Добавить в корзинуПозвонить
Найти в Дзене

Алопеция у телят: причины и их решения

Алопеция — это частичное или полное отсутствие волос на участках тела, где они обычно растут. Алопеция, вызванная инфекционным заболеванием или паразитарной инвазией, часто встречается у крупного рогатого скота. Она также может быть вызвана нарушениями обмена веществ, например у новорожденных телят после такого заболевания, как диарея. В статье описывается исследование проблемы приобретенной алопеции у телят бельгийской голубой породы (BB). Презентация кейса У нескольких телят породы BB, содержащихся в одном небольшом стаде на юге Германии, наблюдалась незудящая алопеция средней и тяжёлой степени. Ветеринар, направивший запрос, исключил инфекционные причины, в том числе паразитарные инфекции, и назначил телятам пероральный приём витаминов (A, B1, B2, B3, B5, B6, B7, B9, B12, C и K3). Представлены результаты диагностического обследования трёх заболевших телят в Клинике для жвачных животных, а также результаты визита на ферму. В связи с этими исследованиями ещё четыре телёнка были достав

Алопеция — это частичное или полное отсутствие волос на участках тела, где они обычно растут. Алопеция, вызванная инфекционным заболеванием или паразитарной инвазией, часто встречается у крупного рогатого скота. Она также может быть вызвана нарушениями обмена веществ, например у новорожденных телят после такого заболевания, как диарея. В статье описывается исследование проблемы приобретенной алопеции у телят бельгийской голубой породы (BB).

Презентация кейса

У нескольких телят породы BB, содержащихся в одном небольшом стаде на юге Германии, наблюдалась незудящая алопеция средней и тяжёлой степени. Ветеринар, направивший запрос, исключил инфекционные причины, в том числе паразитарные инфекции, и назначил телятам пероральный приём витаминов (A, B1, B2, B3, B5, B6, B7, B9, B12, C и K3). Представлены результаты диагностического обследования трёх заболевших телят в Клинике для жвачных животных, а также результаты визита на ферму. В связи с этими исследованиями ещё четыре телёнка были доставлены в специализированную клинику в течение первой недели жизни, до появления алопеции, для изучения течения заболевания. Однако за время пребывания в клинике у этих телят не появилось никаких признаков алопеции.

Выводы

Поскольку в ходе нашего исследования мы исключили все другие возможные дифференциальные диагнозы, мы пришли к выводу, что зафиксированная алопеция была вызвана нарушением всасывания жиров в кишечнике и последующим нарушением липидного обмена, что привело к телогеновой или анагеновой алопеции. В данном конкретном случае это было вызвано ошибкой при смешивании заменителя молока с недостаточно нагретой водой. Мы пришли к выводу, что алопеция у телят может быть вызвана факторами питания, содержания или окружающей среды при отсутствии предшествующих или сопутствующих заболеваний или инфекционных причин.

Предыстория

Алопеция — это частичное или полное отсутствие волос на участках тела, где они обычно растут. Это состояние может быть вызвано аномалией или нарушением работы волосяных фолликулов (первичная алопеция) или связано с воспалением и гипертрофией кожи и последующим поражением волосяных фолликулов (вторичная алопеция). Кроме того, алопецию можно классифицировать в зависимости от этиологии: врождённая или приобретённая. Врождённая алопеция встречается у собак разных пород и вызывается генетическими дефектами, часто сопровождающимися дополнительными пороками развития. Приобретённая алопеция характеризуется временным выпадением волос на различных участках тела и может быть вызвана бактериальными, грибковыми и паразитарными инфекциями, заражением мухами (миазы и варбеллёз) и дефицитом питательных веществ. Алопеция, связанная с питанием, может быть вызвана недоеданием или нарушением всасывания питательных веществ, что приводит к нехватке калорий или отдельных компонентов, таких как белки, минералы, витамины и незаменимые жирные кислоты. Нарушение всасывания пищевых жиров является общепризнанной причиной приобретенной алопеции у людей и домашних животных, но его роль в этиологии приобретенной алопеции у крупного рогатого скота изучена недостаточно. В этой статье описывается исследование проблемы приобретенной алопеции у телят бельгийской голубой (БГ) породы, которая, скорее всего, связана с нарушением липидного обмена из-за недостаточного всасывания жиров, поступающих с пищей. Исследование включало в себя: 1) осмотр трёх животных, которые были госпитализированы после того, как на ферме у них диагностировали заболевание на разных стадиях, 2) посещение фермы для изучения методов содержания, которые могли стать причиной заболевания, и 3) изучение клинического течения болезни у четырёх новорождённых животных, которых забрали с фермы в течение первой недели жизни.

