Добавить в корзинуПозвонить
Найти в Дзене

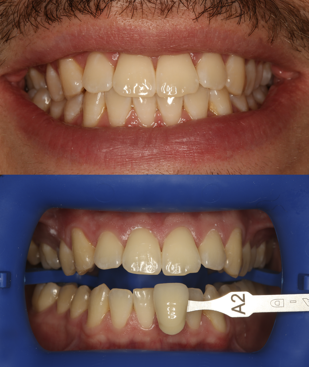
История преображения улыбки в клинике доктора Лемберга: От A2 до BL4 всего за один визит!

Представляем вашему вниманию кейс работы нашего талантливого стоматолога-терапевта, Кортуковой Инны Вячеславовны, и впечатляющий результат отбеливания зубов по технологии ZOOM 4! Исходная ситуация: Пациент обратился в клинику с желанием вернуть своей улыбке сияющую белизну. Изначальный цвет зубов соответствовал оттенку A2. Процедура: Инна Вячеславовна провела процедуру отбеливания ZOOM 4, используя передовое оборудование и тщательно подобранные составы для максимального эффекта и безопасности. Результат: Всего за один визит мы смогли достичь потрясающего результата! После процедуры цвет зубов пациента преобразился до оттенка BL4! Это отбеливание на целых 7 тонов - впечатляющий результат, который говорит сам за себя! Продолжительность процедуры: Отбеливание заняло всего лишь несколько часов. После процедуры: После отбеливания Инна Вячеславовна предоставила пациенту подробные рекомендации, в том числе соблюдение белой диеты, для сохранения и продления эффекта отбеливания. Срок сохранения

Представляем вашему вниманию кейс работы нашего талантливого стоматолога-терапевта, Кортуковой Инны Вячеславовны, и впечатляющий результат отбеливания зубов по технологии ZOOM 4!

Кортукова Инна Вячеславовна - стоматолог-терапевт с 25 летним опытом работы
Кортукова Инна Вячеславовна - стоматолог-терапевт с 25 летним опытом работы

Исходная ситуация: Пациент обратился в клинику с желанием вернуть своей улыбке сияющую белизну. Изначальный цвет зубов соответствовал оттенку A2.

-2

Процедура: Инна Вячеславовна провела процедуру отбеливания ZOOM 4, используя передовое оборудование и тщательно подобранные составы для максимального эффекта и безопасности.

Результат: Всего за один визит мы смогли достичь потрясающего результата! После процедуры цвет зубов пациента преобразился до оттенка BL4! Это отбеливание на целых 7 тонов - впечатляющий результат, который говорит сам за себя!

-3

Продолжительность процедуры: Отбеливание заняло всего лишь несколько часов.

После процедуры: После отбеливания Инна Вячеславовна предоставила пациенту подробные рекомендации, в том числе соблюдение белой диеты, для сохранения и продления эффекта отбеливания.

Срок сохранения результата: При правильном уходе и соблюдении рекомендаций, эффект отбеливания может сохраняться до 3 лет!

-4

Преимущества ZOOM 4:

  • Безболезненность: Процедура комфортна и не вызывает неприятных ощущений.
  • Мгновенный результат: Вы видите изменения сразу после процедуры!
  • Белоснежная улыбка: Получите сияющую улыбку, о которой мечтали!

И вот вы сияете белоснежной улыбкой! Готовы к восторженным взглядам и комплиментам? Осторожно, белоснежная улыбка вызывает зависимость… от счастья и уверенности в себе! 😉