Добавить в корзинуПозвонить
Найти в Дзене

Защита от межзубного кариеса: что можно сделать

Здоровье зубов — это и белоснежная улыбка, и профилактика заболеваний, которые могут долго оставаться незаметными. Межзубный кариес развивается на участках зубов, где они соприкасаются друг с другом, а доступ для чистки ограничен. Именно поэтому особое внимание в уходе за полостью рта стоит уделять профилактике именно этого нарушения. Кариес между зубами сложно заметить на ранней стадии без визита к стоматологу. Но при правильном подходе к гигиене и регулярных осмотрах можно полностью избежать появления кариозных поражений. Ключ к здоровью в этом случае — это внимательность к привычкам, грамотная чистка и осознанное отношение к питанию. Межзубный кариес (передних зубов в том числе) особенно коварен тем, что развивается скрыто. На контактной поверхности скапливается налет, который трудно удалить обычной щеткой. Бактерии в нем перерабатывают сахара, образуя кислоты, которые разрушают эмаль и дентин между зубами. Со временем образуется кариозная полость, которую можно не заметить до появл
Оглавление

Здоровье зубов — это и белоснежная улыбка, и профилактика заболеваний, которые могут долго оставаться незаметными. Межзубный кариес развивается на участках зубов, где они соприкасаются друг с другом, а доступ для чистки ограничен. Именно поэтому особое внимание в уходе за полостью рта стоит уделять профилактике именно этого нарушения.

Кариес между зубами сложно заметить на ранней стадии без визита к стоматологу. Но при правильном подходе к гигиене и регулярных осмотрах можно полностью избежать появления кариозных поражений. Ключ к здоровью в этом случае — это внимательность к привычкам, грамотная чистка и осознанное отношение к питанию.

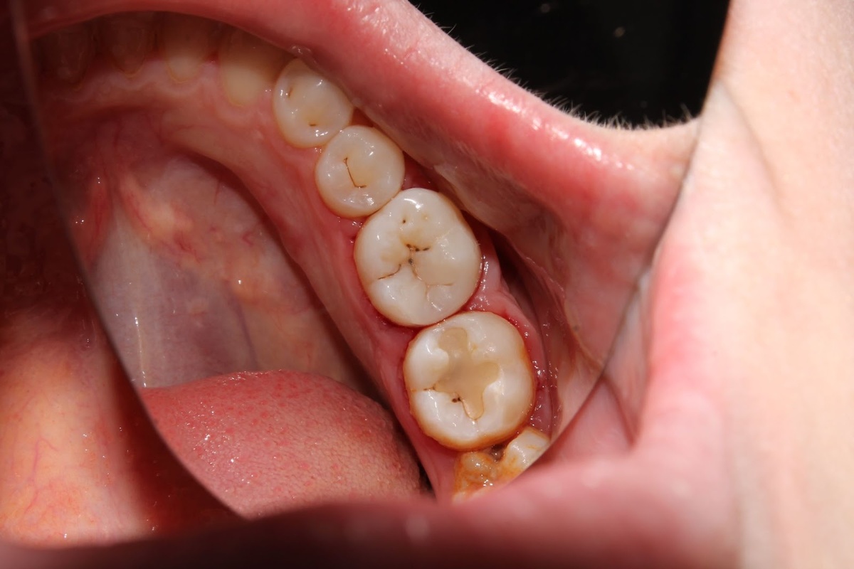
Почему межзубный кариес опасен и откуда он появляется

Межзубный кариес (передних зубов в том числе) особенно коварен тем, что развивается скрыто. На контактной поверхности скапливается налет, который трудно удалить обычной щеткой. Бактерии в нем перерабатывают сахара, образуя кислоты, которые разрушают эмаль и дентин между зубами. Со временем образуется кариозная полость, которую можно не заметить до появления боли или осложнений.

Опасность межзубного кариеса еще и в том, что он часто поражает сразу два соседних зуба. Если вовремя не выявить проблему, заболевание может быстро перейти в стадию глубокого поражения, затронуть пульпу и привести к необходимости сложного лечения, включая пломбирование каналов или даже протезирование.

Как выявить контактный кариес: признаки и симптомы

На начальных стадиях межзубный кариес жевательных зубов часто протекает бессимптомно. Пациенты могут не замечать никаких изменений до тех пор, пока разрушение эмали не станет значительным. Первые настораживающие признаки — повышенная чувствительность между зубами при приеме холодного, горячего или сладкого, а также неприятные ощущения при использовании зубной нити.

При более выраженном поражении могут появляться ноющая боль, неприятный запах изо рта, видимые потемнения или щели между зубами. Чтобы выявить кариес на контактной поверхности на ранней стадии, стоматологи используют рентгенографию и специальные инструменты для осмотра межзубных промежутков. Именно поэтому регулярные профилактические визиты крайне важны.

