможности нормально ходить. Есть еще УВТ (ударно волновая терапия) и различные виды физиотерапий. Есть также т.н. "народные" методы - разные компрессы из чеснока, соли и прочих подручных ингредиентов. Количество всяких советчиков в интернете, обещающих простое исцеление, просто поражает.

Из выше перечисленных методов к более-менее нормальному результату с невысокими рисками осложнений приводит только УВТ. Именно этим путем я поначалу и решил пойти. Но впоследствии отказался от этой затеи, так как понимал, что даже если с помощью УВТ разрушить костные шипы, но не устранить причин их появления, они через какое-то время вырастут вновь. Моей целью являлось решить проблему в принципе, раз и навсегда, при этом не отравляя организм лекарствами. И я ее решил!

Это я после того, как я выдворил пяточную шпору за дверь.
Это я после того, как я выдворил пяточную шпору за дверь.

Это произошло не сразу и не вдруг. Пришлось перелопатить кучу материалов, опробовать на себе множество методик – как эффективных, так и откровенного мусора и отобрать только то, что реально работает и помогает. Эта информация со временем сложилась в законченную систему. В итоге, я разработал и успешно испытал на себе курс избавления от пяточной шпоры без медицинских процедур, лекарств и операций. В нем нет колдовства, таро, экстрасенсорики, религиозных ритуалов и т.п. Основу курса составляет специальная оздоровительная гимнастика для ног с параллельным выполнением определенных правил в повседневной жизни. Все рекомендации этого курса практичны, просты и выполнимы каждым, независимо от пола, возраста, состояния здоровья.

Не надо питать иллюзий, что проблема легко решается просто так и без усилий с вашей стороны - прилепил компресс, и все прошло. Нет, это так не работает. Когда вы приходите в спортзал для того, чтобы накачать бицепсы, вы не ожидаете, что они вырастут у вас после пары тренировок, - необходимо более продолжительное время. Для получения положительного результата нужно будет потрудиться от месяца до полугода, а то и более. Срок зависит от стадии, на которой вы начали работать, и от вашей прилежности в выполнении того, что необходимо. Уверен, что лучше потратить какое-то количество своего времени на эффективную работу, чем на бесполезное лечение, которое не устраняет причин, а лишь притупляет симптомы.

Чтобы узнать, что нужно делать для самостоятельного избавления от пяточной шпоры, переходите на мой сайт ispravliaem.com. Все информация находится там. Если у вас есть знакомые или родственники, страдающие от этой проблемы, пожалуйста, поделитесь с ними ссылкой на эту статью или на сайт.

С уважением, автор курса Алексей Дмитриевич Мартынов.