Два представителя стада, страдающие от алопеции. a-e: Телёнок 1; f-j: Телёнок 2. Выпадение шерсти на лбу, вокруг глаз, на щеках, вдоль спины и по обеим сторонам шеи, а также на обоих локтях. Поражено основание обоих ушей. Чрезмерное шелушение с образованием толстых, легко снимающихся корочек, наиболее заметных по обеим сторонам шеи

Результаты гематологических и биохимических исследований представлены в таблице 2. Отклонения от нормы включали полицитемию (у телят 1, 2 и 3), лейкоцитоз (у телят 1 и 3), гиперпротеинемию (у телят 1, 2 и 3), гипоальбуминемию (у телят 1, 2 и 3), гипокальциемию (у телят 1 и 3), а также незначительную гипокалиемию (у телят 1, 2 и 3). Концентрация меди и активность глутатионпероксидазы находились в пределах соответствующих референсных интервалов. Напротив, концентрация железа (у телят 1 и 3) и цинка (у телёнка 3) была ниже соответствующих референсных интервалов. Концентрация витамина С была в пределах нормы у обоих протестированных телят (телёнок 2 — 9,2 мг/л; телёнок 3 — 7,6 мг/л; референсный интервал Labor Limbach, Гейдельберг, 2–20 мг/л).

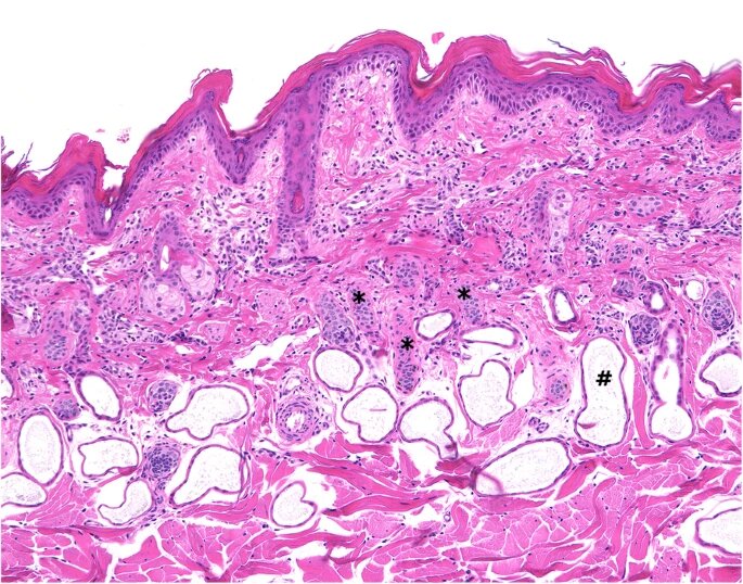
В образцах поражённой кожи наблюдался пластинчатый ортокератотический гиперкератоз эпидермиса с кератиновыми чешуйками и небольшим количеством поверхностных корок. В дерме волосяные фолликулы были мелкими, а в просветах фолликулов содержалось лишь несколько стержней волос. Кроме того, была зафиксирована минимальная периваскулярная поверхностная лимфоцитарная инфильтрация/воспаление. Не было обнаружено признаков бактериальной или грибковой инфекции, паразитарной инвазии или аутоиммунного заболевания (рис. 2).

Рис. 2.