Лечение межзубного кариеса

-2

Лечение кариеса между зубами зависит от стадии заболевания. На начальных этапах возможно применение реминерализующей терапии — специальных составов, которые укрепляют эмаль и останавливают процесс разрушения. При наличии кариозной полости требуется механическая обработка пораженного участка и установка пломбы, что позволяет восстановить форму и функцию зуба.

Как убирают кариес между зубов? При глубоком поражении, затронувшем пульпу, может потребоваться эндодонтическое лечение — очищение и пломбирование корневых каналов. Чем раньше обнаружено изменение, тем проще и дешевле будет лечение. Поэтому стоматологи рекомендуют не пропускать профилактические осмотры, которые позволяют выявить проблему до появления серьезных симптомов. Также очень важно обеспечивать качественную домашнюю чистку зубов.

Профилактика межзубного кариеса

Именно профилактические мероприятия — основа здоровой улыбки и экономии на лечении в будущем. Кариес между зубами у детей и взрослых развивается скрытно: поверхности плотно соприкасаются, и эти участки плохо доступны для обычной щетки.

Активно скапливается налет с бактериями, которые перерабатывают сахара и выделяют кислоты, разрушающие эмаль. Если не уделять внимательного ухода этим зонам, кариес может поражать сразу два соседних зуба, быстро прогрессировать и потребовать сложного и дорогостоящего лечения.

-3

Более того, подобное нарушение целостности часто остается незамеченным до тех пор, пока не появляется боль или значительное разрушение ткани. Это значит, что профилактика — не просто «желательный» элемент ухода, а необходимая мера для предотвращения неприятных и болезненных последствий. Регулярная, правильно организованная гигиена — единственный способ надежно защитить эти труднодоступные области.

Ежедневная гигиена

Контактные поверхности зубов — одно из самых уязвимых мест для развития кариеса. Они находятся вне поля зрения, плохо очищаются щеткой и подвержены накоплению мягкого налета, который уже через 12–24 часа начинает минерализоваться и разрушать эмаль.

В том, как лечат межзубный кариес, есть много особенностей. Ведь это заболевание часто развивается сразу на двух соприкасающихся поверхностях, может протекать бессимптомно и обнаруживается уже на стадии, когда требуется пломбирование.

Чем плотнее прикус, тем выше риск: налет в межзубных промежутках задерживается особенно легко, а обычной чистки, даже самой тщательной, недостаточно. Вот почему стоматологи настаивают на комплексной гигиене полости рта, в которой особое внимание уделяется очищению межзубных пространств.

-4

Базой профилактики межзубного кариеса остается ежедневная гигиена полости рта, но при этом важно помнить, что одной щетки недостаточно. Даже при самом тщательном использовании она не способна полностью удалить налет из межзубных промежутков. Для полноценной чистки обязательно нужно дополнительно использовать зубную нить, межзубные ершики или, что особенно эффективно, ирригатор. Например, Scarlett SC-WF01 с 4 насадками заряжается от кабеля type C. Модель прекрасно подходит для дома, отпуска и командировок — одного заряда встроенной литиевой батареи хватит до 45 дней.

Ирригатор Scarlett SC-WF01 купить c доставкой на OZON по низкой цене (1794862536)

Эти приборы сегодня считаются одним из лучших решений для ухода за контактными поверхностями зубов. С помощью тонкой мощной струи воды они вымывают остатки пищи и налет даже из самых узких промежутков, куда не доберется щетка или нить. Регулярное использование ирригатора снижает риск накопления зубного налета, образования зубного камня и, как следствие, развития контактного кариеса. К тому же это удобно и быстро: техника подходит и взрослым, и детям, а сама процедура занимает всего 2 минуты в день. При этом она дает эффект профессиональной чистки дома.

-5

Преимущества ирригаторов в профилактике межзубного кариеса — это:

  1. Глубокая очистка межзубных промежутков. Струя воды проникает в зоны, недоступные для зубной щетки или нити, удаляя остатки пищи и налет даже из самых узких участков.
  2. Предотвращение налета и зубного камня. Регулярное вымывание налета до его минерализации позволяет предотвратить образование зубного камня — основного источника бактерий, вызывающих кариес.
  3. Безопасность для эмали. В отличие от агрессивной чистки или чрезмерного применения нити, ирригатор не царапает эмаль и не травмирует ткани десны. Используйте его, и не будете знать, как выглядит кариес между зубами.
  4. Стимуляция десен. Пульсирующий поток улучшает кровообращение в деснах, снижая риск воспалений и поддерживая общее здоровье полости рта.
  5. Удобство и скорость. Процедура занимает всего 1–2 минуты и подходит даже тем, кто не привык к долгой чистке. Ирригаторы особенно удобны в уходе за ортодонтическими конструкциями, имплантами и плотно стоящими зубами. Прекрасно подойдет Scarlett SC-WF04 — самая компактная модель в линейке, с влагозащищенным корпусом (IPX7), с 2 насадками и 3 режимами работы. Объем резервуара для воды составляет 180 мл.
  6. Регулярность — залог результата. Благодаря простоте использования ирригатор легче ввести в привычку, что повышает общую гигиеническую дисциплину.
Ирригатор Scarlett SC-WF04 купить c доставкой на OZON по низкой цене (1794862434)

