Добавить в корзинуПозвонить
Найти в Дзене
N + 1

Рентгенологи призвали делать КТ после ковида только пациентам с длительными симптомами

Международная группа врачей во главе с Анной Ритой Ларичи (Anna Rita Larici) из Католического университета Святого Сердца опубликовала в журнале Radiology консенсус по проведению томографических исследований среди больных после перенесенного ковида. Врачи рекомендуют проводить контрольную томографию органов грудной клетки только тем пациентам, у которых дыхательные нарушения, продолжающиеся более двух месяцев, не проходят или ухудшаются, хотя минуло более трех месяцев после перенесенной инфекции. Таким образом можно избежать избыточного облучения пациентов. В среднем у половины пациентов, которых госпитализируют с ковидом, можно найти изменения на томограмме грудной клетки. В большинстве случаев они самопроизвольно разрешаются, поэтому медики призывают избегать лишних диагностических процедур. Кроме этого, в консенсусе врачи также советуют использовать правильную терминологию и не называть постковидные остаточные легочные изменения интерстициальным заболеванием легких, так как это веде

Международная группа врачей во главе с Анной Ритой Ларичи (Anna Rita Larici) из Католического университета Святого Сердца опубликовала в журнале Radiology консенсус по проведению томографических исследований среди больных после перенесенного ковида. Врачи рекомендуют проводить контрольную томографию органов грудной клетки только тем пациентам, у которых дыхательные нарушения, продолжающиеся более двух месяцев, не проходят или ухудшаются, хотя минуло более трех месяцев после перенесенной инфекции. Таким образом можно избежать избыточного облучения пациентов.

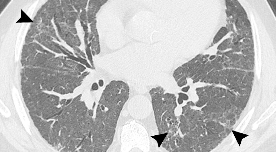
  Yoon et. al / Radiology, 2025
Yoon et. al / Radiology, 2025

В среднем у половины пациентов, которых госпитализируют с ковидом, можно найти изменения на томограмме грудной клетки. В большинстве случаев они самопроизвольно разрешаются, поэтому медики призывают избегать лишних диагностических процедур. Кроме этого, в консенсусе врачи также советуют использовать правильную терминологию и не называть постковидные остаточные легочные изменения интерстициальным заболеванием легких, так как это ведет к множественным избыточным томографическим исследованиям.