-2

Гистология кожи телёнка 1 в день обращения: поверхностный ламинарный ортокератотический гиперкератоз, соответствующий клинической картине (чешуйки). Волосяные фолликулы диффузно уменьшены в размере (звёздочки). Примечание: нормальное расширение апокринных желёз (#) в коже крупного рогатого скота

Лечение и клинический курс

Два телёнка (тёлки 1 и 2) не получали никакого лечения на протяжении всей госпитализации. Им давали по 3 литра коммерческого заменителя молока два раза в день, а также сено и стартовый корм для телят (зерно) в свободном доступе. Оба телёнка хорошо пили и в последующие дни начали есть с хорошим аппетитом. У обоих телят (через 1 и 3 недели после поступления в клинику соответственно) начали расти волосы и уменьшилось шелушение. К моменту выписки в возрасте 14 (телёнок 2) и 18 (телёнок 1) недель изначально редкие волосы полностью отросли. В это время отросшую тёмную шерсть можно было легко отличить от более светлой исходной, неповреждённой шерсти. Контрольный осмотр через 9 месяцев после выписки показал, что шерсть в норме и случаев выпадения волос не наблюдалось.

У телёнка 3 был диагностирован септический артрит левого предплюсневого сустава. Первоначальное лечение включало применение цефкинома (1 мг/кг массы тела; подкожно; Кобактан 2,5 % для ветеринарного применения; MSD Animal Health Innovation GmbH, Швабенхайм, Германия) и мелоксикама (0,5 мг/кг массы тела; подкожно; Метакам 20 мг/мл для ветеринарного применения; Boehringer Ingelheim GmbH, Ингельхайм, Германия). Через пять дней после поступления в клинику была проведена артротомия. После временного улучшения состояние животного ухудшилось, оно стало хромать, и через 12 дней после хирургического вмешательства его пришлось усыпить. До этого момента наблюдались только шелушение кожи в области головы и шеи. На рисунке 3 показано клиническое течение изменений кожи и шерсти трёх телят.

Рис. 3.

-3

Клиническое течение изменений кожи и волосяного покрова на разных участках тела у трёх телят бельгийской голубой породы, поступивших в клинику в течение трёх месяцев. В первом ряду показаны изменения кожи (например, шелушение); во втором ряду — наличие или отсутствие выпадения волос и рост новых волос

Исследование стада

После консультации с фермером, занимающимся молочным животноводством, и ветеринаром, обслуживающим стадо, было решено посетить ферму. Ферма располагалась на юге Германии, в непосредственной близости от двух других ферм, на вершине холма (~800 м над уровнем моря). На момент визита в стаде было 27 коров (20 первотёлок, 3 стельные, 3 сухостойные, 1 первотёлка x сухостойная), пять тёлок (первотёлок) и семь телят. Среднегодовой надой за предыдущий год составил 6551 кг/корова/год. Все взрослые животные содержались в одном стойловом коровнике на матрасах и соломенных подстилках.

Кормление и управление

Рацион для лактирующих животных состоял из травяного силоса, сена и двух различных концентрированных кормов [Bovigold 164, RKW Süd, Регенсбург, Германия; кукурузные гранулы, изготовленные на заказ] в соответствии с предполагаемым текущим надоем (одна или несколько полных мерных ложек). Поскольку у владельца не было доступа к весам, рацион можно было только оценить. Он составлял 20 кг травяного силоса и 3 кг сена (в пересчёте на влажный вес). По оценкам владельца, для коровы в период пика лактации требовалось около 5 кг концентрата (3 кг зерновой смеси, 2 кг гранул). Поскольку минеральную смесь давали в лучшем случае от случая к случаю, она не была включена в расчёт. Предполагаемый рацион содержал 22 % сырой клетчатки (14 % структурированной) и 10 % сырого протеина. Стало очевидно, что в рационе было избыточное количество клетчатки (травяной силос с очень высоким содержанием сухого вещества) и недостаточное количество протеина (отрицательный азотистый баланс в рубце). Согласно расчётам модели, корова в период пика лактации получала достаточно корма для производства 23,2 кг молока.

Сухостойные коровы и тёлки получали только травяной силос и сено. Минеральные корма [Fulminant MV/Fulminant Phos, Fulminant GmbH, Штоках-Циценхаузен, Германия (дополнительный файл 1)] давали лактирующим животным, а иногда и сухостойным, время от времени (каждые 4–7 дней). В летние месяцы все коровы имели доступ к пастбищу. Все близлежащие фермы получали воду из одного и того же колодца. На ферме производили сено и травяной силос. На всех пастбищах был разбросан навоз; за последние 10 лет не использовалось никаких других удобрений. Соль не входила в состав рациона.

