Найти в Дзене

Наш пациент выбрал профессиональное отбеливание Zoom4 — и результат говорит сам за себя

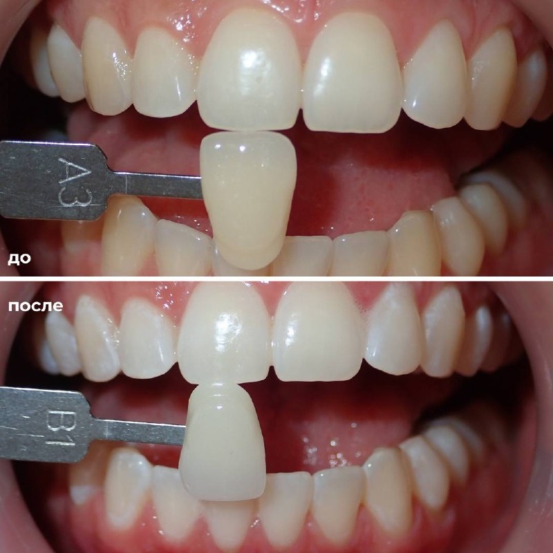
Наш пациент выбрал профессиональное отбеливание Zoom4 — и результат говорит сам за себя 🦷 Всего одна процедура — и зубы стали светлее на несколько тонов, без боли и вреда для эмали. 📍Екатеринбург, ул.Кузнецова, 3 📞+7(343)317-33-32

Наш пациент выбрал профессиональное отбеливание Zoom4 — и результат говорит сам за себя 🦷

Всего одна процедура — и зубы стали светлее на несколько тонов, без боли и вреда для эмали.

📍Екатеринбург, ул.Кузнецова, 3

📞+7(343)317-33-32

-2