Важно отметить: ирригаторы не заменяют зубную щетку, но значительно усиливают ее действие, особенно в тех зонах, где развивается межзубный кариес. Ежедневное его применение после чистки зубов снижает риск образования налета, воспалений и кариозных процессов.

-6

Например, можно взять Scarlett SC-WF02 с импульсной подачей водяной струи и контейнером на 310 мл. Модель предлагается с 4 насадками, с влагозащищенным корпусом, с кабелем для зарядки. В комплект входит и чехол для хранения. При работе устройства можно выбрать один из 4 режимов.

Ирригатор Scarlett SC-WF02 купить c доставкой на OZON по низкой цене (1794861896)

Профессиональная чистка

Даже при безупречной домашней гигиене налет и пигментированные отложения могут скапливаться в труднодоступных зонах между зубами. Профессиональная чистка у стоматолога или гигиениста — тоже обязательный элемент профилактики межзубного кариеса. Во время процедуры используются ультразвуковые насадки, порошкоструйные системы (Air Flow), специальные пасты и полировочные щетки, которые удаляют зубной камень и налет и с поверхности зубов, и из межзубных промежутков.

Регулярная чистка (1–2 раза в год) позволяет полностью удалить минерализованный налет, который невозможно убрать дома. Это предотвращает кариес между передними и жевательными зубами, ведь именно зубной камень служит резервуаром бактерий, производящих кислоты, разрушающие эмаль на контактных поверхностях. Профессиональная гигиена снижает риск кариеса, пародонтита и воспаления десен, а также помогает сохранить эстетичный внешний вид зубов.

Правильное питание

Рацион напрямую влияет на здоровье зубов и риск развития межзубного кариеса. Частое употребление сахаров и крахмалистых продуктов (сладостей, выпечки, газировки) создает необходимую среду для бактерий, которые выделяют кислоты и начинают разрушать эмаль. Снижение количества сахара в пище — важная часть профилактики.

Кроме ограничения сладостей, стоит включать в рацион продукты, богатые кальцием, фосфором и витаминами D и K2, которые участвуют в минерализации эмали. Молочные продукты, рыба, зеленые овощи помогают укреплять зубы изнутри. Также важно пить достаточно воды и по возможности полоскать рот после приемов пищи, чтобы уменьшить время воздействия кислот на эмаль.

Дополнительный уход при повышенном риске кариеса

Некоторые ситуации требуют еще более тщательной профилактики. При неровном положении зубов, скученности, а также при ношении брекетов или ортодонтических кап появляется множество труднодоступных зон. Из-за этого налет задерживается особенно легко, а чистка обычной щеткой становится неэффективной. Поэтому кариес между зубами развивается быстрее.

Для пациентов, проходящих ортодонтическое лечение или этапы имплантации, рекомендуется обязательное использование ирригатора со специальными насадками.

-7

Например, Scarlett SC-WF03 с резервуаром на 190 мл работает в импульсном режиме и комплектуется 3 насадками. Отличается компактным размером.

Ирригатор Scarlett SC-WF03 купить c доставкой на OZON по низкой цене (1794861990)

Также при необходимости стоматолог может назначить реминерализующие гели и лаки с фтором или кальцием, которые укрепляют эмаль и делают ее более устойчивой к воздействию кислот. Регулярные осмотры и профессиональная чистка каждые 3–6 месяцев помогают вовремя удалять налет и выявлять начальные стадии кариеса.

Как видите, профилактика — это не разовая мера, а комплексный и регулярный уход. Она включает правильную ежедневную гигиену с обязательным очищением межзубных промежутков, использование ирригатора, продуманное питание и профессиональные визиты к стоматологу. Особенно внимательными стоит быть людям с ортодонтическими конструкциями или неровными зубами. Включите ирригатор Scarlett в повседневную рутину, и не придется беспокоиться о том, что делать, если между зубами появился кариес. Инвестируя время и внимание в профилактику сегодня, можно избежать сложного и дорогостоящего лечения в будущем.