Телята рождались в стойлах с привязями. После отлучения от матери их размещали в индивидуальных или общих стойлах. Каждый телёнок получал молозиво и молоко от своей матери в течение первых 7–10 дней жизни, после чего его переводили на коммерческий заменитель молока [Milkibeef Top, Trouw Nutrition Deutschland GmbH, Бургхайм, Германия. За несколько месяцев до начала расследования заменитель молока был заменён на продукт другой марки [Treff Dimilch, Karl Schneider GmbH & Co.KG, Хергац, Германия, но проблема осталась. Стандартной инструкции по приготовлению заменителя молока с указанием количества, способа смешивания и температуры подачи не было. По запросу владелец сообщил, что он определял количество заменителя молока на глаз, а температура смешивания варьировалась от холодной до температуры, которую можно было держать в руках, в зависимости от наличия тёплой воды в коровнике. Владелец сообщил, что у телят, которых кормили только цельным молоком, выпадали волосы, но у него не было записей, чтобы проанализировать режим кормления пострадавших телят. В течение нескольких месяцев телята помесной породы BB также получали три дозы по 10 мл пероральной витаминной смеси в течение первых трёх дней жизни [Supervitamine, BEWITAL petfood GmbH & Co.KG, Зюдлон, Германия (дополнительный файл 1)]. В возрасте 6 недель телятам предлагали сено, зерно и воду в свободном доступе. Телят отлучали от матери в возрасте около 3 месяцев.

Осмотр телят перед отъёмом

Во время посещения стада были осмотрены семь телят. Четыре телёнка помёта (три быка-производителя и один бык-производитель помесной породы) в возрасте от 1 до 10 дней, а также три телёнка помёта (бык-производитель помесной породы и два быка-производителя помесной породы) в возрасте от 6 до 9 недель. Все помесные телята были мужского пола; три чистопородных тёлки помёта быка-производителя предназначались для замены. При физикальном обследовании у молодых телят не было выявлено никаких отклонений, за исключением одного телёнка, у которого наблюдались неонатальная диарея и лихорадка. Никаких отклонений в состоянии кожи и шерсти обнаружено не было. У трёх телят постарше наблюдалось выпадение шерсти вокруг головы, шеи, локтей, плеч и спины (рис. 4). У всех трёх телят алопеция и шелушение кожи начались примерно в трёхнедельном возрасте, а шерсть начала отрастать примерно в шестинедельном возрасте. Все телята старшего возраста были плохо развиты и имели низкую упитанность по сравнению с телятами породы BB того же возраста. Кроме того, при аускультации сердца у девятинедельного телёнка помеси была выявлена нерегулярная аритмия. При осмотре кожи и положения глазных яблок не было обнаружено клинически значимых признаков обезвоживания. У всех телят были взяты образцы крови, как описано выше. У всех четырёх телят породы BB были повышены показатели гематокрита (51–59 %; среднее значение — 54 %; референсный интервал для жвачных животных, Мюнхенский университет, 30–36 %) и количества эритроцитов (12,5–14,6 × 1012/л; среднее значение — 13,50 × 1012/л; референсный интервал для жвачных животных, Мюнхенский университет, 5–8 × 1012/л). Уровни альбумина и общего белка у этих телят не свидетельствовали об обезвоживании. Гематологические и биохимические показатели, а также уровень микроэлементов и активность глутатионпероксидазы были в пределах нормы, за исключением пониженной концентрации общего белка у двухдневного телёнка (42,40 г/л; референсный интервал для жвачных животных, Мюнхенский университет, 55–70 г/л), что указывает на отсутствие передачи пассивного иммунитета.

Рис. 4.

-4

Четыре помесных телёнка бельгийской голубой породы на ферме содержатся в стойлах. Фотографии сделаны во время посещения стада. a и b: помесный телёнок бельгийской голубой и хайлендской пород в возрасте 6 недель с обширным выпадением шерсти вокруг шеи, холки и вокруг глаз. b: обширное шелушение кожи на шее. c и d: помесный телёнок бельгийской голубой и шортгорнской пород в возрасте 9 недель с обширной алопецией и тонким слоем шерсти. Обратите внимание на позу: задние ноги поджаты под брюхо. d: на голове и у основания ушей видны небольшие чешуйки и тонкий слой растущей шерсти. e и f: помесный телёнок BB x HF в возрасте 9 недель, с алопецией в анамнезе и тонким слоем растущей шерсти. f: на холке и в области плеч виден тонкий слой растущей шерсти. g: новорождённый помесный телёнок BB x BS с неповреждённой шерстью

