Найти в Дзене

Диагностика в ортодонтии: что используют для точного лечения, современные методы и зачем они нужны

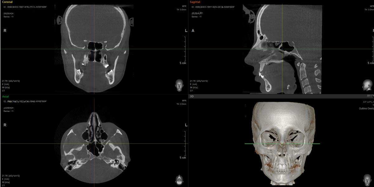
В ортодонтической практике успех лечения напрямую зависит от качества предварительной диагностики. Особенно это актуально при использовании элайнеров - съёмных прозрачных капп, выравнивающих зубы с высокой степенью точности. Ортодонтическое лечение требует крайне детализированного планирования на этапе подготовки. И здесь на первый план выходит трёхмерная диагностика: 3D-снимки и 3D-цефалометрический анализ. Что такое 3D-снимок? 3-D снимок по-другому называют конусно-лучевой компьютерной томографией (КЛКТ, КТ). Это метод визуализации, при котором черепно-лицевая область сканируется послойно, создавая объемное изображение костных структур.
Почему КЛКТ важна для ортодонта?
Снимок позволяет врачам полностью оценить клиническую ситуацию пациента, выявить сопутствующие заболевания; и узнать, есть ли необходимость направления к другим врачам-стоматологам до начала ортодонтического лечения. Преимущества КЛКТ:
1. Высокая детализация зубов, корней, костной ткани, суставов, носовых пазух

В ортодонтической практике успех лечения напрямую зависит от качества предварительной диагностики. Особенно это актуально при использовании элайнеров - съёмных прозрачных капп, выравнивающих зубы с высокой степенью точности. Ортодонтическое лечение требует крайне детализированного планирования на этапе подготовки. И здесь на первый план выходит трёхмерная диагностика: 3D-снимки и 3D-цефалометрический анализ.

Что такое 3D-снимок?

3-D снимок по-другому называют конусно-лучевой компьютерной томографией (КЛКТ, КТ). Это метод визуализации, при котором черепно-лицевая область сканируется послойно, создавая объемное изображение костных структур.

Почему КЛКТ важна для ортодонта?

Снимок позволяет врачам полностью оценить клиническую ситуацию пациента, выявить сопутствующие заболевания; и узнать, есть ли необходимость направления к другим врачам-стоматологам до начала ортодонтического лечения.

Преимущества КЛКТ:

1. Высокая детализация зубов, корней, костной ткани, суставов, носовых пазух;

2. Возможность точной оценки положения непрорезавшихся зубов;

3. Анализ плотности костной ткани, что критично при перемещении зубов;

4. Оценка симметрии и особенностей челюстно-лицевого скелета.


3D-снимок позволяет врачу не только оценить клиническую картину, но и построить виртуальную модель челюсти, с которой в дальнейшем будет работать ортодонтическое программное обеспечение для планирования перемещений зубов.

Следующим после КЛКТ ортодонты назначают пациентам цефалометрию - без этого исследования не получится сделать полноценный план будущего лечения.


Что такое 3D-цефалометрический анализ?

Цефалометрия - это метод анализа черепа на основании рентгенологического снимка. Он позволяет измерить углы и расстояния между ключевыми анатомическими точками, характеризующими рост, форму и взаиморасположение челюстей.

В классической 2D-цефалометрии используется боковой рентгеновский снимок черепа. Однако 3D-цефалометрия, основанная на КЛКТ, значительно расширяет диагностические возможности:

- измерения становятся объёмными, то есть возможен анализ не только по одной проекции, но сразу по трём (сагиттальной, фронтальной и горизонтальной)

- повышается точность локализации анатомических ориентиров, появляется возможность оценивать асимметрию, объёмные деформации, наклоны корней зубов.

-2

Почему 3D-цефалометрия важна для ортодонта?

1. Элайнеры работают по предварительно рассчитанному цифровому плану перемещений, поэтому точность исходных данных — критична. Ошибка в определении положения зубов, наклонов или объёма кости может привести к неправильному лечению.

2. Цефалометрия позволяет учесть индивидуальные особенности строения челюсти, объём мягких тканей, плотность кости и адаптировать движение зубов под них.

3. Хорошая визуализация позволяет врачу предсказать, насколько эффективно и безопасно переместятся зубы, оценить возможные риски и даже визуализировать ожидаемый результат лечения.

4. В педиатрической ортодонтии 3D-цефалометрия помогает отслеживать вектор роста челюстей, что важно при лечении детей и подростков.

-3


Можно ли обойтись без диагностики при ортодонтическом лечении?

Некоторые врачи используют только 2D-снимки и слепки, однако это повышает риск ошибок в лечении, особенно в сложных случаях: прикусы с выраженной скученностью, асимметрией, непрорезавшимися зубами и т.д. Кроме того, это не позволяет полностью оценить клинический случай и грамотно спланировать результат лечения.

Для качественного лечения необходимо сделать точную диагностику, чтобы предоставить врачу глубокий цифровой анализ всей зубочелюстной системы, позволяющий не гадать, а точно знать, как двигать зубы, в каком объёме и с какими ограничениями.

Если вы хотите добиться идеальной улыбки без непредсказуемых результатов и перелечивания - начните с правильной диагностики.