Найти в Дзене

До и после лечения на брекетах

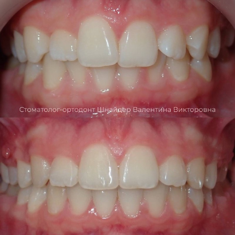
До и после лечения на брекетах🦷 К нам обратился 18-летний пациент с проблемой неровного прикуса. Ортодонт Шнайдер Валентина Викторовна составила индивидуальный план, лечение длилось 12 месяцев На фото - результат после полного курса лечения 📍Екатеринбург, ул. Кузнецова, 3 📞+7(343)317-33-32

До и после лечения на брекетах🦷

К нам обратился 18-летний пациент с проблемой неровного прикуса. Ортодонт Шнайдер Валентина Викторовна составила индивидуальный план, лечение длилось 12 месяцев

На фото - результат после полного курса лечения

📍Екатеринбург, ул. Кузнецова, 3

📞+7(343)317-33-32

-2
-3
-4
-5