Обследование взрослых животных

Почти у всех взрослых животных наполнение рубца было хорошим или очень хорошим. У 14 из 27 взрослых животных наблюдалась деформация копыт из-за их чрезмерного роста и отсутствия обрезки, а у четырёх из этих 14 были признаки хромоты или пролежни на конечностях. Оценка упитанности (ОУП) всех взрослых животных проводилась в соответствии с методикой Эдмонсона и др. У четырёх животных на разных стадиях лактации ОУП была ≤2,5/5.

Были проанализированы образцы крови, взятые у шести недавно отелившихся коров [1–42-й день лактации (DIM)], и результаты гематологических и биохимических исследований крови не выявили отклонений. Концентрация бета-гидроксибутирата у этих животных составляла от 0,5 до 0,9 ммоль/л. Были протестированы шесть образцов мочи лактирующих животных, и результаты были ничем не примечательными, за исключением четырех образцов с низкой концентрацией натрия (13,0–16,0 ммоль/ л; клиника референтного предела для жвачных животных, LMU Мюнхен, > 20 ммоль /л).

Дальнейшие расследования

После консультации с владельцем и ветеринаром, обслуживающим стадо, в клинику были доставлены ещё четыре телёнка породы BB в возрасте от 1 до 8 дней для изучения клинической картины заболевания с самого начала. Все телята получили молозиво от своих матерей и цельное молоко до того, как их забрали. Чтобы воспроизвести ситуацию на ферме, все четыре телёнка получали один и тот же коммерческий заменитель молока два раза в день. Вода, сено и стартовый корм для телят (зерно) были доступны в неограниченном количестве. Дальнейшего лечения они не получали. Все телята были осмотрены ветеринаром по прибытии, и у них взяли образцы крови для анализа, как описано выше, в том числе для определения содержания витамина С в сыворотке. Ежедневно фиксировалось наличие или отсутствие выпадения шерсти. Исходные характеристики и результаты клинического осмотра представлены в таблице . Отклонения от нормы были ограничены нерегулярной сердечной аритмией у трёх телят (4, 5 и 6). В таблице представлены результаты гематологических и биохимических исследований, в том числе уровень витамина С в сыворотке. Ни у одного из четырёх телят, находившихся на стационарном лечении в клинике в течение следующих трёх месяцев, не появились типичные симптомы, включая шелушение и выпадение шерсти.

Обсуждение и выводы

Алопеция у молодых жвачных животных встречается редко и, по опыту авторов, обычно поражает телят во время или после приступа сильной диареи. В исследовании Лоренца и др. авторы пришли к выводу, что выпадение шерсти после длительного периода болезни может быть связано либо с образованием потенциально токсичных веществ (таких как D-лактат), либо с дефицитом необходимых веществ, что приводит к массовому одновременному выпадению шерсти на разных стадиях волосяного цикла. Сообщалось также о случаях алопеции у телят, вызванной генетическими заболеваниями, грибковыми инфекциями и заражением паразитами, дефицитом микроэлементов или витаминов, а также после кормления некоторыми заменителями молока, содержащими растительные жиры .

Поскольку матери заболевших телят были разных пород (крупная белая, герефордская, рыжая), а также потому, что использовались как минимум два разных быка породы крупная белая, вероятность генетического дефекта была низкой в нашем списке возможных причин. Очень похожее на описанное заболевание кожи существует в виде аутосомно-рецессивной наследственной формы, известной как врождённая прогрессирующая алопеция, но у телят герефордской породы она сопровождается анемией . Однако это заболевание носит прогрессирующий характер и поражает телят одного и того же производителя .

Поскольку биопсия кожи и соскоб не выявили признаков грибковой, бактериальной или паразитарной инфекции, а также поскольку зуд отсутствовал, мы исключили эти возможные причины. Более того, местное лечение авермектинами, назначенное ветеринаром, не улучшило состояние и не предотвратило выпадение шерсти, которое прекратилось само по себе после отъёма телят.

https://bmcvetres.biomedcentral.com/articles/10.1186/s12917-019-2140-1